29岁女子反复红眼、刺痛,误诊1年!医生一句话让她心凉半截:问题根本不在眼睛!
时间:2025-05-05 12:14:46 热度:37.1℃ 作者:网络
29岁的林女士,这一年多来总是双眼反复发红、刺痛、畏光,几乎每个月都要跑一次眼科门诊。她被诊断为“虹膜睫状体炎”,点了无数眼药水,症状稍缓后又反复。“是不是干眼症太严重?”、“是不是过敏?”、“是不是老熬夜?”她问过许多医生,也试过各种护眼方式,但病情始终反复。直到这一次来院复查,眼科医生发现她眼部异常并不仅仅是炎症那么简单。
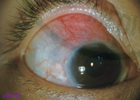
双眼表层巩膜呈散在结节状充血,后部角膜缘竟出现了新生血管和“影子血管”,更关键的是:她还提到了“最近常常头晕”!
“有没有听力下降?耳鸣?耳闷?”医生一问,林女士一愣:“确实有点耳闷,没太在意。”种种线索拼在一起,医生高度怀疑:这不是单纯的眼病,而是罕见的Cogan综合征!

累及眼、听觉-前庭系统的综合征
1945年Cogan首次详细描述一种听觉-前庭障碍伴发非梅毒性基质性角膜炎的独立临床病例,将其命名为Cogan综合征。
该病是一种累及眼、听觉-前庭系统的综合征,属于自身免疫性疾病,主要表现为非梅毒性角膜基质炎、前庭功能障碍、听力下降以及全身症状。
该病临床上较罕见,好发于青壮年,无年龄差异,文献报道白种人居多。角膜基质炎大多数患者都会出现眼红、畏光及眼痛等,很少无症状。该病患者大多数都是双眼相继或同时发病,症状随病程进展逐日加重。
分型
Cogan综合征分为典型与非典型两种类型。
典型Cogan综合征表现为非梅毒性角膜炎和美尼尔听觉-前庭障碍。诊断典型的综合征主要依据非梅毒性角膜基质炎、急性发作的感音神经性听力损失、类似美尼尔病的前庭症状及发病两年内听力进行性损失致聋。眼部症状除了基质性角膜炎外,还可有结膜炎、虹膜炎和睑板腺囊肿等。
非典型的Cogan综合征眼部损伤多表现为不伴基质性角膜炎的其他病变。另一种非典型的Cogan综合征眼部表现具有典型的基质性角膜炎症状,但耳部症状为非美尼尔听觉-前庭障碍,或者眼耳症状不同时发生(一般2年内先后发生)。
至今该病仍然没有确切的诊断标准,但是可以根据患者的症状体征及鉴别诊断对其进行确诊。
临床表现
该病首发症状可以是眼部炎症性反应,也可以是眼部症状伴发内耳症状。
1.内耳症状:表现为骤然出现的类似美尼尔病样发作:眩晕,恶心,呕吐,共济失调,耳鸣,突发性感音神经性聋。内耳症状可与眼部症状同时出现,也可以晚于眼部症状数周或2年内先后出现。
2.眼部表现:可出现较多变异,但最典型的眼部症状是非梅毒性间质性角膜炎,表现为眼红、畏光、眼睛不适、疼痛和视物模糊。在裂隙灯下可见斑片状颗粒状角膜浸润,反复发作患者可出现云状角膜变性。
3.耳部损害:听力进行性下降为最主要的耳部损害,发病2年内,有54%典型的和37%非典型的Cogan综合征患者会发生单耳或双耳的耳聋。经过抗炎与全身激素治疗,听力较视力下降的改善较差。
4.全身其他系统:引起其他系统症状。如,呼吸系统的上呼吸道感染,可见胸痛、呼吸困难等;心血管系统可见主动脉炎、心包炎或者心律失常、高血压等;消化系统可见腹部疼痛不适、消化不良、腹泻、便血、肝脾肿大等;以及皮肤可见红斑、风疹,也可出现多发性关节炎或关节痛。
治疗
糖皮质激素是治疗CS的基本药物,宜早期大量应用,起效后逐渐减量维持。糖皮质激素无效时可联用免疫抑制剂。结膜炎、巩膜炎、角膜炎、前葡萄膜炎局部应用糖皮质激素有效。无效时可用环孢霉素A滴眼液,严重眼部炎症需服用泼尼松。
参考资料
1. 范梓晰,靳荷,黄里佳,等. Cogan综合征二例. 中国实用眼科杂志,2015,33(02):200-201.
2. 李雪静,陈楠.老年Cogan综合征1例[J].中国现代医学杂志,2019,29(09):126.
3.毛秋月,杨涛,彭安全,等.Cogan综合征诊治的研究进展[J].中华耳科学杂志,2023,21(01):115-120.

