并发症丨左冠严重病变,右冠术中夹层,及时下台保住患者性命
时间:2025-04-06 12:09:00 热度:37.1℃ 作者:网络
并发症专场
病例资料
患者男性,51岁,因反复喘累、心悸1年,加重伴胸闷10天入院。
吸烟30年。
入院查体:心率80次/分,律齐,各瓣膜区未闻及杂音,下肢无水肿。TnI 、CK-MB轻度增高。
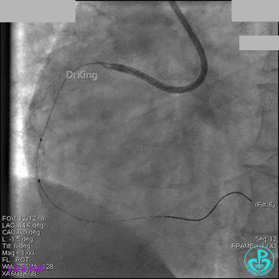
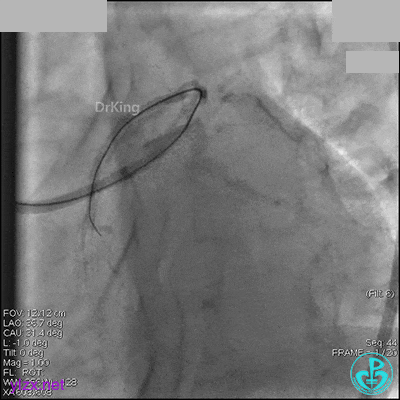
冠脉造影
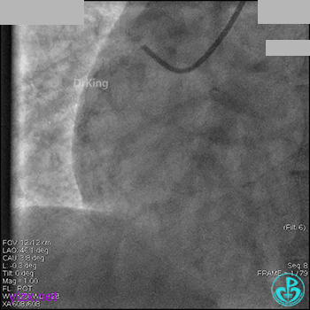
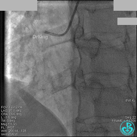
入院次日冠脉造影显示粗大左主干末端中度狭窄,前降支开口严重狭窄,回旋支与前降支角度大,弥漫性长病变,严重狭窄,粗大右冠脉近中段弥漫性中重度狭窄。由于病变复杂,造影结束后先下台,择期再行介入治疗。






1周后行冠脉介入治疗
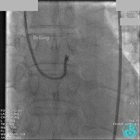
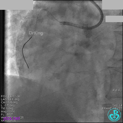
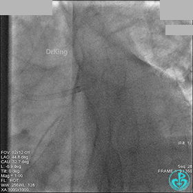
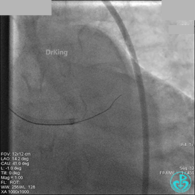
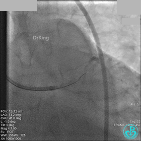
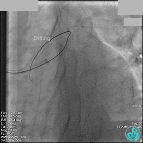
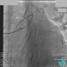
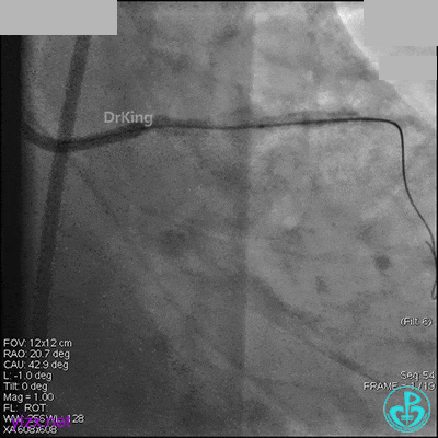
AL 1.0指引导管到位,简单短时尝试导丝不能顺利通过前降支或回旋支病变。改变策略处理右冠脉病变,计划植入2枚支架。AL指引导管到位,Sion blue导丝到达右冠脉远端。导丝通过后1.5mm及2.5mm球囊14~16atm充分扩张中段病变。








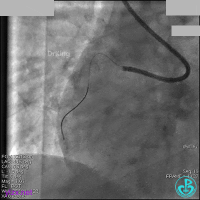
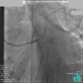
右冠脉中段充分扩张后欲植入3.5×38mm支架时,支架难以通过中远段扭曲处,且指引导管、导丝弹出飞扬。反复尝试导丝重新到达右冠脉远端时通过不顺利,局部造影剂滞留,远端血流接近3级。


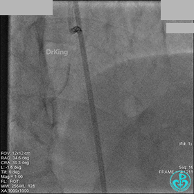
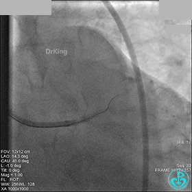
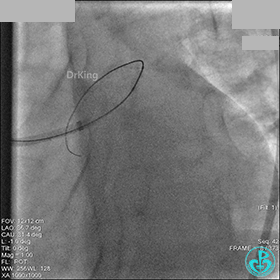
右冠脉血流3级,患者无症状,终止手术。



术后患者无特殊不适。
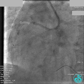
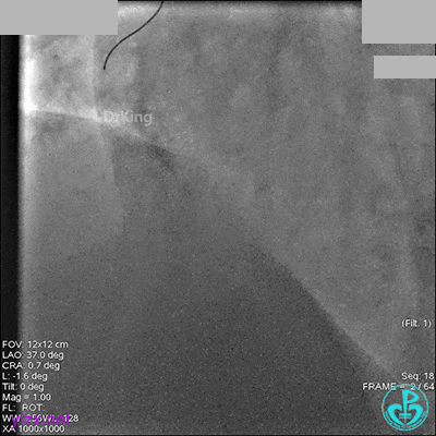
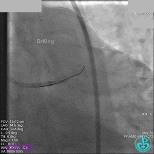
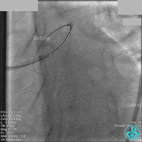
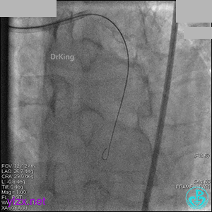
1周后再次上台,右冠脉3级血流,3段局限性严重狭窄,内膜模糊,应该是上次操作夹层遗留下的血肿。




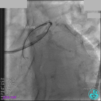
先处理前降支开口严重狭窄并顺利植入前降支到左主干支架。










































没有说明是否进行了右冠脉介入治疗。

