胸腺增生、甲状腺肿丨影像表现
时间:2022-12-28 18:00:35 热度:37.1℃ 作者:网络
正常和异常胸腺丨临床和影像表现
胸腺增生
Thymic Hyperplasia
概述:
-
由胸腺或淋巴组织增生引起的胸腺增大
影像表现:
-
平片正常或纵隔变宽
-
真性胸腺增生:弥漫性、对称性胸腺增大,典型的见于化疗后
-
淋巴组织增生:正常胸腺,胸腺增大,局限性胸腺肿块
-
增强类似于正常胸腺
-
不均质强化提示胸腺肿瘤
鉴别诊断:
-
胸腺瘤
-
复发或转移性恶性肿瘤
-
淋巴瘤
病理:
-
真正的胸腺增生:继发于最近的压力,镜下为正常胸腺
-
淋巴组织增生:与重症肌无力、胸腺淋巴滤泡相关

(左) 图示前纵隔的轴位解剖。胸腺被脂肪包围,后方为上腔静脉和升主动脉,前方为胸骨。
(右) 胸腺CT测量方法。每个叶的前后径(W)和厚度(T)测量如图所示。胸腺厚度是最常用的测量指标,和病人的年龄相关。

(左) 新生儿的胸部X线片显示正常胸腺的特征性外观,即所谓的帆征,大约有10%的新生儿胸部X线片可见此征。
(右) 复合图像显示不同年龄组的正常胸腺外观(从左上方按顺时针方向):超声示主动脉和肺动脉干前方的正常胸腺,年龄9、28和50岁时正常胸腺的CT表现(后者表现为脂肪退化)。

(左) 淋巴瘤化疗后发展为胸腺增生的病人,轴位CECT显示胸腺增大,表现为前纵隔软组织,脂肪包绕,叶状解剖保存。
(右) 同一患者,轴位融合PET/CT显示FDG轻度摄取。胸腺增生常表现出轻微的FDG摄取,通常低于3.0SUV。SUV高于4.0是恶性肿瘤的特征。

(左) 轴位CECT(左)和FDG PET/CT(右)复合图像显示霍奇金淋巴瘤化疗后胸腺增生,表现为胸腺增大伴轻微FDG积聚(低于2.0SUV)。
(右) 鼻咽癌化疗后患者,前纵隔软组织肿块,MR上反相位信号减低。

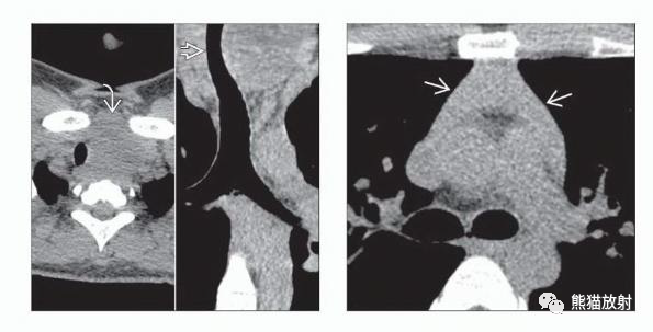
(左) 甲亢和淋巴组织胸腺增生患者的轴位和冠状位NECT图像显示甲状腺肿大,密度不均,对气管有占位效应。
(右) 同一患者,胸腺弥漫性增大,密度均匀,边缘轻度凸起。虽然大多数胸腺淋巴组织增生病例与重症肌无力有关,但其他自身免疫过程,如甲亢也与之有关。
甲状腺肿
Goiter
概述:
-
甲状腺肿:甲状腺肿大
-
胸骨后甲状腺肿:扩大至上/前纵隔
-
纵隔甲状腺肿:扩展至食管后纵隔
影像表现:
-
X线:气管移位,常始于喉部水平,可延伸至胸廓入口以下
-
CT:边界清楚的不均质肿块,与颈部甲状腺肿相连续;密度高,明显持续强化;钙化:点状,粗颗粒状(> 3mm),环状;可见囊变
鉴别诊断:
-
胸腺瘤
-
生殖细胞肿瘤
-
淋巴瘤
-
淋巴管瘤
-
先天性囊肿
病理:
-
多结节性甲状腺肿,滤泡腺瘤
-
罕见的癌或淋巴瘤

(左) 甲状腺肿患者的PA胸片,病变主要位于前纵隔,气管明显受压右移。
(右) 同一患者,侧位胸片显示前纵隔肿块,边界欠清。病变的后部不对气管后壁产生占位效应,这在气管后/食管后延伸中是典型特征。

(左) 前纵隔多结节性甲状腺肿的特征性形态学特征,密度不均,内部见囊性和实性区域。甲状腺肿经常使纵隔结构受压移位,包括气管和食管。
(右) 多结节性甲状腺肿患者,甲状腺矢状位超声检查显示一个大的不均质肿块,有实性和囊性区域。超声在胸骨后病变的评估上是没有用的,这是这种成像方式众所周知的局限性。

(左) 甲状腺肿患者,胸片显示一个大的纵隔肿块,气管向左侧移位。食管后纵隔甲状腺典型地位于右侧,气管和食管受压左移。
(右) 同一患者,侧位胸片显示一个大的界限清楚的肿块,气管后壁受压呈弓形。气管后部的占位效应是此部位甲状腺肿的典型特征。
(左) 同一患者的轴位CECT显示,在右侧气管旁和气管后/食管后区有一个大的不均质肿块,气管和食管明显受压。
(右) 同一患者,冠状MPR显示纵隔肿块和颈部甲状腺肿的连续性。此特征可鉴定出纵隔肿块起源于甲状腺并将其诊断为纵隔性甲状腺肿。

(左) 前纵隔甲状腺肿患者,轴位CECT显示前上纵隔较大肿块并气管受压,病变内包含一个小的乳头状癌。15%的甲状腺肿可发生隐匿性甲状腺恶性肿瘤。
(右) 起源于异位前纵隔甲状腺组织的纵隔甲状腺肿,CT平扫显示不均质肿块伴局部囊性成分和内在钙化。

