运动真能延寿吗?最新研究:久坐不动和大量运动都会加速衰老;大吃大喝后,运动抵消不了高脂饮食的伤害,反而造成心脏受损
时间:2025-05-03 12:11:23 热度:37.1℃ 作者:网络
我们常说“生命在于运动”,长期坚持运动锻炼可以增强身体机能,有益于身体健康,包括改善代谢、预防心血管疾病和糖尿病等。
这些运动好处使得大家误以为“运动和健康是正相关的关系”,运动越多,身体就越健康。
事实上,这个观点是错误的。
适度的运动能够提升身体机能,增强免疫力,促进机体代谢,预防多种疾病发生发展;运动不足,会让身体机能逐渐衰退。但是过度运动,也会给身体带来不必要的负担,甚至引发健康问题。
因此,我们不得不重新审视运动与健康之间的关系:真的运动越多,越健康长寿吗?
近日,芬兰于韦斯屈莱大学相关研究人员在European Journal of Epidemiology杂志发表了研究成果,探讨了成年期长期体力活动模式与生物衰老的关系、生物衰老是否为体力活动与死亡率关联的中介因素以及遗传和环境因素对上述关联的影响。结果表明:从加速衰老来看,久坐、大量运动均加速衰老,适度运动生物衰老速度最慢。从死亡率来看,与久坐相比,适度运动者死亡率降低7%,而更多的运动并没有带来额外的益处。

研究人员分析了芬兰双胞胎队列(FTC)中的双胞胎,共纳入22750名参与者,年龄在18至50岁之间,在1975年、1981年和1990年通过问卷评估了休闲时间体力活动(LTPA),死亡率随访至2020年,并通过血液样本评估了生物衰老,分析了LTPA与生物衰老和全因死亡率之间的关系。
久坐或高强度运动都会加速衰老及死亡
闲暇时间体育活动(LTPA)与生物衰老的关联:分析发现运动强度与生物衰老速度存在U型关联:久坐和高度活跃组的生物年龄(GrimAge)分别比中等活跃组高1.2年和1.6年;控制吸烟、饮酒、教育等因素后,仅高度活跃组仍显示加速衰老趋势,提示过度运动可能对表观遗传衰老有负面影响。

LTPA与死亡率的关联:高度活跃组短期死亡风险比久坐组低13%,但长期风险无显著差异。从长期来看,与久坐组相比,中等活跃组的全因死亡风险降低了7%。此外,LTPA与死亡率降低之间的关联可能主要受到遗传混杂因素及疾病因素的影响。如排除心血管疾病(CVD)患者后运动与死亡率的保护作用不再显著。


此外,需要注意的是,运动不仅要适量,运动的时机也很重要。
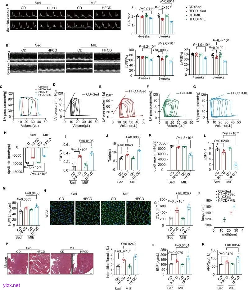
空军军医大学相关研究团队在Nature Communications期刊发表了研究成果,表明大吃大喝后再运动,会加重心脏功能的损伤效应。
研究表明低中高三种强度的运动都能预防高脂饮食喂养小鼠肥胖和代谢综合征的发展,其中高强度运动最为有效。但中等强度运动跟高等强度运动会导致高脂饮食喂养小鼠出现严重的心脏功能障碍,加重心脏损伤,降低心脏功能相关指标,增加心脏病理改变,反观之低强度运动则不会出现心脏损害。

小结
综上所述,中等强度的运动有助于延缓衰老速度,即所谓的“生命在于运动“,但是大吃大喝后,或者对原本就属于高热量肥胖的人群而言,尽管中等强度或高强度锻炼在控制体重方面表现出色,但却会对心脏造成意外的损害,会加剧心脏的脂质堆积,导致心脏肥大,心功能障碍,得不偿失。
因此,运动强度还是因人而异的哦,要根据自身情况选择合适的运动方式及强度,同时也要注意规律运动,循序渐进,过犹不及。
参考文献:
[1]Kankaanpää A, Tolvanen A, Joensuu L, et al. The associations of long-term physical activity in adulthood with later biological ageing and all-cause mortality - a prospective twin study. Preprint. medRxiv. 2023;2023.06.02.23290916. Published 2023 Jun 5. doi:10.1101/2023.06.02.23290916
[2]Geng J, Zhang X, Guo Y, et al. Moderate-intensity interval exercise
exacerbates cardiac lipotoxicity in high-fat, high-calories diet-fed
mice.Nat Commun. 2025;16(1):613. Published 2025 Jan 12.
doi:10.1038/s41467-025-55917-8

