帕金森病功能性治愈的实现:全球首例报告
时间:2025-10-18 13:33:22 热度:37.1℃ 作者:网络
帕金森病(PD)是全球第二大神经系统退行性疾病,目前尚缺乏能够有效逆转疾病进展的治疗手段。在PD患者中,有一类特殊群体——早发型帕金森病(EOPD)患者,他们的发病年龄在50岁之前,约占患者总数的5%至10%。
与老年患者相比,EOPD患者病程更长,且传统药物治疗带来的“开关现象”和异动症等并发症出现更早,对年轻患者的生活、工作及心理造成巨大负担。长期以来,医学界的目标是找到一种能够从根本上修复神经损伤、而不仅仅是控制症状的疗法。

近日,中盛溯源研发的NCR201注射液【诱导多能干细胞(iPSC)衍生多巴胺能神经前体细胞(iDAP)】取得重大临床突破——一位与EOPD抗争近15年的37岁女性患者,在接受治疗后短短3个月即实现“功能性治愈”! 这是全球首次报道EOPD患者达成功能性治愈的里程碑事件,标志着帕金森病治疗领域迎来历史性进展。
首例功能性治愈:十余年病痛,三个月迎来新生
该患者于6月11日通过机器人辅助立体定向微创手术完成“NCR201注射液”移植治疗,术后3个月经综合评估实现了初步功能性治愈,多项关键指标显著改善:
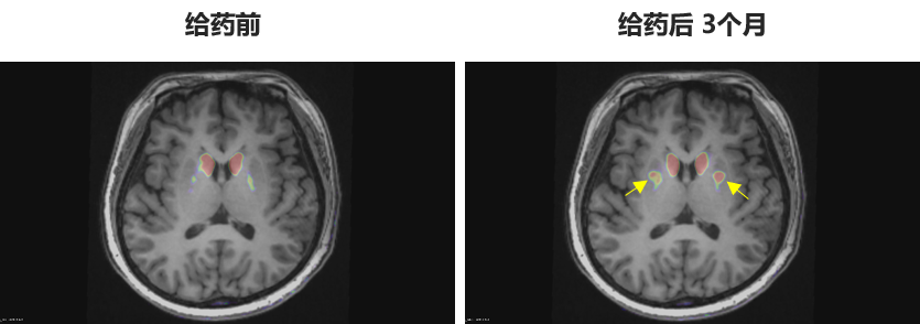
🔹多巴胺能功能成像:神经突触多巴胺能显像是评估人脑黑质纹状体神经元完整性和功能的“金标准”,常用于帕金森病亚临床诊断1-2。接受移植手术3个月后PET-DAT/MRI融合影像明确显示,移植细胞已在患者脑内定植并成功转化为有功能的多巴胺能神经元,双侧纹状体形成显著的de novo新生多巴胺能活性成像(如下图箭头所指), 为功能性治愈提供了最直观的证据。

EOPD患者PET-DAT/MRI融合图像术前与术后三个月对比
注:影像图中黄色箭头指示为NCR201移植后,双侧纹状体出现的新生多巴胺能活性信号,提示移植细胞已定植并高效转化为功能性多巴胺能神经元
🔹运动功能显著恢复:
1)MDS-UPDRS III(运动症状评分)关期评分下降至20分以下,每日是否服用左旋多巴类药物已无明显差异;
2) 术后“关期”完全消失,每日“Good ON”时间增加4.5小时,显著提升近40%。
🔹生活质量全面恢复,多项关键指标恢复至正常水平:
1)MDS-UPDRS IV(运动并发症评分)降至0分,剂末现象、异动症等并发症已消除;
2)MDS-UPDRS II(日常生活能力评分)降至0分,日常生活基本无障碍;
3) MDS-UPDRS I(非运动症状体验评分)下降87.5%,抑郁、焦虑专项评分均降至0分;
4) PDQ-39(39项帕金森病生活质量问卷)评分降至0分,整体生活质量已达健康人水平。
疗效卓越:NCR201临床数据国际领先
这名EOPD患者的成功并非孤例。已有临床数据显示,NCR201在多名PD受试者中展现出积极且一致的疗效。
结果显示,移植9个月后,多名PD患者“关期”消失,中脑多巴胺功能 PET-DAT信号新增最高达 400% 以上,口服多巴胺剂量最高下降 38.6%,多项数据均优于Bayer-BlueRock同类产品历史数据,凸显了NCR201在全球帕金森病治疗领域的巨大潜力。
专家观点:干细胞疗法显成效,EOPD治疗现新曙光
针对全球首例EOPD患者实现功能性治愈这一里程碑事件,中南大学湘雅医院神经内科郭纪锋主任作为研究EOPD领域的专家指出:“早发型帕金森病(EOPD)患者由于有遗传等因素参与疾病的发生与发展,多巴胺能神经元存在明显的丢失,早期常常出现开关现象、症状波动及严重异动症等运动并发症,全程综合管理面临较大挑战。近日,首例EOPD患者在接受治疗3个月后,症状有了显著改善,尤其在剂末现象方面,效果尤为明显。这一进展为干细胞在EOPD治疗中的应用提供了新的希望,展示了其作为有效治疗手段的潜力。”
中国科学技术大学附属第一医院神经内科施炯副院长作为该研究的主要研究者之一表示:“早发型帕金森病(EOPD)指40-50岁前发病,因发病于人生关键期,20-30年的长病程对患者生活、职业及家庭影响深远,我国检出率还在上升。现有治疗以药物和手术为主,但均无法阻止疾病进展。
EOPD发病与PARKIN、LRRK2等基因突变相关,传统治疗不能修复受损神经元。干细胞治疗可分化为多巴胺能神经元,替代受损细胞,或避免药物副作用,延缓疾病进展。其研究还能推动神经退行性疾病治疗发展,完善相关理论,带动技术进步,同时减轻社会医疗负担,让患者回归社会,创造价值。”
全球首例EOPD功能性治愈案例的出现,不仅为EOPD患者带来了前所未有的希望,更极大地推动了中国在神经退行性疾病细胞治疗领域的发展,标志着我们在征服帕金森病的道路上,树立起了一座新的里程碑。

中国科学技术大学附属第一医院
施炯副院长:神经内科周三下午特需门诊;
陈育华主任医师:神经内科周一上午,周二下午和周三上午门诊;
韩超医生:神经内科周五下午门诊。
联系人:朱老师 19116908004
首都医科大学宣武医院
李建宇主任医师:神经外科周一下午特需门诊;周四上午专家门诊;
任志伟副主任医师:神经外科周一下午和周三下午专家门诊;
徐翠萍医生:神经外科周四上午和周四下午震颤-帕金森病-肌张力障碍门诊;
梅珊珊副主任医师:神经内科周一上午专家门诊:周一晚上特需门诊。
联系人:郭老师 15511267522;吴老师 13041172366
中南大学湘雅医院
郭纪锋主任医师:神经内科周一下午专家门诊;周二上午、下午专家门诊
联系人:黄助理 18597946209
参考文献
1. 沈楠, 等. PET/MR成像在帕金森病中的应用[J].南京医科大学学报(自然科学版), 2023, (9): 1295-1300.
2. Schweitzer JS, et al. Personalized iPSC-Derived Dopamine Progenitor Cells for Parkinson's Disease. N Engl J Med. 2020 May 14;382(20):1926-1932.

