误诊分析:我的误诊反思,这个我觉得更偏向考虑良性的结节何以竟然是浸润性癌?
时间:2025-05-09 12:10:22 热度:37.1℃ 作者:网络
前段时间有位患者问诊,我觉得影像不是典型恶性,而且由于两次CT影像上看,似乎密度还有所降低,建议可再随访下,但因位置好,且已经消炎并复查过也没显著好转,切了也可以,既是明确诊断,也兼具治疗作用。但今天反馈病理居然是浸润性癌!何以如此?有什么值得反思和经验教训可汲取?
病史信息:
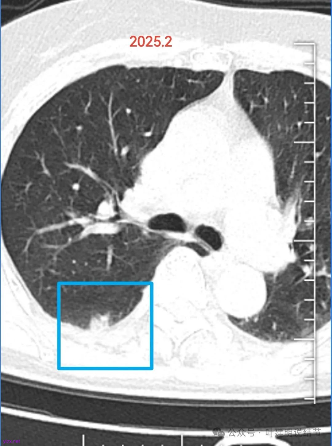
患者,女性,67岁。今年2月底体检发现肺结节后,吃了半个月莫西沙星片后复查,想请主任再看一下。
影像展示:

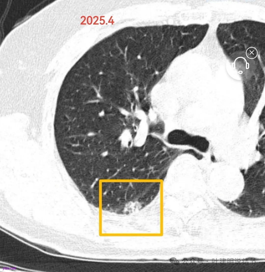
右下背段偏实性结节,整体轮廓较清,瘤肺边界欠清晰,紧贴胸膜但无明显牵拉,整体显得缺乏收缩力,边缘也说不上膨胀性。

似乎灶内有部分吸收,因为变成了类似蜂窝状了。病灶一侧贴叶间裂,一贴胸壁,均无牵拉影响。
我的意见:
右肺下叶背段这个病灶,对比两次的CT,感觉密度略有减低,整体轮廓显得稍微清楚点起来。至少没有进展,这种似乎有点改变比较符合炎症性的变化。如果单看复查这次的,只从影像考虑更符合恶性一些。对比看就不是太符合。我稍微倾向于再过3~4个月再复查一次再看情况。当然已经随访过,如果比较担心,由于病灶位置非常好,单孔胸腔镜下局部切除很方便,即使去除病灶也是明确诊断,考虑近期切了也是可行的。但是要有切了以后是良性的思想准备。意见供参考!
结果反馈:
结友做了手术,病理报告如下:

反思:
这个病灶感觉对比是略有变散,病灶内部有了一些小的空腔,为什么结果仍然是恶性而且是浸润性粘液腺癌?再回过去分析,我想我们仍然要抓住肺结节轮廓整体上较为清楚这个特征。只要随访过,整体轮廓清楚,就得提高警惕。对于这种位置比较靠边缘部位的,密度不纯的,可能还是要更加积极一点手术干预。当然,倒不是说这个病例如果在随访3~4个月或者4~6个月,影像上面有所进展或者没有好转再开就会转移或者影响预后,那样应该也是可以的。两次的形态和密度略有不同,可能与扫描条件不一样有一定的关系。

