问诊分析:肺结节手术,患者知其然,也希望知其所以然。而这,正是大医院太忙容易欠缺的!
时间:2025-05-06 12:12:53 热度:37.1℃ 作者:网络
前言:经常有结友在门诊或在网络咨询中反映,大医院水平确实高,但就医感受却并不好。一是医院人太多,二是医生话太少,三是主刀医生见不着,四是稀里糊涂花钱。其实我觉得根本原因一是医生太忙,二是流水线式诊疗比较机械,很多时候少了人文与思考。就如经常有结友纯磨在某些大医院随访,也都是每三个月查一次,甚至磨玻璃做增强CT或建议PET-CT的也比比皆是。医生可能没有时间个体化来考虑,就算门诊一天挂七八十个号,甚至上百个号,怎么能有时间细细看或仔细对比不影像资料?前段时间有位问诊的结友,上海各大医院都看过,也许多说要开刀,但为什么要开,为什么不能再随访,再随访有何风险,手术又有何益处,手术方式怎样的为好?这些一概不知道,所以心中就容易忐忑,开刀怕过度,随访怕耽误。
病史信息:
基本信息:
男性,70岁。
疾病描述:
家族患肺癌史,70年代暴露有毒有害职业环境,性格思虑过重,脾性易燥易怒。
希望获得的帮助:
三年多了,从纯磨变混杂,从11mm变大17mm,CT值密度增高,中三枪。诉求手术干预的所以然。
影像展示与分析:
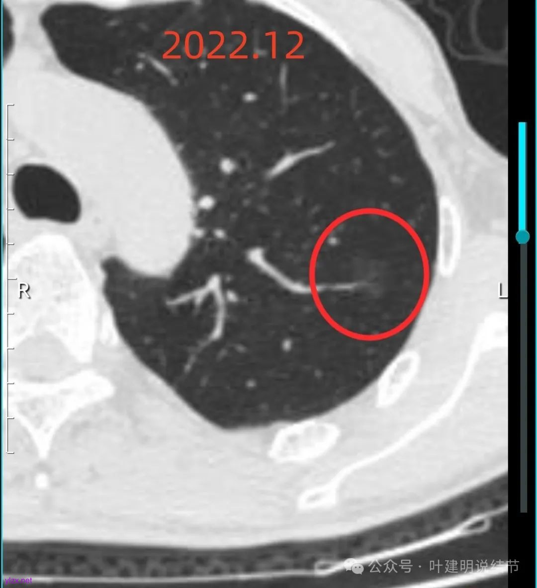
我们先来看2022年12月时的影像:

右下叶实性结节,轮廓较清,密度高,单次影像是否恶性不太好定,要随访,总体上觉得密度太高了点,不是太像恶性。

右上叶蜂窝状混合密度阴影,有较多磨玻璃成分,灶内有支气管扩张,邻近胸膜有增厚,总体感觉更像支气管扩张伴慢性炎及纤维增生,但有时肿瘤性病变也会类似,还需要随访对比才能更有倾向性。

左上这个病灶是淡磨玻璃密度,虽然较淡但轮廓与边界却较为清楚,也有血管进入,倒是要考虑恶性范畴的,但这种密度仍是原位癌可能性较大。

病灶内没有明显实性成分,整体轮廓较清。
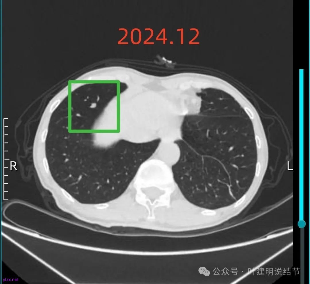
再来看2024年12月时的影像:

右下实性结节两年来没有变化,那它就是良性的可能性大些了,至少目前不考虑干预处理。

右上混合阴影也没有明显进展,则同样要更倾向确实是支气管扩张伴慢性炎与纤维增生的关系,可随访。

左上病灶血管进入了病灶且有异常增粗,边缘有淡的细毛刺的样子。

灶内血管明显,管壁略毛糙,有异常增粗,红色箭头处有点状高密度,边缘有毛刺征。

灶内出现了明显的实性成分,整体轮廓较清。

除了原血管进入外,另外角度也见到其他血管发出分支走向病灶,而且灶内密度不均,实性成分明显。
我的意见:
绿色的像是慢性炎,随访没有进展;红色的2022年12月开始是纯磨玻璃密度,但有小血管进入和整体轮廓较清,这种密度风险不高,但随访持续在的话,则要考虑肿瘤范畴,不典型增生或原位癌可能性大。再看2025年12月的,范围有所增大,磨玻璃部分密度仍很淡,但灶内出现实性成分,实性成分不太密实,稍显模糊。我觉得像微浸润性腺癌或原位癌伴肺泡塌陷可能性大。位置还好,病灶也不太小,若再增大进展切除范围更多些,我倾向单孔胸腔镜下局部楔形切了为妥。意见供参考!
后续交流:

右肺4毫米的结节大概是指右下实性这处,但我没搞清楚上海让其手术的是切右下这处还是左上这处。

结友看了我给其的回复意见,对于后续该如何办有了更好的了解。
感悟:
肺结节的诊疗医生很容易意见不一致,影像判断上,良性或恶性的考虑会有分歧;即使考虑恶性范畴,对于干预与否的决策上,也会有分歧;决定干预了,对干预方式的选择上也会有分歧;就算选择了手术,对于手术方式的选择也同样会有分歧。更不要说都说明白之所以为何随访或为何要手术,以及不同术式的利弊权衡,大医院的医生更是哪有时间来给你细致解析。我想我们基层些的市县级医院的医生正可以利用不那么忙,多沟通多解释,多科普这些知识。事实上,我常觉得对于肺小结节来说,不管楔形切除、肺段切除或肺叶切除,由于解剖基本上是正常的,难度并不大,效果也相当,反而准确的影像诊断与临床综合分析决策更为重要。这也是我们小医院医生该努力的方向。对于此例来讲,之所以我建议其切除左上叶病灶还有一个原因是:病灶不小,近期切仍大概率能楔形切除,而再长大后范围更大的话,得段切。那推迟一年或两年时间,切除更多肺组织,且手术更复杂些,显然并不是更有利。

