【协和医学杂志】PUMCH疗法:根管治疗的临床新路径
时间:2025-05-05 12:13:27 热度:37.1℃ 作者:网络
牙髓及根尖周病是口腔科最常见的疾病,发病率极高,根管治疗是首选治疗方案[1]。根管治疗中的机械预备一直是该治疗操作技术中的重中之重,虽然微创机械预备的理念已被众多学者尝试,但目前尚无可靠的临床路径可以实现。
1993年,有学者曾报道过非器械根管治疗(NIT),该路径完全不使用机械预备,直接通过根管荡洗消毒完成感染控制[2-3]。然而,该临床路径后被证实无法满足感染控制的需求,同时部分患者无法耐受负压抽吸步骤带来的根尖孔损伤,因此逐渐被临床弃用[4]。
目前,常规根管治疗技术的感染控制仍以机械清理为主,辅以各类型化学消毒技术,虽然已经能够达到较好的治疗效果,但不可避免会切割大量牙本质组织,且操作技术要求较高[5]。
本文提出一种新的根管治疗临床路径——PUMCH疗法,全称为光声流效应引导下的微创机械化学预备流体充填疗法(Photoacoustic-steaming United Miminal-invasive Chemomechanical-Preparation hydramatic-obturation therapy)。该技术是北京协和医院口腔科医疗团队自主研发的临床路径,本文首次报道PUMCH疗法成功治疗具有复杂根尖区解剖结构的34牙慢性根尖周炎患者的完整诊疗过程,以期为牙髓及根尖周病的治疗提供借鉴。
1 患者诊疗过程
1.1 病例简介
患者男性,61岁,2024年9月因“左下后牙反复肿痛1个月”就诊于北京协和医院口腔科门诊。患者否认冷热刺激痛,偶有自发痛,咬合痛,牙龈处常起脓包,可自行缓解;否认特殊系统病史和药物过敏史。左下后牙恒牙列,排列基本整齐,34牙颊侧可见楔状缺损,缺损深,边缘见腐质,可探及穿髓孔。探痛(-),叩痛(+),无松动。颊侧可见窦道,窦道明显溢脓,窦道探查方向指向34牙根尖区。牙周检查无明显异常。
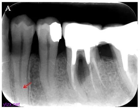
影像学检查:X线示34牙冠部中份见牙体组织低密度影;根尖区未摄及,提示工作长度较长;根管中下段可见粗大根管影像分为两条细小分叉,提示根管中下段分为颊侧、舌侧根管(图1A)。

图1A 患者治疗前影像学检查结果(2024-09):X线片示颊侧、舌侧根管通路分离(箭头)
小视野锥束计算机断层扫描(CBCT)示根尖明显膨隆,提示存在变异解剖;根尖区大面积低密度影,提示患牙工作长度为26 mm左右;根管冠方2/3为单一根管通路,在根方1/3处(距离牙合面约20 mm)分为颊侧和舌侧根管通路,后续颊侧根管通路在根尖区再次分为近中和远中通路,提示患牙存在三个解剖学根尖孔(图1B)。


图1B 患者治疗前影像学检查结果(2024-09):CBCT可见根尖区膨隆,提示根尖区存在复杂解剖结构,a-d为CBCT的4个水平面截图,其中a平面为单一根管通路图像,b平面可见颊侧与舌侧各管通路分离影像(箭头),c平面可见颊侧根管通路再次分为近中和远中通路,根尖区存在3个解剖学根尖孔(箭头),d平面可见根尖区大面积低密度影及颊侧根表面膨隆影像
结合患者临床表现及辅助检查结果,诊断为慢性根尖周炎,治疗计划为34牙根管治疗。考虑到患者颊侧、舌侧根管通路分离位置较低,告知患者先进行常规根管治疗,若显微镜下超声器械难以有效开放根管口,建议更换为PUMCH疗法,获得患者知情同意。
1.2 常规根管治疗过程
采用4%盐酸阿替卡因肾上腺素左侧下齿槽神经阻滞麻醉,涡轮机球钻彻底去除颊侧腐质,玻璃离子水门汀(富士II,株式会社松风,日本)制作颊侧假壁。打孔橡皮障布,并于34牙和35牙之间安放橡皮障。牙合面建立常规开髓洞型,洞型与颊侧玻璃离子水门汀相通。去除髓腔内部分玻璃离子水门汀后,探查髓腔及根管口,冠段单根管口,内无牙髓组织。
显微镜(OMS2380,速迈,中国)下可直接观测到颊侧根管通路,舌侧根管通路不可视(图2A)。8#K锉疏通颊侧根管,根尖定位仪(PropexII,Dentsply,美国)测量工作长度为26.5 mm,疏通至#10K锉(图2B),拍摄示踪片,显示K锉达到根尖区(图2C)。10#K锉尖端预弯,远舌侧壁上探查,可探及舌侧根管口,6#锉疏通,测量工作长度为26.5 mm,疏通至10#K锉,拍摄示踪片,显示K锉进入舌侧通道,并达到根尖区(图2D)。反复提拉K锉,扩大远舌侧壁根管口,显微镜下,调整视角后,可观测到舌侧根管开口(图2E)。
乙二胺四乙酸凝胶(EDTA,Glyde,Dentsply,美国)辅助下,根管治疗仪(X-smart,Dentsply,美国)连接31mm镍钛机用锉(Protaper Next,Dentsply,美国),根向预备技术将颊侧根管预备至X2。术中每次换锉均用5%次氯酸钠溶液大量冲洗,10#K锉回锉。舌侧开口位于根管侧壁,镍钛机用锉无法进入。显微镜辅助下,超声工作尖(ET20,赛特力,法国)尝试开放舌侧根管开口。由于超声工作尖长度过短,无法预敞。手用K锉预备舌侧根管至#20(图2F),拍示踪片,#20K锉到达根尖区(图2G)。5%次氯酸钠反复冲洗根管,蒸馏水置换,干燥根管,封氢氧化钙糊剂(ApexCal,义获嘉,列支敦士登),玻璃离子水门汀封闭髓腔。同时,告知患者术中所遇困难,建议更换为PUMCH疗法。患者签署受试者知情同意书后,藻酸盐印膜材制取研究模型,制作患者34牙适配的定位冠装置,并预约复诊时间。

图2 常规根管治疗的过程及遇到的技术瓶颈
A.显微镜下探查牙合面开髓洞型;B、C. 31mm 10#K锉疏通颊侧根管及示踪,显示患牙工作长度较长;D.31mm 10#K锉示踪舌侧根管,对比C图可见颊舌侧根管分叉位于根管根1/3处,且颊舌根管开口距离近;E.显微镜下,手用K锉开放舌侧根管口;F、G.31mm 20#K锉扩大舌侧根管及示踪
1.3 PUMCH疗法治疗过程
2024年10月患者门诊进行PUMCH法进行根管治疗。采用阿替卡因肾上腺素注射液(必兰)局部麻醉,去除前次常规治疗放置的34牙颊侧玻璃离子暂封,排龈,颊侧壁全酸蚀,涂布粘接剂(SE-BOND,株式会社可乐丽,日本),流体树脂(F00,株式会社松风,日本)建立颊侧树脂真壁,并于34牙和35牙之间安放橡皮障。Er:YAG激光器(Lightwalk,Fotona,斯洛文尼亚)装配专用手柄(H14,Fotona,斯洛文尼亚),激光工作尖(89036,Fotona,斯洛文尼亚)放置于髓腔正中,按表1流程进行铒激光激活荡洗,荡洗后干燥髓腔及根管系统。
表1 铒激光荡洗流程

34牙试戴定位冠装置就位顺利,定位冠装置内侧壁边缘注射屏障树脂,就位后光固化,形成边缘封闭。定位冠牙合面中孔连接生物陶瓷材料注射头(iRootsp,Innovative BioCeramix,加拿大),并与周围形成密闭;定位冠牙合面侧孔,连接内窥镜镜头;近中连接端口连接两路气路,外接负压泵。启动负压泵20 s,抽吸髓腔及根管系统内气体至1%以下,内窥镜引导下,注射iRootsp至根管冠段,并形成封闭液面,释放负压,内窥镜下观测iRootsp材料进入根管,遂移除内窥镜、注射头及气路管路,拍摄术后即刻X线片。详见图3。

图3 PUMCH疗法根管治疗初次诊疗过程
A.前次常规治疗放置的颊侧玻璃离子水门汀暂封;B.排龈及流体树脂建立颊侧树脂真壁;C.Er:YAG激光激活荡洗3;D.连接定位冠装置;E.定位冠装置外接iRootsp注射头(红色箭头)、内窥镜(绿色箭头)及气路(黄色箭头);F.内窥镜下注射iRootsp材料;G.内窥镜下释放负压,液体材料进入根管内;H.术后即刻X线片
2024年11月患者门诊二次治疗。安放(34牙)橡皮障,去除牙合面玻璃离子水门汀暂封。iRootsp材料凝固于根管内,中间可见空心通道,通道底端距离牙合面15 mm(图4A)。β相热牙胶回填根管中心通道,涡轮机慢机球钻平整髓室底(图4B)。髓腔内壁全酸蚀,涂布粘接剂,光固化后,流体树脂垫底,复合树脂(Z350 XT,3M,美国)分层充填修复,堆塑牙合面形态,抛光、调合(图4C)。

图4 PUMCH疗法根管治疗二次诊疗过程及随访X线片
A.去除牙合面暂封材料后可见iRootsp中间空心通道;B.热牙胶回填中心通道;C.复合树脂充填修复后;D.术后1个月复诊X线片
2024年12月,患者复诊X线片示窦道完全愈合,主诉症状消失,无咬合不适。
2 讨论
本文报道了PUMCH疗法成功治疗具有复杂根尖区解剖结构的34牙慢性根尖周炎一例。低位根方根管口的预敞处理,临床上通常需要显微镜辅助下精细操作,存在较高难度和技术敏感性。北京协和医院自主研发的根管治疗临床路径——PUMCH疗法,极大简化了该类病例的处理流程及技术难度。
PUMCH疗法主要具备如下优势:
1 仅需使用1次或少量机动旋转镍钛器械预备根管,即可完成根管的机械清理,同时无需对根管进行成型;
2 采用铒激光激活荡洗技术,通过强效荡洗,完成对根管复杂解剖结构的感染控制,此过程还可佩戴定位冠装置,进一步增强铒激光激活荡洗技术的效能;
3 通过定位冠装置,在牙齿内部建立负压环境,内窥镜观测引导下,实现液体生物陶瓷材料的充填,进一步通过释放负压,将液体材料充填至根尖孔,实现根尖区的封闭(图5)。

图5 PUMCH疗法模式图
A. 建立冠部髓腔入路;B.通畅锉探查根管;C.少量机动旋转镍钛器械清理根管;D.粘接定位冠装置;E.定位冠装置增强下的铒激光激活荡洗;F.髓腔及根管内的干燥;G.内窥镜引导下注射液体生物陶瓷材料,进一步释放负压完成根管充填;H.术后即刻完成效果
既往NIT技术之所以无法被临床接纳,主要存在3个方面的问题:
1
完全不进行根管通路的机械预备时,荡洗液体无法充分进入根管系统,仅靠负压抽吸引起空化反应,无法达到临床感染控制的要求;
2
环氧树脂类根管封闭剂作为单一的根管充填材料,在固化后存在明显的体积收缩,无法满足将根尖孔周围免疫区和非免疫区之间严密封闭的临床需求[6];
3
NIT技术中,髓腔内负压是通过在牙齿牙合面正中建立开髓洞型,插入抽吸装置,通过约10 min的缓慢抽吸建立的,建立负压时间过长会导致根尖区组织长期处于负压抽吸状态,最终可能导致患者无法耐受的结果[4]。
PUMCH疗法通过技术改进,解决了NIT技术遗留的难题:
1
引入Er:YAG激光激活荡洗技术,增强根管荡洗效果,实现根管治疗的微创预备[7]。
2
引入生物陶瓷材料作为单一充填材料。该材料固化收缩体积变化小,并有固化后体积微膨胀的特性,为根管纯液体材料充填提供了契机[8]。
3
通过定位冠装置建立髓腔及根管内负压环境,提升负压建立效率,缩短操作时间,降低对根尖区损伤。
目前, PUMCH疗法的激光动力学理论研究、生物学感染控制研究、早期动物实验验证研究均已全部完成并部分报道][9-14],为临床转化应用奠定了坚实基础。
PUMCH疗法的主要特点是以液体作为主要治疗载体,通过完善的根管荡洗简化或者替代部分根管机械清理,并可通过负压诱导液体材料进行根管充填。此外,液体的特性是其能够渗透到根管的复杂三维结构中,且无需人工精确定位[15],这有望实现根管治疗技术的微创化。本病例为PUMCH疗法临床路径的首次报道,由于观察时间尚短,因此该技术的长期治疗效果与风险问题仍有待大样本、多中心研究加以证实。
注:本研究已通过北京协和医院伦理审查委员会审批(审批号:I-24PJ074),并获得患者知情同意。
参考文献
[1] 王兴. 第四次全国口腔健康流行病学调查报告 [R]. 2018; 人民卫生出版社.
[2] A.Lussi, L.Messerli, P.Hotz et al.A new non-instrumental technique for cleaning and filling root canals [J]. International Endodontic Journal, 1995, 28:1-6.
[3] A.Lussi, Dr. med. dent, dipl, chem. ing., et al. A Novel Noninstrumented Technique for Cleansing:he Root Canal System [J]. Journal of Endodontics, 1993, 19(11):549-553.
[4] T. Attin, W. Buchalla, C. Zirkel, et al. Clinical evaluation of the cleansing properties of the noninstrumental technique for cleaning root canals [J]. International Endodontic Journal, 2002, 35:929-933.
[5] Louis Berman and Kenneth Hargreaves. Cohen's Pathways of the Pulp [M]. 12th Edition. Elsevier. 2020.
[6] 范 蓉,张成飞. 负压法根管充填技术的研究进展 [J].北京口腔医学, 2004, 12(4):235-238.
[7] 赵斯佳, 何新宇, 于悦等. Er:YAG激光激活荡洗对不同机械预备锥度根管系统的荡洗效果研究分析 [J]. 口腔医学, 2023, 8(43): 673-678.
[8] Zhou HM, Shen Y, Zheng W, et al.Physical properties of 5 root canal sealers [J].J Endod, 2013, 39(10):1281-1286.
[9] 何新宇, 李珍, 赵斯佳等. Er:YAG激光激活荡洗辅助根管治疗对慢性根尖周炎临床效果及影响因素的回顾性研究 [J]. 中国实用口腔科杂志, 2022, 15(6): 694-704.
[10] Xinyu He, Yizhou Li, Mingyuan Nie, et al. Transient apical peak pressure measurement of Er:YAG laser activated irrigation in different in vitro tooth models using a high frequency sensor [J]. Lasers in Medical Science, 2023, 38(123).
[11] 何新宇, 李依洲, 聂铭远等。Er:YAG激光SWEEPS双脉冲模式激活荡洗在自由水域中的气泡动力学观测 [J]. 实用口腔医学杂志, 2024, 40(1): 64-70.
[12] 何新宇, 林欣欣, 李依洲等. Er:YAG激光光子增强的光声流效应技术清理根管玷污层效果的体外研究, 中国实用口腔科杂志, 2021, 14(2): 33-37.
[13] 李依洲, 何新宇, 聂铭远等. 不同频率和单脉冲能量下Er∶YAG激光辅助单根管荡洗对根尖压力影响的研究. 中国实用口腔科杂志. 2021,14(3): 308-311.
[14] 赵斯佳, 何新宇, 李依洲等. 不同脉冲宽度Er: YAG激光激活根管荡洗的研究. 口腔医学研究. 2022,38(05):454-458.
[15] The robot that may one day do your root canal surgery [N]. Medical devices in China,Spotlight,Nature,21 March 2024.

