问诊分析:肺多发结节的手术干预时机选择,要明白手术带来的益处以及随访可能的坏处,若非利大于弊,则不如随访
时间:2025-05-03 12:09:53 热度:37.1℃ 作者:网络
前言:现在查出肺结节太多了,许多磨玻璃结节都是早期肺癌,但到底是否要手术却是不同医生意见不一。当然在自媒体上,我们既有认为有些病例别人是开早的,但也有些我们做了手术后病理也是原位癌,甚至不典型增生的。那么何以为是否手术的标准,如何决定手术时机呢?我一直认为:我们决定手术与否不必过于在意最后的病理,而要从风险角度考虑。我们在决定手术前要考虑手术能解决什么问题,以及解决不了什么问题,对患者来说,手术的干预是利大于弊还是弊大于利。如果手术只是切了多发早期肺癌这一,而且此灶近期风险并不大,那么过早切除并没有显著获益,却由此戴上了“肺癌患者”的帽子,不单患者自己心理上确认了自己是肺癌患者,也对其生活、工作、交友、求偶等带来困惑与不利。何况多发结节时,他处结节仍在,仍得半年或一年随访,仍活在焦虑不安之中,那么这手术做的价值就不高,或者反而不利的。
病史信息:
基本信息:
男性, 69岁。
疾病描述:
20年9月发现双肺多发小结节,21年3月段切左上肺约1cm混磨,原位伴微,后年度随访。现发20年至25年3月电子版ct给你问诊,请对比结节变化情况,重点关注右上肺尖段,左上肺二个结节,并请提出处理建议。
既往病史:
手术:20年10月在某第一医院行前列腺钬激光剜除术 。
手术:21年3月在某第一医院胸外科行肺段切除术,左上肺结节病理原位伴微 。
希望获得的帮助:
观察肺小结节变化,并提出处理建议。
影像展示与分析:
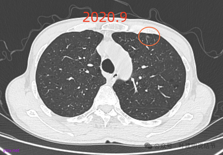
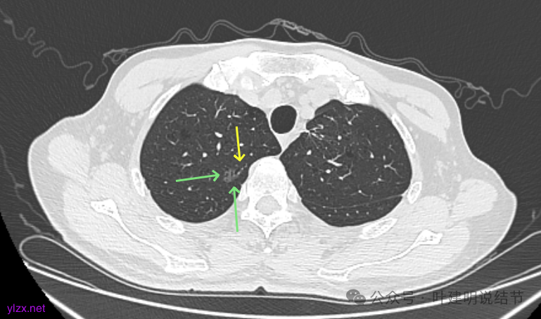
先看2020年9月的片子:

右上叶近脊柱旁有淡而纯的磨玻璃结节,整体轮廓与边界清楚,没有明显实性成分,也未见确切胸膜牵拉凹陷。
左上胸膜下有处偏长条小结节,也是磨玻璃密度的,轮廓较清。

左上叶前胸壁胸膜下有小结节,磨玻璃密度,有微小血管进入,轮廓与边界清。

左上叶混合密度结节,有毛刺与空泡征,瘤肺边界稍糊,灶内密度较为杂乱不均。
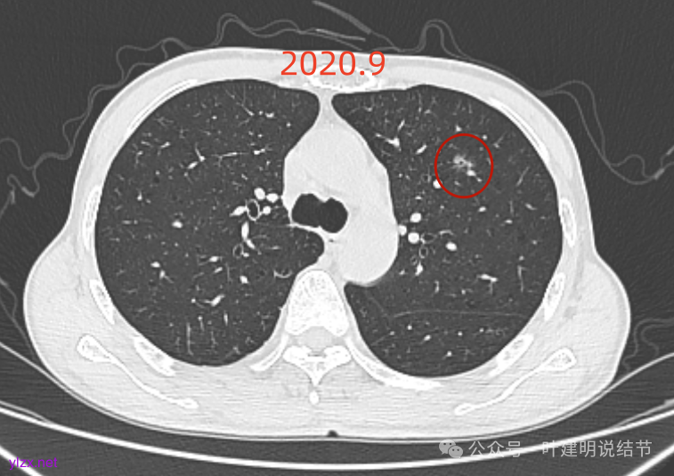
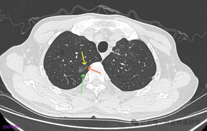
再看2022年9月的:

右上病灶此层面偏长条,密度较低。
左上已经手术。

左上另有一处磨玻璃结节,由于手术后结构变化,此灶是术前哪处感觉不太好对比。
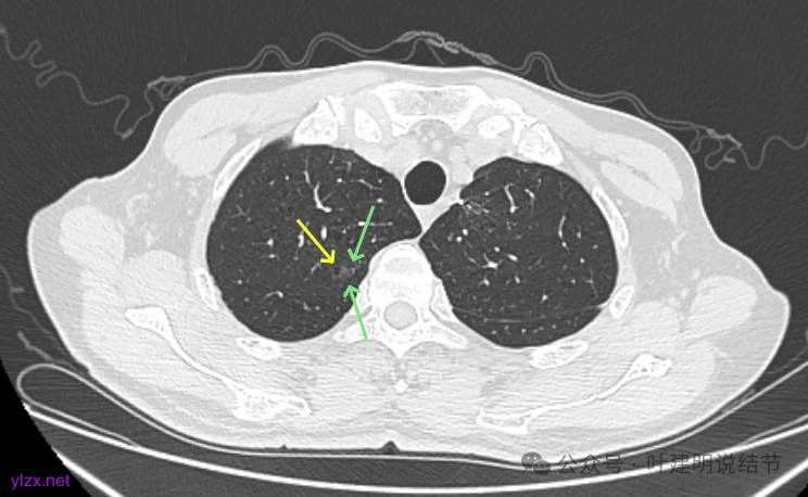
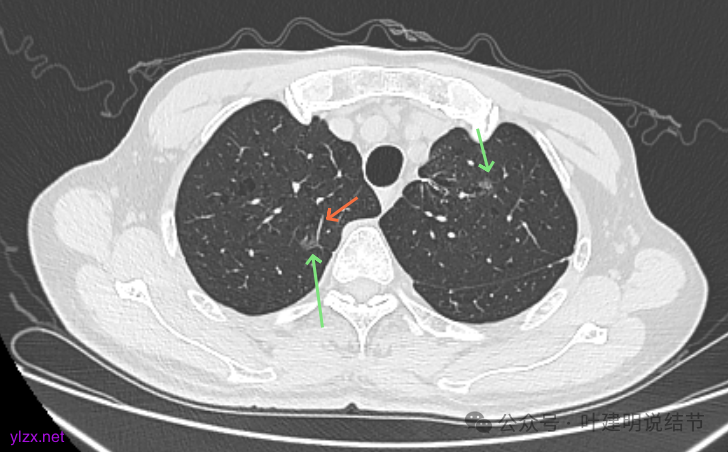
再看2024年9月复查的:

右上的仍小而淡,轮廓仍是清楚的。

左上的病灶略显模糊,密度不太纯,较前相仿。
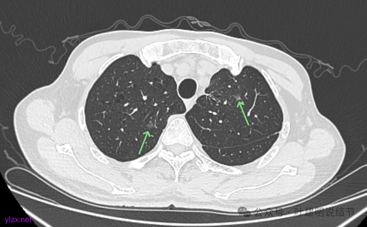
再看2024年9月的:

右上的较前略增大,且有空泡征较豙明显些,肿瘤的成分仍是纯磨密度。

左上病灶也是较为纯的,边缘不光滑,大小似乎略大一点点,不太显著。
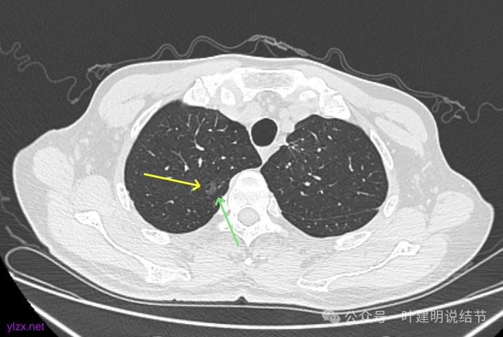
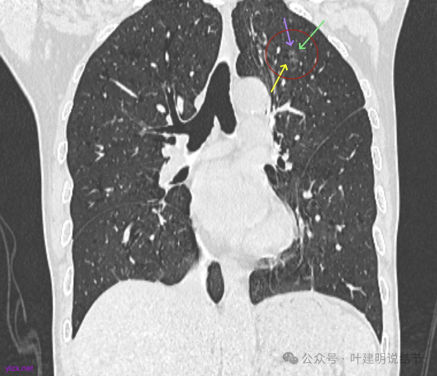
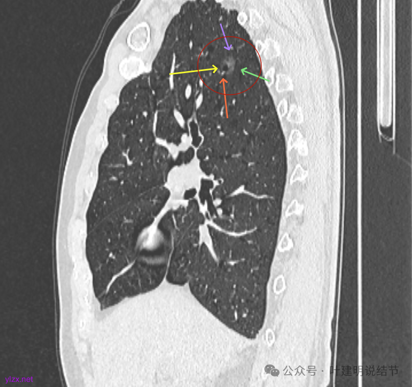
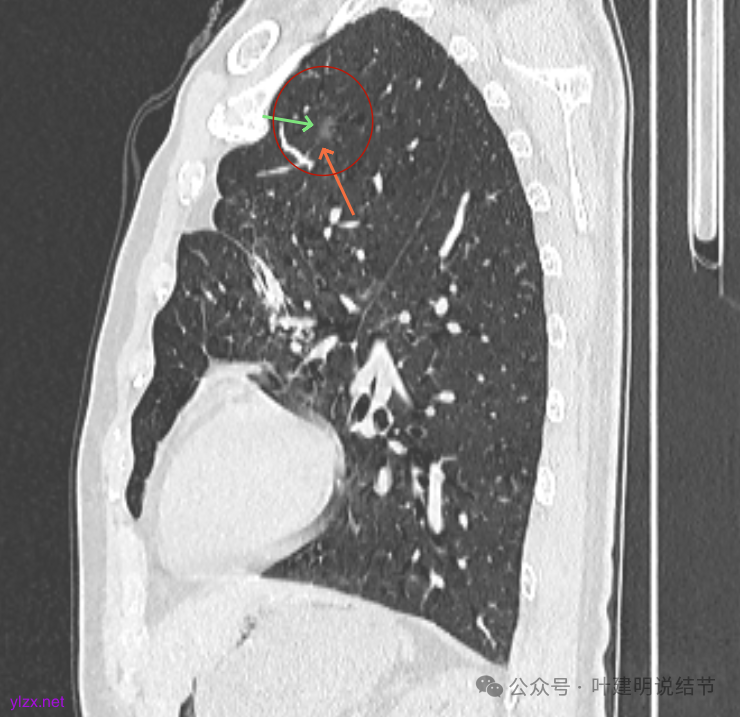
最后看2025年3月的连续层面的影像细节:

右上病灶淡磨密度,有空泡征,整体轮廓较清。

瘤肺边界清楚,空泡征明显。

表面不平,没有实性成分。灶内空泡有些像蜂窝状。

病灶边上有小血管走行,整体轮廓清,没有明显实性成分。

右上病灶淡而纯主要原因,空泡征明显。
左上病灶淡而纯,有微小血管进入。

右上淡磨,轮廓清,空泡明显。
左上的小而局部有细支气管扩张的样子,部分边缘显毛糙,有细毛刺样征。

右上叶病灶有血管贴边,轮廓清;
左上病灶纯磨,轮廓清。

右上淡磨,左下密度较右侧的稍不均一点。

右上冠状位显示病灶纯磨,血管进入穿行,灶内空泡征,表面毛刺征,没有明显实性成分。

左上病灶冠状位显示纯磨,部分连续细毛刺,灶内有扩张的细支气管似的,整体轮廓清。

矢状位见右上病灶也是纯磨,灶内的血管可见,表面部分有细毛刺,整体轮廓与边界清楚。

左上病灶矢状位见也是纯的,没有实性成分。
我的回复:
右肺尖磨玻璃结节持续存在,随访有所进展,中间伴空泡征,也有微小血管贴边以及进入,整体轮廓与边界清楚,要考虑是肿瘤范畴的,从影像来看目前大概是原位癌或微浸润性腺癌可能性大;左肺尖的也是磨玻璃密度的,不太纯,有少许偏实性成分,轮廓较清,边缘不光滑,也有小空泡,考虑是肿瘤范畴的,综合大小形态与密度来看,以不典型增生或原位癌可能性较大。由于两处目前风险均仍说不上多大,还是磨玻璃密度为主的,且左侧又已经手术过,个人倾向保守点,仍可9-12个月复查随访,如果随访进展并风险增加到该处理了,届时右侧可考虑单孔胸腔镜下楔形切除,左侧的稍倾向于消融处理。意见供参考!
感悟:
此例左侧原手术切除的,既然已经是原位伴微浸润,而且术前影像密度也不太纯,切了当然是正确的。但回头来看,若是原位癌伴微浸润,而且切了后左上也仍有病灶,右上也仍有病灶,似乎也没有起到太大的作用。同样,目前右上的病灶已经随访有所增大,似乎予以再手术处理也是合理的,但是否真的对机体带来正向的有益的作用?其实这仍是不一定的。多发结节的处理,我总认为几年前我提出的“与魔共舞、有限躺平、重点打击”的策略仍是合理的。关键是这重点打击的对象到了怎样的程度算是该打击了?现在不管各种指南或共识,总体上的意见多是纯磨随访是安全的,实性成分不超过25%时是几乎不会转移的(不是100%),若手术纯磨15毫米以上再切,或混合磨玻璃实性成分不超过25%时楔形切除是较为安全的。如果有办法切除后就确定不再长新的,那我也举双手赞成考虑恶性后早切,并一网打尽,但现在既不知道致病因素,也无法预防后面再长出新的,当已经是多发结节的情况下,病灶个数越多,当然以后再长新的概率越高,随访也是无奈之举。但决策的做出,是该考虑这些因素的。

