锁骨菱形窝——这个结构不要再误认为骨质破坏!
时间:2025-05-01 12:12:21 热度:37.1℃ 作者:网络
一、解剖
锁骨菱形窝是肋锁韧带(菱形韧带)在锁骨处的压迹,是一种较少见的解剖变异,位于锁骨胸骨端(内侧)下表面的凹陷,可见于单侧(更常见)或双侧。
锁骨菱形窝分型国外学者报道有较多的观点:Kaewma 等将锁骨菱形窝分为平滑型、扁平型、隆突型、凹陷型; Koudela 等分为平坦型、凹陷型、隆凸型。

肋锁韧带起于锁骨内侧端后、下缘韧带压迹,止于第 1 部分前肋和肋软骨上部或第 1 前肋软骨。其功能为增强胸锁关节后方的稳定性, 限制胸锁关节的上下及横向活动,防止锁骨脱位。肋锁韧带压迹固有的解剖位置为锁骨内侧端后、下缘,变异位置具有固定性。

二、影像特点
综合凹陷型锁骨菱形窝 CT 特征:
( 1 )发生于特定部位(锁骨内侧端关节面与病灶内侧缘最近点距离 2 cm 内的后下缘)的骨质缺损区。
( 2 )骨质缺损区形态呈“鱼钩征”或小圆形。
( 3 )骨质缺损区边缘硬化。
( 4 )缺损区内出现条状软组织灶(连接第 1 前肋与锁骨)。
以上特点是凹陷型锁骨菱形窝诊断依据,并且是鉴别其他病变的要点。

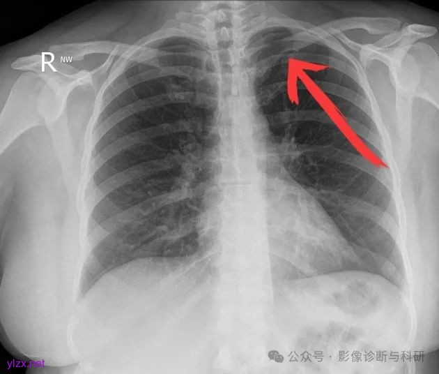
左侧锁骨菱形窝凹陷

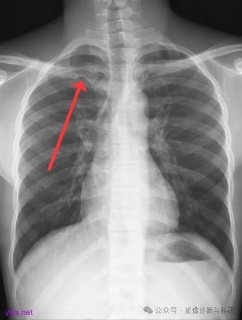
右侧锁骨菱形窝凹陷

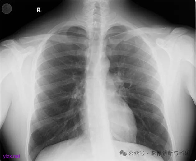
双侧锁骨胸骨端下表面有明显的菱形窝(凹陷型)

双侧菱形窝凹陷

双侧菱形窝凹陷,右侧为著

右锁骨菱形窝,19岁,男子,x线提示右锁骨骨质破坏,建议MRI。(a)X线图表显示了一个不规则的溶骨性病变,边缘硬化,累及锁骨内侧面(箭头)。锁骨后关节和锁骨近端的冠状(b)STIR和(c)T1-W MR图像显示锁骨内侧下表面的双侧病变,主要为低信号,与骨组织一致(箭头)。没有相关的软组织肿块。病变在右锁骨稍大。

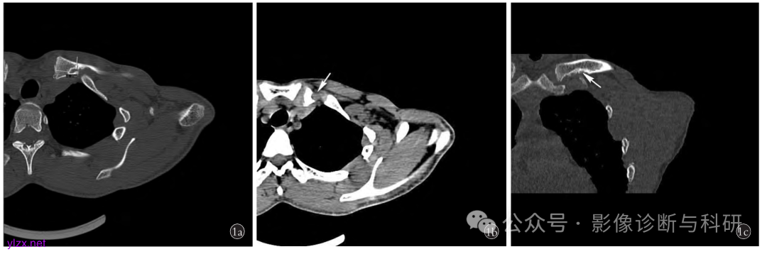
患者,男, 24 岁,锁骨棱形窝 1a. 横断位骨窗示左侧锁骨内侧可见类椭圆形骨质缺损区,锁骨内侧端关节面与病灶内侧缘最近点距离1.2 cm ,缺损区较大,边缘可见硬化,内侧端形态呈鱼钩样(箭头所示) 1b. 横断位软组织窗可见小条状软组织灶伸入(箭头所示) 1c. 冠状位骨窗示锁骨内侧端下缘骨质缺损,边缘硬化(来源于中国骨伤杂志)

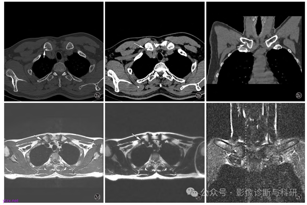
患者,男, 48 岁,锁骨棱形窝 2a , 2b , 2c. 右侧锁骨内侧端可见小圆形骨质缺损,边缘硬化,内侧端形态呈鱼钩样(箭头所示);横断位及冠状位软组织窗可见小条状软组织灶伸入(箭头所示) 2d , 2e , 2f. 分别为 T1WI 、 T2WI 、 T2WI 压脂图像:右侧锁骨内侧端可见小圆形骨质缺损,长T1 短 T2 信号, T2 压脂可见低信号边缘可见小点状高信号灶(来源于中国骨伤杂志)

40岁,女性,新近诊断为右乳癌,行F-18 FDG PET CT分期。显示右乳上内侧象限有 FDG 高代谢病变。此外,在锁骨中还发现了以下发现(白色箭头),代谢无增高,为菱形窝结构。
三、鉴别诊断:
( 1 )骨髓炎。骨髓炎临床上有红肿、热痛病史,早期表现为骨质破坏、死骨形成为主,中晚期以修复为主,表现为破坏周围骨质增生、硬化,可见骨膜增生。凹陷型锁骨菱形窝一般无临床症状,无骨质增生、死骨,无骨膜反应,骨质缺损区形态出现“鱼钩征”是典型表现,可与骨髓炎鉴别。
( 2 )非骨化性纤维瘤。非骨化性纤维瘤常局限于长骨的干骺端(发生于锁骨少见),部分位于皮质内,骨皮质膨胀变薄但存在,边缘可见硬化,临床上则有自愈倾向。凹陷型锁骨菱形窝为肋锁韧带牵拉、 撞击引起的骨质缺损,骨皮质大部分缺损且残端常变尖,“鱼钩征”是典型表现,临床上无自愈倾向。
( 3 )纤维性骨皮质缺损。纤维性骨皮质缺损为一种非肿瘤性纤维性病变,多见于儿童,病变 2~4 年内消失,多位于长骨干骺端,表现为皮质内的骨质缺损,缺损区主要有坚韧的纤维组织构成, 边缘硬化, 外侧皮质可完整或缺损,如不消失并继续扩大可发展为非骨化性纤维瘤。凹陷型锁骨菱形窝缺损区的骨皮质大部分缺如,残端常变尖,骨质缺损区形态出现“鱼钩征”是典型表现, 影像学发现缺损区内韧带样组织连接第 1 前肋。

