【衡道丨病例】病理诊断——左侧及峡部甲状腺乳头状癌合并间变性癌
时间:2025-04-28 12:09:12 热度:37.1℃ 作者:网络
病史
女性,80岁,因“发现左侧颈部包括6+年”入院。
辅助检查
甲状腺超声:甲状腺左侧叶囊实混合性结节,TI-RADS分类4b类。
组织病理活检
1、大体肉眼观:
左侧甲状腺及峡部:灰红组织一块,大小11.2x6.3x5.5cm,切面见一大小9x6x4cm肿块,肿块切面灰白灰褐质硬,与周围组织边界欠清。
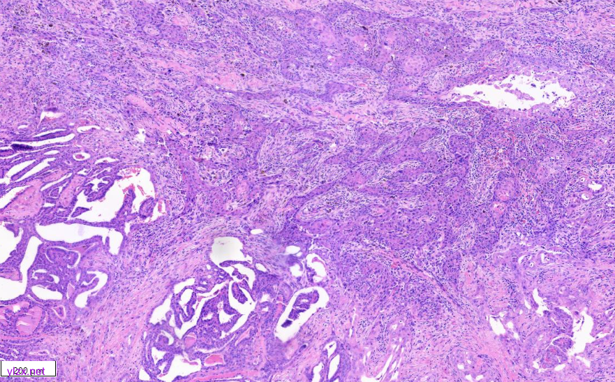
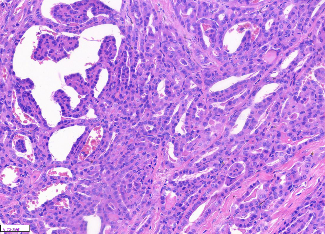
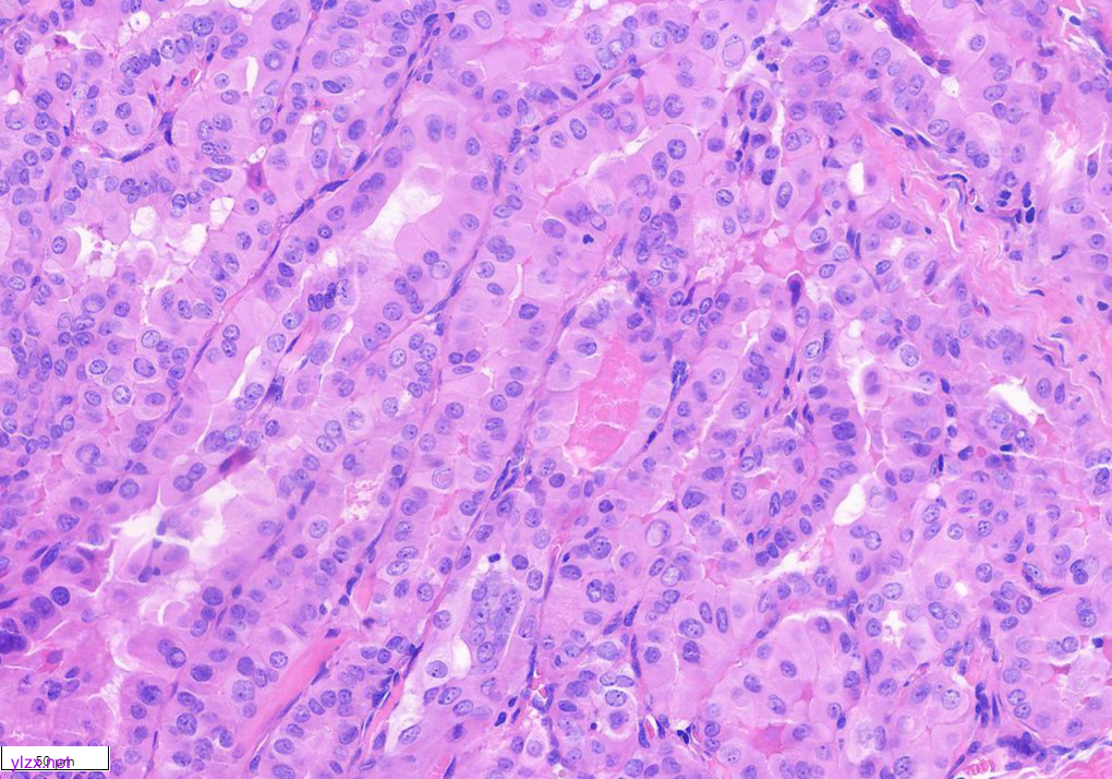
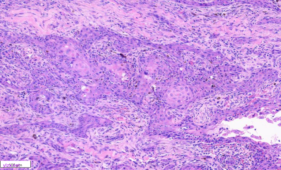
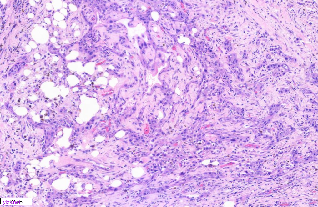
2、镜下观:(图1-图5)
低倍镜下甲状腺乳头状癌区域与间变性癌鳞状细胞样亚型区域分界清,(图1)。低倍镜下,可见甲状腺乳头状癌呈乳头状、片状、索状分布,间质硬化(图2)。20倍镜,肿瘤细胞排列呈“铁轨”样,细胞立方形,细胞质丰富,淡嗜酸,细胞核圆,大小一致,染色质粗,核位于基底,可见小核仁,核内假包含体(图3)。鳞癌样区域(HEx10)肿瘤细胞呈多边形,梭形、上皮样,胞浆嗜酸,可见不全角化,肿瘤细胞间见脂褐素,肿瘤细胞侵袭性强,浸润至周围脂肪组织(图4、图5)。

图1 低倍镜下,显示鳞癌区域核乳头状癌区域。

图2 显示经典型乳头状癌区域。

图3 显示高细胞亚型区域(HEx10)

图4 显示鳞癌区域(HEx4)

图5 显示肿瘤浸润至周围脂肪组织
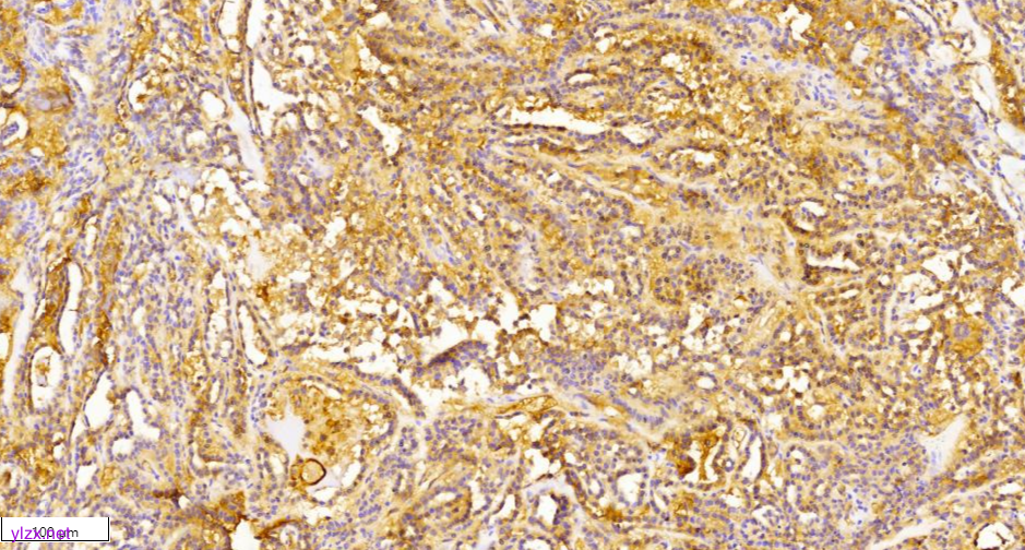
3、免疫组化:
乳头状癌区域:肿瘤细胞CK(+),Galecting-3(+)(图6),HBME-1(+),PAX-8(+),TG(+)(图7),TTF-1(+)(图8),CT(-) ,CK19(+),EMA(+),Vimentin(+),Ki-67(约10%+)。
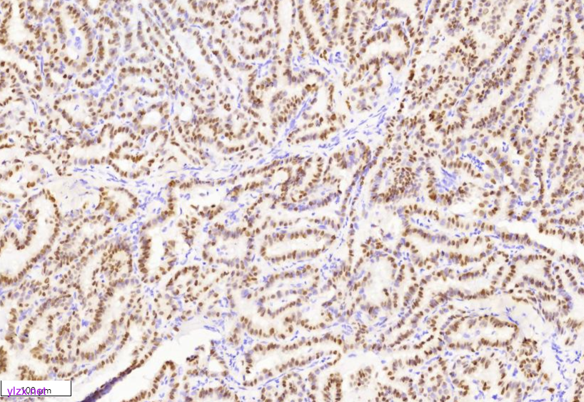
间变性癌区域:CK(+),TTF-1(+)(图9),P63(+),CK5/6(+),Galecting-3(-)(图10),P40(+)(图11),Vimentin(+),Ki-67(约40%+)

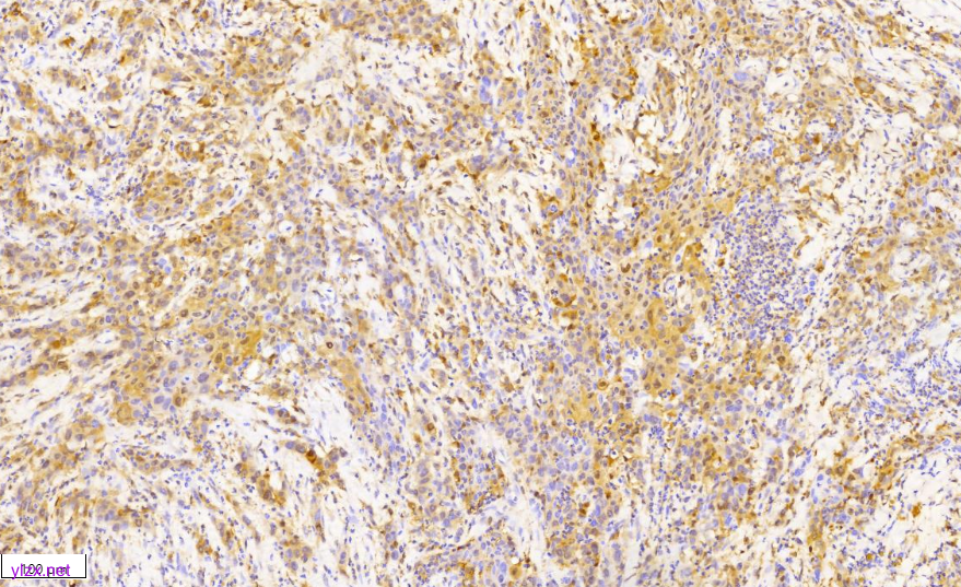
图6 甲状腺乳头状癌区域肿瘤细胞免疫组化Galectin-3(+)

图7 甲状腺乳头状癌区域肿瘤细胞免疫组化TG(+)

图8 甲状腺乳头状癌区域肿瘤细胞免疫组化TTF-1(+)

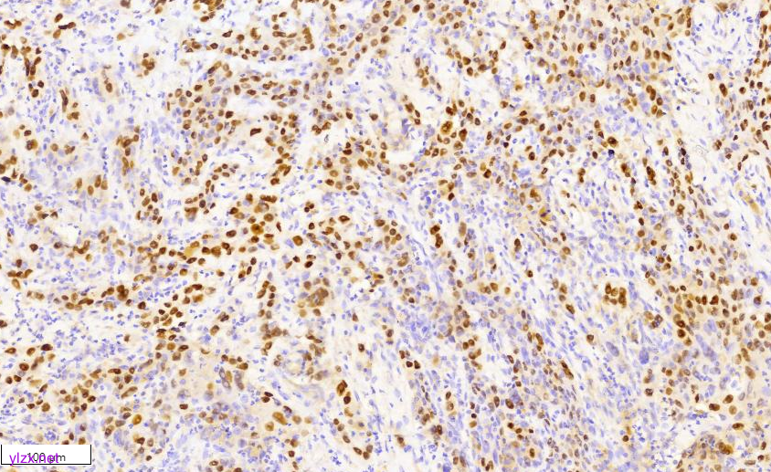
图9 鳞癌样区域肿瘤细胞免疫组化TTF-1(+)

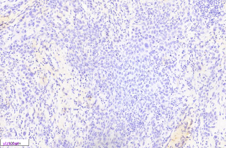
图10 鳞癌样区域肿瘤细胞Galectin-3免疫组化(-)

图11 鳞癌样区域肿瘤细胞P40(+)
病理诊断
(左侧甲状腺及峡部)甲状腺乳头状癌(经典型+高细胞亚型)合并间变性癌,鳞状细胞样型。
讨论
背景:
甲状腺乳头状癌(PTC)是最常见的甲状腺癌,其发病率逐年上升。PTC亚型包括经典型、高细胞型、柱状细胞型、鞋钉亚型、弥漫性硬化型和嗜酸细胞型。间变性甲状腺癌(ATC)是一种罕见但高致死率的甲状腺癌。间变性甲状腺癌在确诊后,通常被认为是第Ⅳ期肿瘤。ATC的主要细胞亚型包括肉瘤样细胞(即梭形细胞)和上皮细胞(即鳞状细胞),多形性巨细胞,罕见的变异包括少细胞、横纹肌样、破骨细胞、血管瘤样、淋巴上皮瘤样和小细胞。甲状腺鳞状细胞癌于2022年被WHO纳入未分化(间变性)甲状腺癌。未分化的意义是不形成滤泡、乳头甚至小梁状或巢状结构,但这种肿瘤在形态学和免疫组织化学水平上仍然保留明显的上皮特征。这种结构被称为鳞状细胞样(squamoid),可以混有明确的角化灶。
临床病理特征
1、临床特点
甲状腺乳头状癌主要发生在成人和儿童,预后良好,10年生存率超过90%,间变性甲状腺癌主要发生在老年女性患者中,中位总生存期为35个月,疾病特异性死亡率接近100%。ATC表现为迅速增大的颈部肿块,伴有呼吸困难、声音嘶哑和吞咽困难的急性症状。
2、影像学
超声提示为甲状腺内不均匀的低回声巨大肿块,形态不规则,边界不清。FDG-PET也可以提供更有效和全面的手段来筛查转移或开始治疗后的随访。
3、病理学特征
大体观:
乳头状癌直径多在2-3cm,切面灰白灰褐,界限较清。间变性癌中位大小为6.8 cm(范围:0.5 ~ 25 cm)。肿物切面多灰黄、质中,局部见出血坏死,部分见胸膜凹陷。
镜下观:
甲状腺乳头状癌区域与鳞状细胞癌区域界限较清,乳头状癌区域见两种亚型,一种为经典型,肿瘤细胞排列呈乳头状,细胞立方状,胞浆丰富,嗜伊红,细胞核大,呈磨玻璃样,核沟,核内假包涵体。另一种为高细胞亚型,特征是肿瘤细胞高度是宽度的2-3倍,胞浆嗜酸,细胞核的特征与经典型PTC相同。间变性癌鳞状细胞样型细胞呈上皮样,胞质丰富,嗜酸性,可见角化,侵袭性强,浸润至周围脂肪组织。
免疫表型:
间变性癌的区域:Ki-67> 30%是必要的。AE1/AE3和PAX-8染色常呈阳性。甲状腺转录因子1 (TTF-1)和甲状腺球蛋白的染色通常为阴性。乳头状癌区域Ki-67通常低,10%以下,AE1/AE3、PAX-8、TTF-1通常阳性。TP53和BRAF可以快速的识别分子谱。
分子遗传学:
BRAF和RAS是最常见的“早期”突变,TP53和端粒酶逆转录酶(pTERT)启动子是最常见的“晚期”突变。BRAFV600E是乳头状甲状腺癌(PTC)中最常见的突变。可40-50%的间变性癌也可出现。在ATC中,也可能发现NTRK、RET和ALK融合。
鉴别诊断
鉴于本病例诊断甲状腺乳头状癌合并间变性癌(鳞状细胞亚型),尤其是间变性癌在病理诊断中需与以下肿瘤进行鉴别:
1、鳞状细胞癌转移:
常见部位是头颈部和肺,结合病史以及相关辅助检查,间变性癌鳞状细胞样亚型免疫组化PAX-8阳性表达,而在头颈部和肺原发的鳞状细胞癌,PAX-8不表达。在分子水平上,间变性癌鳞状细胞样亚型常见BRAF V600E突变,头颈部SCC和肺的SCC未见BRAF V600E突变。
2、甲状腺内胸腺癌:
与胸腺癌类似,免疫组化CD5、CD117常阳性。
3、低分化癌:
呈实性、岛状及小梁状生长,肿瘤细胞通常小而一致,免疫组化 TTF-1、TG阳性有助于鉴别。
治疗及预后
对ATC的治疗方式:
一旦确诊应采用多模式治疗方式,手术+放疗或手术+放疗+全身治疗。
预后:年龄是影响预后的重要因素,年龄<60岁的患者预后最佳。其他有利的基线预后因素可能包括肿瘤大小(<5cm)、既往或共存分化型甲状腺癌,女性、白细胞高,ATC细胞亚型,如鳞状细胞比横纹肌样预后较好。
参考文献
1、Haroon Al Rasheed MR, Xu B. Molecular Alterations in Thyroid Carcinoma. Surg Pathol Clin. 2019 Dec;12(4):921-930. doi: 10.1016/j.path.2019.08.002. Epub 2019 Sep 27. PMID: 31672298; PMCID: PMC6883923.
2、Rao SN, Smallridge RC. Anaplastic thyroid cancer: An update. Best Pract Res Clin Endocrinol Metab. 2023 Jan;37(1):101678. doi: 10.1016/j.beem.2022.101678. Epub 2022 May 27. PMID: 35668021.
3、Toyran T, Inceman M, Erdogan K, Kücükosmanoglu A, Ekici NY, Ugu AH. The rare combination of low-grade thyroid-like nasopharyngeal papillary adenocarcinoma and squamous cell carcinoma: a case report and literature review. Pol J Pathol. 2022;73(4):359-363. doi: 10.5114/pjp.2022.125569. PMID: 36946273.
4、郑国娜1 ,李冰洁1 ,王凤暖2 ,杜 倩1 ,师雅斌1 ,刘 阳1 ,赵焕芬1,甲状腺间变性癌 《9例临床病理学分析》

