问诊反馈:“北京上海的医生都是骗子,骗我手术”!这话,可不能这么讲,但自己要多学习肺结节知识倒是真的
时间:2025-04-26 12:11:57 热度:37.1℃ 作者:网络
前段时间有位之前问诊过的结友加过微信的,突然发来段话说:“叶主任是中国看肺结节最好的专家,北京上海都骗子,骗我手术!”。这话说得云里雾里的,当然更不可能真实情况就如他说的这样。何出此言呢?交流之后才知道,之前向我问诊过,我告诉他主病灶考虑不典型增生或原位癌,建议其6-12个月复查就可以,以后有进展并风险增加再干预。但上海北京的专家都告诉他考虑微浸润性腺癌,建议尽快手术。结果做了肺段切除加楔形切除,花了8.8万,病理出来真的就是不典型增生与肺泡上皮增生而已。还说他有个同事的父亲左下叶结节都说是肺癌,切了下叶,结果是病理是炎症。

我们先来看看后面再请他发给我的术前影像:
结友男性,41岁,具体病史记不得了,下面是请他重新发我的术前CT报告中截图的影像。

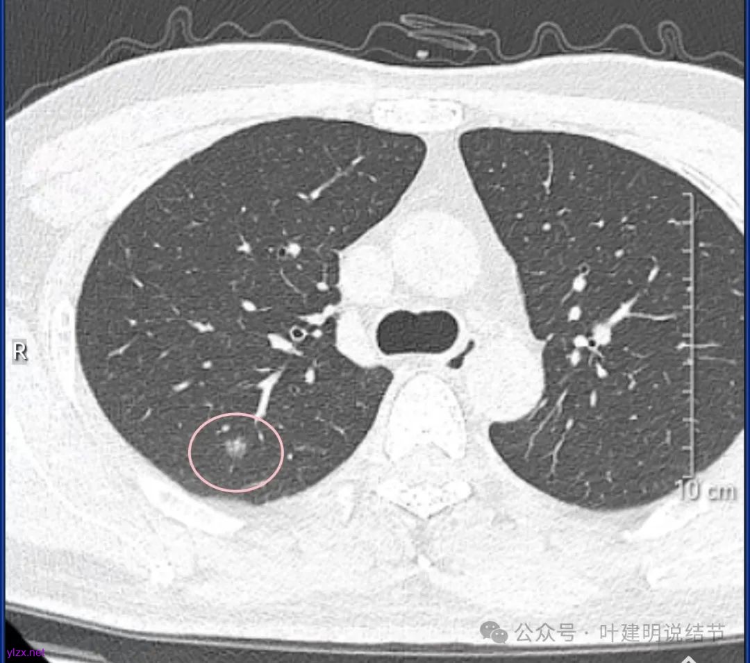
主病灶位于右上叶后段(与尖段交界附近,也可能是尖段的,需要三维重建明确),磨玻璃密度,灶内点状偏高密度,整体轮廓与边界清楚。

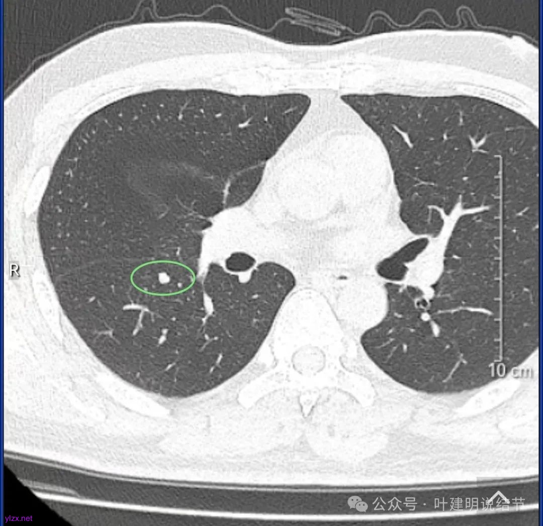
下叶背段有一实性结节,但没有找到其他磨玻璃结节。可以反馈的术后病理说下叶楔形切除了有个结节是肺泡上皮增生。大概不会是这处实性的,可能是很淡的,不容易找到的一处结节。算了,不管它。也不知道这处实性的有没有处理,还是不需要处理。

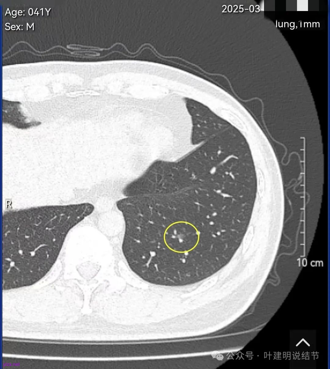
左下叶基底段淡磨玻璃结节,轮廓与边界清楚,考虑肺泡上皮增生可能性大。

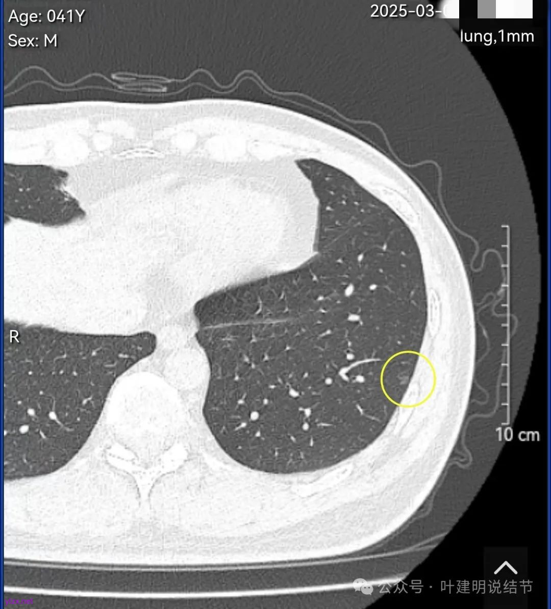
左下叶胸膜下很淡但边缘不光滑的磨玻璃结节,考虑肺泡上皮增生可能性大,或者肺泡间隔增宽。
下面是结友后来发给我的,说我当时给他的意见:

从我的意见中来看,应该当时提供了不同时间的影像,而且对比了以后是较之前“似乎略显明显了点”,但仍说不上“明显进展”。


我觉得仍可随访,由于我认为风险仍不大,虽然是肿瘤范畴的,但没那么急手术。但奈何人微言轻,上海三家大医院都说微浸润性腺癌,要立即手术,肯定相信上海呀!大概北京也看过。
感悟:
其实结友事后这样的想法与态度也是不对的:1、主病灶已经切除,既明确了诊断,了去除了危险;2、影像的判断本身就有交叉,我之前分享过不典型增生、原位癌、微浸润性腺癌以及浸润性腺癌都可以表现类似的磨玻璃结节,所以病理才是金标准,如果切了是浸润性癌了,而当时听我随访,或许又要骂我了;3、肺段切除还是楔形切除都是符合指南与共识精神的,只是医生的理念观念不同,没有错误;4、北京上海的医生当然不是骗子,而且水平是很高的。我也不可能是看肺结节最好的医生,只是我们病人不是那么多,能仔细再仔细点而已;5:我觉得自己我的以下理念是值得结友们了解并结合自身情况来权衡是否手术的:(1)不要太在意最后的病理结果是什么,而是从风险角度来考虑是否应该干预了。而风险的高低最关键的是随访有无进展,以及单次影像有无实性成分;(2)磨玻璃肺癌不同于传统肺癌,观察窗口其长,生物学行为惰性,不必急着干预处理;(3)磨玻璃肺癌多发很常见、致病因素未知,过早的干预并不能解决后续再长新的病灶的问题;(4)磨玻璃肺癌即便要干预了,按目前的认知,一是手术仍是首选;二是能楔不段,能段不叶,必叶延迟;(5)肺癌之所以术后病理分期早期仍有复发转移,以及肿块很大仍可能不复发,是因为有“真早期”与“伪早期”之分。所以为了所谓更彻底多切并不一定是正确的;(6)一网打尽的临床决策肯定会被证明是不对的,因为多原发肺癌的机体内环境没有变,导致肿瘤发生的因素未知也没有去除,能长三、四处,再长第五处,第六处,第N处的概率是大的。抓大放小是目前医疗手段有限情况下虽不得已但却是更为理性的策略。

