Eur Heart J 上海交通大学医学院心血管病研究所/瑞金医院陆林/代杨团队揭示巨噬细胞核受体Dax1在动脉粥样硬化中的作用
时间:2025-04-25 12:09:04 热度:37.1℃ 作者:网络
动脉粥样硬化是由脂质代谢紊乱和慢性炎症共同驱动的心血管疾病,巨噬细胞在其中发挥关键作用。核受体家族参与调控脂代谢、自噬与炎症等多种生物学过程,在动脉粥样硬化的发病机制中具有重要意义。
2025年4月22日,上海交通大学医学院心血管病研究所/瑞金医院心内科陆林/代杨团队在European Heart Journal杂志在线发表题为“Nuclear receptor Dax1 promotes atherosclerosis by lipid transport inhibition and autophagy suppression in macrophages”的研究论文,揭示了巨噬细胞核受体Dax1在动脉粥样硬化中的关键调控作用。

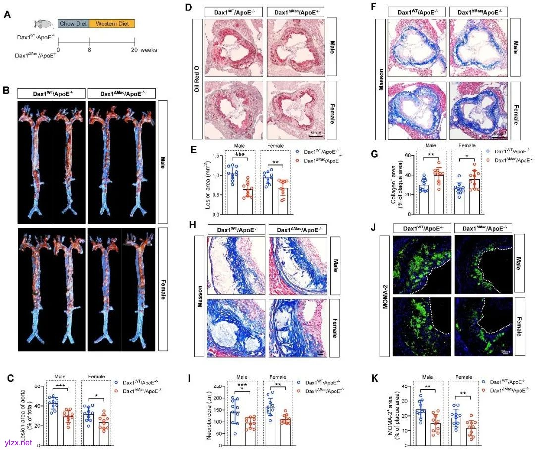
研究团队通过比较动脉粥样硬化与非动脉粥样硬化血管组织中的核受体表达谱,发现NR0B1(编码Dax1的基因)在动脉粥样硬化组织中的表达显著上调。组织学免疫染色显示,Dax1主要在动脉粥样硬化斑块中的巨噬细胞内表达。为了探究Dax1在动脉粥样硬化中的作用,研究者构建了巨噬细胞Dax1特异性敲除(Dax1ΔMac)动脉粥样硬化小鼠模型(AAV8-PCSK9造模),以及巨噬细胞Dax1与ApoE的双基因敲除(Dax1ΔMac/ApoE-/-)动脉粥样硬化小鼠模型。结果显示,巨噬细胞Dax1缺失能显著减轻主动脉斑块面积,改善斑块稳定性。

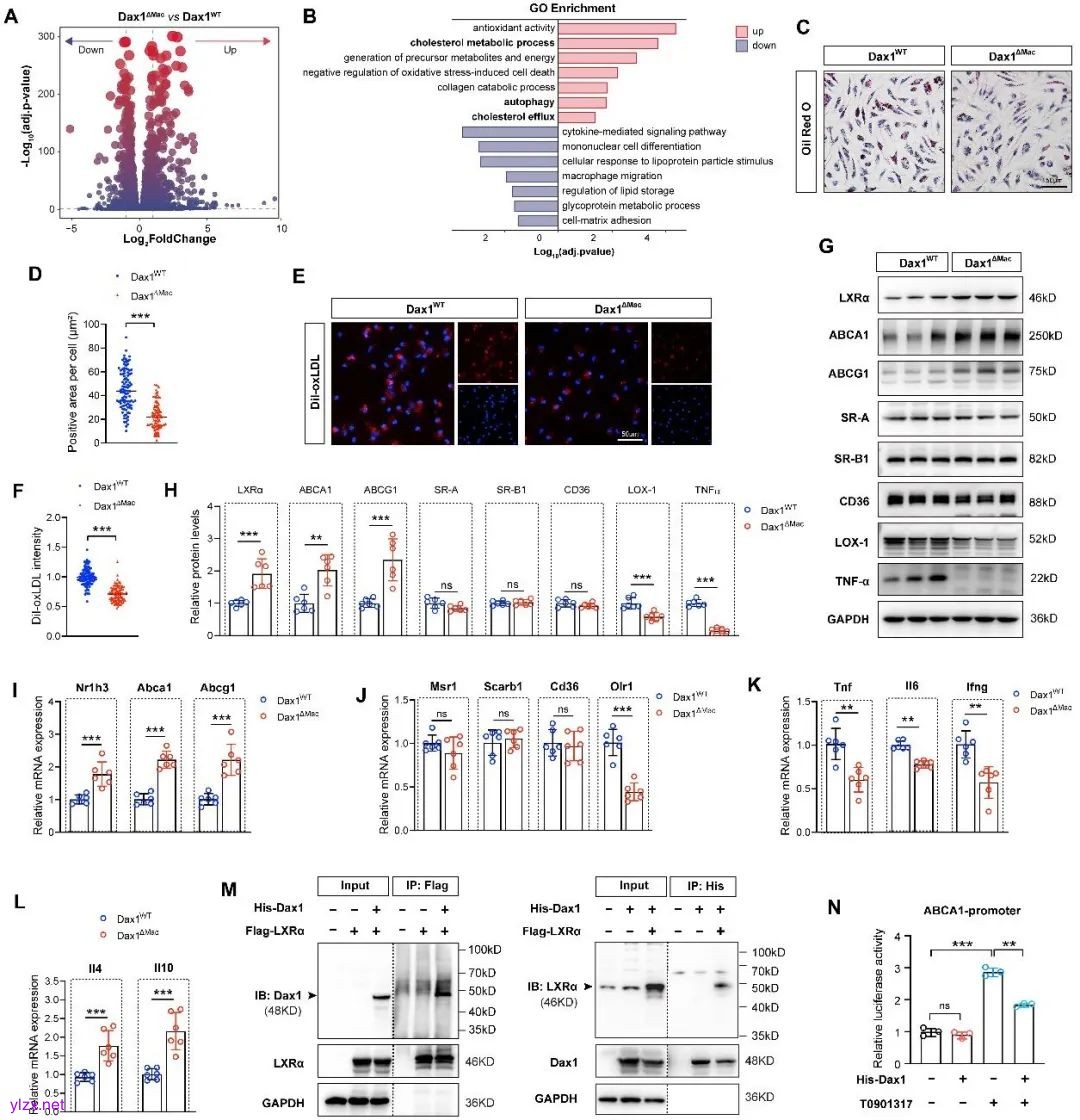
为了阐明Dax1促进动脉粥样硬化的机制,研究者对Dax1ΔMac小鼠和对照组(Dax1WT)小鼠的腹腔巨噬细胞进行了RNA测序。GO分析显示,差异基因在自噬和胆固醇代谢相关通路中富集。体外实验结果表明,Dax1敲除的巨噬细胞中脂质沉积减少,胆固醇转运相关蛋白ABCA1/G1的表达增加,炎症因子TNF-α水平降低。免疫共沉淀和双荧光报告基因实验证实Dax1可与肝X受体α(LXRα)结合,并抑制LXRα靶基因ABCA1的转录活性。结合文献报道,该研究确认了Dax1作为共抑制因子,损害LXRα介导的胆固醇转运。

研究还发现,Dax1敲除的巨噬细胞自噬水平增加。研究者利用免疫沉淀联合质谱分析,鉴定到参与自噬调控的关键转录因子TFEB为Dax1的互作蛋白。通过截短突变实验,确认Dax1的BOX2结构域是其与TFEB结合的关键区域。上述结果表明,Dax1通过抑制巨噬细胞自噬和胆固醇转运,促进泡沫细胞形成,诱导动脉粥样硬化的发生,提示Dax1可能成为潜在治疗靶点。

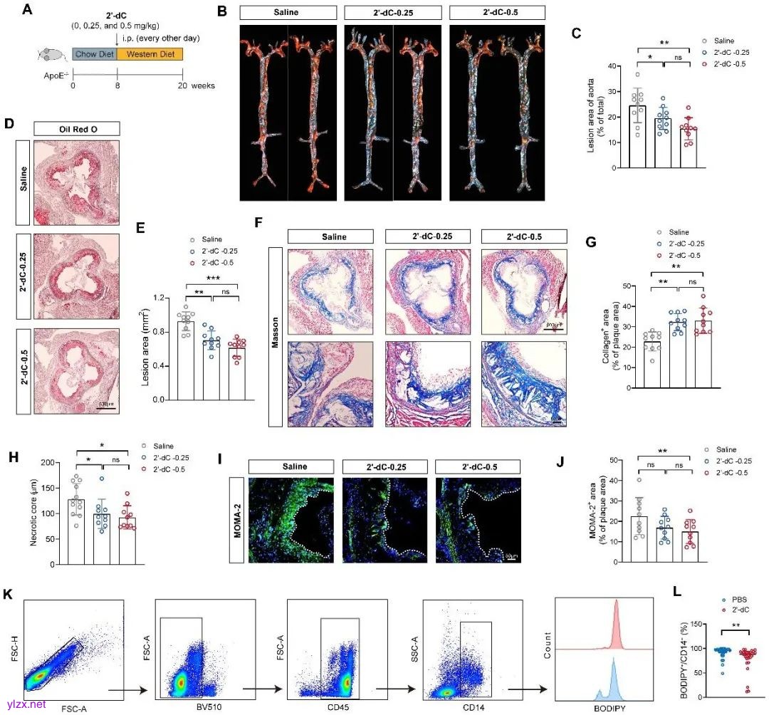
最后,研究者发现小分子药物2'-deoxycytidine可通过抑制Dax1表达,改善ApoE-/-小鼠动脉粥样硬化斑块形成,具有较好的转化潜力。

综上所述,该研究揭示了核受体Dax1在动脉粥样硬化中的作用及机制,为该疾病的治疗提供新的靶点和策略。

上海交通大学医学院心血管病研究所/瑞金医院心内科陆林主任医师和代杨副研究员为论文的共同通讯作者,李菲菲博士后和王逸轩博士为论文的共同第一作者。该研究工作得到国家自然科学基金项目的资助。
原文链接:
https://doi.org/10.1093/eurheartj/ehaf241

