从走路“内八字”到不能站立,她的怪病,竟源于一种罕见基因突变!
时间:2025-04-23 12:14:12 热度:37.1℃ 作者:网络
13岁的明明(化名)从小活泼健康,直到3岁那年,家人发现他走路有点奇怪——足尖着地、呈“内八字”。刚开始大家并没在意,可随着年龄增长,他的步态越来越不稳,平衡感差,甚至摔倒不断。5岁时症状明显加重,家人带他四处求医,血检、影像检查做了一轮又一轮,却始终查不出问题。8岁那年,他已经无法独立行走,只能靠辅助车代步,后来甚至连腿都抬不起来,坐上了轮椅,还反复发热,让家长心急如焚。
辗转多年后,家人终于来到了省医院的免疫科。接诊医师细致梳理10年病史后,明明的病症终于真相大白。
真相大白
接诊医生详细了解了患儿的病史、临床表现及检查结果,仔细查看了孩子的病情,从这10年的病史中抽丝剥茧。根据孩子双下肢肌力降低、皮疹、颅内钙化等表现,结合患儿IFIH1基因突变的致病性分析,均可用IFIH1基因突变导致的AGS综合征来解释。
明明的临床表现与大多数AGS综合征表现有区别,这是一种1型干扰素病,非常罕见,是1型干扰素水平异常增高所致的一种自身炎症性疾病。

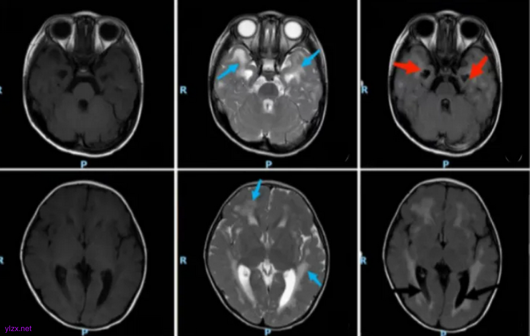
患者头颅MRI
一种罕见的早发性遗传性疾病
AGS综合征,即Aicardi-Goutières综合征。于1984年由 Aicardi和Goutières 首先提出,是一种罕见的以神经系统及皮肤受累为主的早发性遗传性疾病。根据其致病基因不同,分为9型,多为常染色体隐性遗传,但部分为常染色体显性遗传。
AGS7型是Rice等2014年提出的一种新类型,其致病基因为IFIH1(干扰素诱导的解旋酶C结构域包含蛋白1),功能获得性突变可导致AGS7型,占总AGS患病人数的7%。
临床表现
AGS综合征神经系统表现为:颅内多发钙化灶、脑白质病变、脑脊液慢性淋巴细胞增多。

皮肤表现为典型的冻疮样皮疹(A图),少见的有荨麻疹(B图)、雀斑样(C图)、弥漫性银屑病及网状青斑(D图)等。

其他还有:自身免疫、自身炎症、颅底血管异常或颅内大血管炎、血细胞减少、肝酶升高、甲状腺功能异常等多种临床表现。
治疗
文献报道AGS7型的治疗较少,该病的发病机制为I型IFN相关疾病,应用JAK抑制剂治疗对于本病有一定的疗效,但不能完全改善本病的症状,与文献报道的巴瑞替尼治疗本病对神经系统的进展无影响相符。
近期有报道,因患儿炎症指标持续升高,白细胞介素-6水平升高,故应用托珠单抗治疗,可减轻本病的炎症状态。
参考资料:
1.赵敏,舒洲,韩彤昕,等.IFIH1基因突变致Aicardi-Goutières综合征7型1例并文献复习[J].罕见病研究,2024,3(04):453-460.
2.王伟,全美盈,王薇,等.IFIH1基因突变致Aicardi-Goutières综合征7型1例并文献复习[J].中国循证儿科杂志,2021,16(01):61-65.3.
3.高在芬,贺晶,史建国,等.Aicardi-Goutières综合征一例[J].癫痫杂志,2019,5(02):88-93.

