Nature Biotechnology:新型脑类器官模型成功加速人类星形胶质细胞生成
时间:2025-04-23 12:10:57 热度:37.1℃ 作者:网络
星形胶质细胞是人脑中最丰富的神经胶质细胞类型,其功能障碍与许多神经系统疾病有关。然而,由于大脑环境中可接近的人类星形胶质细胞稀缺,我们阐明星形胶质细胞在大脑发育和脑部疾病发病机制中的作用的能力受到了限制。脑类器官模型已成为研究人脑发育和疾病的宝贵工具,因为它们表现出自组织特性,概括了发育中人脑的某些方面。尽管如此,目前的皮质脑类器官系统在有效生成星形胶质细胞方面存在局限性,主要是由于祖细胞获得神经胶质细胞能力所需的时间延长。在人类皮质类器官系统中,星形胶质细胞发生在分化 3 个月时逐渐开始,并经历持续一年多的成熟过程。通过瞬时过表达关键的胶质细胞生成因子或通过触发具有一组特定模式因子的胶质生成转换,加速星形胶质细胞从人诱导多能干细胞 (hiPSC) 分化的尝试已显示出前景。然而,目前尚不清楚这些模式因子是否可以成功地应用于皮质类器官模式化范式以产生富含神经胶质细胞的皮质类器官。
体外培养的细胞或类器官也缺乏血液循环和大脑的皮质组织。大脑是一个高度血管化的器官,与体循环有关。星形胶质细胞投射在血管周围形成神经胶质限制体,调节大脑和循环之间的通讯并维持大脑稳态。将人脑类器官移植到啮齿动物大脑中,可以在体内成功生存、整合和形成人脑类器官的功能回路。
1月21日,美国加利福尼亚州拉霍亚索尔克生物研究所Fred H Gage在Nature Biotechnology(IF=33.1)上在线发表了题为“移植到小鼠大脑中富含神经胶质细胞的皮质类器官中人类星形胶质细胞的形态多样化和功能成熟”的研究,提出了一种富含神经胶质细胞的皮质类器官模型,可促进加速星形胶质细胞生成。

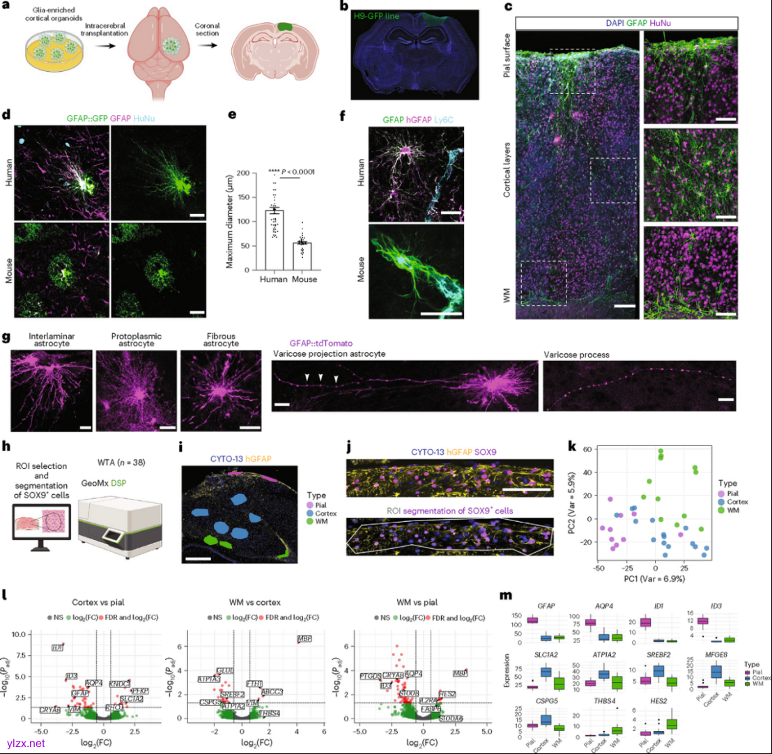
研究通过在分化 3 周时触发类器官中 28-33% 的细胞的胶质发生开关,在分化 8-10 周时实现了占细胞群 25-31% 的星形胶质细胞的有效衍生。为了研究大脑环境中的星形胶质细胞功能,使用脑内移植方法,该方法产生了高度血管化的体内脑类器官。类器官移植显示出与宿主大脑的稳健整合,并开发了解剖学上定义的人类星形胶质细胞形态亚类。空间基因组学进一步揭示了人类星形胶质细胞不同亚类之间的层特异性分子特征。血管周围星形胶质细胞终足的形成,包裹移植物内的血管。使用单核 RNA 测序,发现与皮质类器官移植相比,类器官移植中星形胶质细胞成熟提前。在急性神经炎症的体内模型中,与急性反应性相关的差异表达基因在星形胶质细胞亚群中表现出显着的异质性。

图 1.人星形胶质细胞在体内形成解剖学定义的形态学亚类
虽然脑类器官模型可用于研究人类神经发育和神经系统疾病,但此类模型中的星形胶质细胞功能研究仍然有限。这部分是由于人类神经胶质生成起病较晚,这在皮质类器官模型中得到了概括。在含有胶质生成因子的培养基中长时间培养神经祖细胞或重复传代可赋予胶质生成能力,但消除神经源性电位。在这项研究中证明,通过添加胶质生成因子 PDGF-AA 和星形胶质细胞支持培养基3周来诱导胶质细胞生成开关成功地在大部分细胞中加速星形胶质细胞生成,同时保留大多数细胞的神经源性电位。在这种情况下,类器官模型不仅在与先前报道的2D星形胶质细胞分化方案相当的时间窗口内有效地产生星形胶质细胞,而且还产生了其他脑细胞类型,包括皮质兴奋性神经元、抑制性神经元和少突胶质细胞祖细胞。此外,转录组学分析显示,当移植到啮齿动物皮层中时,与来自皮质类器官的星形胶质细胞相比,在模型中产生的星形胶质细胞表现出更强的成熟度。因此,类器官模型为研究人类星形胶质细胞在神经发育和神经系统疾病中的功能提供了机会。
人类星形胶质细胞复杂性与成人大脑功能能力的提高相关。在人脑中,星形胶质细胞根据皮质层表现出显着的形态多样性,并形成解剖学定义的亚类。尽管人类神经胶质祖细胞的新生儿植入允许人类神经胶质细胞在宿主大脑中逐渐扩增,但据我们所知,它在完全再现在人脑中观察到的形态复杂性方面仍然受到限制。值得注意的是,模型能够产生原始人特异性的曲张星形胶质细胞,这是在以前的模型中没有观察到的特征。研究还通过空间转录组分析揭示了星形胶质细胞中层特异性表达模式的多样化。移植物中的软脑膜层间星形胶质细胞表达许多星形胶质细胞标志物,包括 GFAP、S100B、CD44 和 AQP4,并且与皮质星形胶质细胞相比,GFAP、AQP4、ID1 和 ID3 的表达增加,类似于在小鼠中观察到的软膜下星形胶质细胞的表达谱和在人类中观察到的层间星形胶质细胞。相比之下,皮质原生质星形胶质细胞显示出参与调节胆固醇生物合成、突触形成和突触活性的基因上调,而纤维星形胶质细胞表达参与髓鞘形成起始的基因。这些发现有助于理解控制皮质结构内星形胶质细胞空间组织的独特分子过程。
模型还提供了一个平台来研究神经炎症和疾病进展过程中的星形胶质细胞功能。先前认为星形胶质细胞反应性是对组织损伤的统一反应的概念受到越来越多的证据表明星形胶质细胞是多种细胞群的挑战。研究结果表明,与体内急性星形胶质细胞反应性相关的转录变化在人类星形胶质细胞亚群中具有高度异质性。结果还证明,炎症诱导的代谢和线粒体应激可以通过抑制 CD38 的环化酶/水解酶活性来缓解,CD38 是一种在星形胶质细胞亚群中表达的主要 NADase ,并在响应 TNFα 治疗时上调。
因此,该模型提供了一个平台,可以在生理条件下询问细胞功能,否则在其他模型中很难研究,并为治疗人脑疾病的药物发现提供信息。
原始出处:
Morphological diversification and functional maturation of human astrocytes in glia-enriched cortical organoid transplanted in mouse brain. Nat Biotechnol. 2025 Jan;43(1):52-62. doi: 10.1038/s41587-024-02157-8. Epub 2024 Feb 28. PMID: 38418648; PMCID: PMC11349933.

