学龄儿童锁骨中段骨折两种非手术治疗方法的影像学结局:“8”字绷带法与手臂吊带法之间无差异
时间:2025-04-21 12:09:27 热度:37.1℃ 作者:网络
锁骨骨折是儿童时期最常见的骨折类型之一,在这个年龄组中发病率高达15%。它们最常发生于锁骨中段区域。由于骨膜较厚,大多数儿童的锁骨骨折为无移位或轻度移位,可通过非手术治疗得到有效处理。 此外,女孩在9岁、男孩在12岁时,80%的锁骨生长已完成,这意味着年龄较小的儿童重塑能力更强。因此,保守治疗是小儿锁骨骨折的首选治疗方法。然而,关于青少年锁骨骨折的治疗方法仍存在争议。由于到了青少年时期,锁骨生长在很大程度上已完成,其重塑的潜力降低,这使得一些研究认为手术治疗对青少年可能更为有益。尽管保守治疗广泛应用于锁骨骨折,但文献中关于最佳治疗方法的证据有限。两种最常用的传统方法是“8”字绷带法和手臂吊带法。在一项针对成年人比较这两种方法的随机对照试验中,研究人员发现,对于锁骨骨折,手臂吊带在疼痛控制方面效果更好,且更易于使用。相反,一项针对儿童的研究表明,“8”字绷带可能是更适合儿童的选择。本研究的目的是比较“8”字绷带法和手臂吊带法在治疗学龄儿童锁骨中段骨折时的影像学结局。本研究基于两种治疗方法之间无差异这一假设展开。

方法:根据患者偏好的保守治疗方法将其分为两组:第1组(手臂吊带组)和第2组(“8”字绷带组)。在初次就诊时和随访期间测量骨折的成角程度和短缩程度。比较两组患者的人口统计学特征和影像学数据。

患者流程图

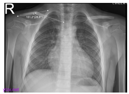
锁骨角度测量示例。通过测量穿过骨折锁骨髓质中点的线之间的角度来确定角度。

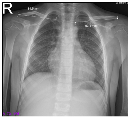
锁骨缩短测量示例。缩短量是通过从对侧未受伤锁骨的长度中减去骨折锁骨的长度(93.4-84.5=8.9 mm)来测量的。缩短百分比是通过将缩短量除以对侧未受伤锁骨的长度来确定的(8.9/93.4 x 100=9.53%)。

各组比较

罗宾逊患者分类

组间比较

