过度医疗:是不是有些医生同道是个结节都建议手术?也是,再不开病灶就要吸收光了!
时间:2025-04-17 12:10:31 热度:37.1℃ 作者:网络
有些同道,真的没法说,肺结节一看就像炎性的,而且复查都变淡了,实性成分都变少了,还说建议开刀,告诉结友说像恶性!这不错的离大谱了嘛。
病史信息:
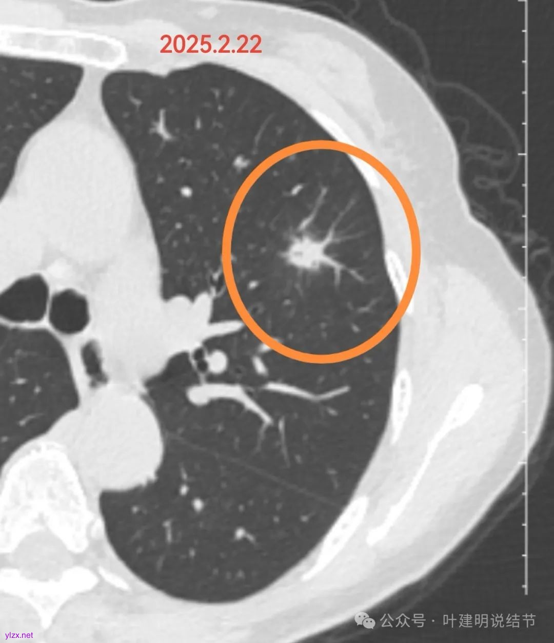
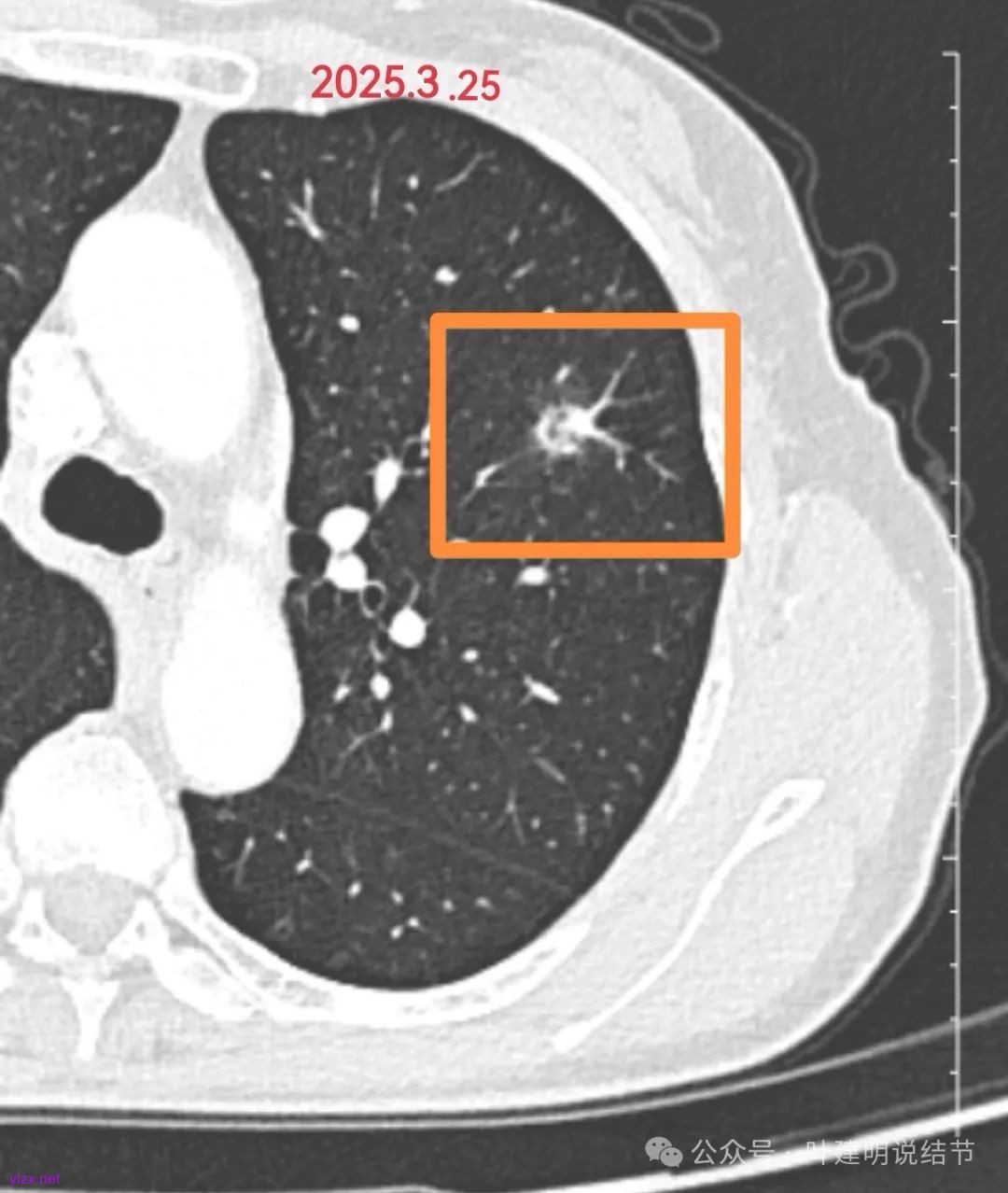
患者自述2024年7月右肾透明细胞癌,肾部分切除,核分级1-2。2024年9月复查无异常,9-10月使用白介素一个月。2025年2月复查,发现肺部新增结节,使用白介素一个月,同时,口服头孢两周。2025年3月增强ct,结节大小没变,实性成分变小。为求进一步诊治来院咨询。
曾就诊医院:某医科大学第四医院
影像展示和分析:

左肺上叶混合磨玻璃密度结节,大部分实性,边缘模糊,灶内不是很致密,边上有血管。关键是2024年9月同样位置没有任何异常。这个病灶首先要考虑感染性,给予口服消炎治疗并复查当然是非常合理的。

上图是2025年3月复查的,大约一个月的时间,病灶密度明显减低,中间出现了空泡样的影像。说明病灶已经明显吸收好转,是没有完全吸收光而已。
我的意见:

结友反馈;

居然有好几个医生都说看着不好?建议立刻手术?也确实,再不立刻手术,病灶吸收光了就找不到了!我不知道建议手术的这些同道是水平真的太差,还是良心太坏,多么希望只是前者呀!

