急诊术中闭塞的PL分支远端造影剂外漏,明胶颗粒封堵
时间:2025-04-16 12:08:48 热度:37.1℃ 作者:网络
PL分支远端造影剂外漏
病例资料
患者女性,65岁,因胸痛2小时急诊入院。
现病史:2小时前患者在家中休息时突发胸痛,呈压榨性疼痛,伴胸闷、头晕、出汗,随后出现意识障碍,呼之不应,约5分钟后转醒,醒后感牙痛,仍感胸闷、胸痛、头晕、乏力、气短,恶心、呕吐数次,无肢体功能障碍。
既往有脑梗死病史4年、高血压病史4年,口服降压药及血压控制情况不详;2年前于院外行股静脉滤网置入治疗。
无吸烟及饮酒史。
入院检查
入院查体:
心率44次/分,血压80/44mmHg。
急性病容,面色苍白,全身汗湿。
双肺闻及湿性啰音。
心率44次/分,心音低钝,各瓣膜听诊区未闻及杂音。
急诊心电图:

心梗三项:
TnI 0.0221ng/ml
CK-MB 2.02ng/ml
Myo 65.7ng/ml ↑
D-二聚体 0.6925μg/ml ↑
入院诊断
冠心病
急性下壁ST段抬高型心肌梗死
心源性休克
心功能IV级(Killip分级)
高血压病
立即阿司匹林肠溶片300mg、氯吡格雷300mg嚼服。
急诊冠脉造影


PL分支开口闭塞,PD分支血流3级,开口处可见血栓。

治疗过程
通过造影导管右冠脉内推注10mg尿激酶原溶栓。
更换6F JR 4.0指引导管,Runthrough NS进入PL分支。

2.0×15mm球囊扩张PL分支开口后PL恢复2级血流。


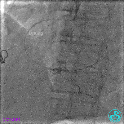
PL远端血管周围似乎有片状造影剂滞留。


经微导管PL分支造影,该如何解读这个经微导管造影结果?

经指引导管造影。

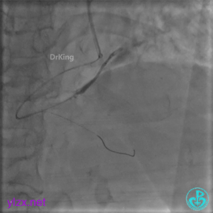
经微导管造影。


远段造影剂外渗在增加,怎么办?




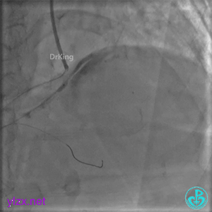
微导管送入PL分支远段,取明胶海绵颗粒栓塞剂1ml通过微导管向远端血管推注栓塞远端血管。
封堵后造影,PL分支远端血流中断。


心包内无明显积液。

术后治疗
阿托伐他汀钙片40mg 口服 qd
硫酸氢氯吡格雷片75mg 口服 qd
阿司匹林肠溶片100mg 口服 qd
间羟胺维持血压
术后超声未见心包积液。

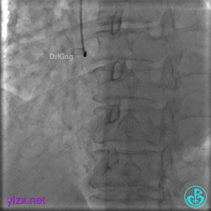
1周后复查冠脉造影
PL主支通畅,远端一个小分支丢失,未见破口存在。



