病例分享:这位多发结节患者已入院我又让出院,三月后复查了建议马上手术又被拒绝要吃中药,又三个月后会如何?
时间:2025-04-15 12:10:16 热度:37.1℃ 作者:网络
前言:今天分享的这个病例有些特别,不在于其最后的结果意外,而在于我自己的纠结摇摆与结友及家人的纠结摇摆。她是2024年4月前后检查发现肺结节的,到我这来看时是2024年9月,我当时觉得是多原发肺癌可能性大让她入院手术,结果住院后反复再看片子我又对自己的判断失去了信心,建议其先抗炎治疗后出院并三个月后复查再决定;三个月后到了2024年12月复查发现病灶没有好转,我认为基本上那得考虑肺癌,而且是浸润性癌,建议马上入院再手术,这时候结友自己又犹豫了,与家人商量后先再喝中药三个月。到了2025年3月再来复查时,结果发现……
病史信息:
主 诉:检查发现肺部阴影1年余。
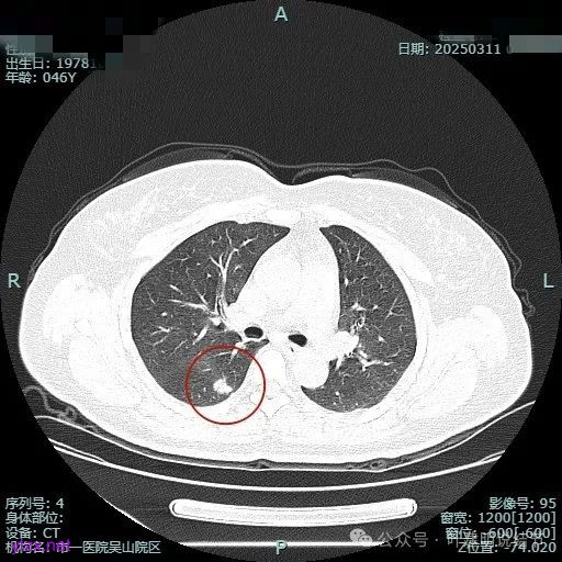
现病史:患者1年前于当地医院体检,行胸部CT提示肺部结节,平时无明显症状,无畏寒、寒战,无咳嗽、咳痰,无胸闷、胸痛,无恶心呕吐,无腹痛腹泻,无头晕头痛骨痛等不适,未予治疗。后定期复查,2025/3/11在杭州市肿瘤医院复查胸部(含纵隔)CT平扫+高分辨靶扫描:两肺纹理增粗,右肺下叶背段(SE4,IM95)可见实性结节,大小约14mm×10mm,可见分叶、胸膜凹陷征象。右肺中叶内侧段(SE4,IM137)可见实性结节,大小约6mm×5mm,可见胸膜凹陷征象。两肺内可见多发微小结节影,较大者位于右肺下叶内基底段(SE4,IM132)可见磨玻璃结节,大小约5mm×4mm。心影大小、形态正常;主动脉局部钙化。患者无畏寒、寒战,无咳嗽、咳痰,无胸闷、胸痛,无恶心呕吐,无腹痛腹泻,无头晕头痛骨痛等不适。为求进一步诊治来我院门诊就诊,拟“肺部阴影”收入我科。 患者起病以来,神志清,精神可,胃纳可,睡眠安,二便正常,体重近期无明显变化。 既往有“高血压”病史一年余,口服“苯磺酸氨氯地平片1#QD+奥美沙坦酯片1#QD治疗”控制血压,血压控制可。有“2型糖尿病”半年余,目前口服“达格列净片5mg1次/日”控制血糖。发现“肾病综合症”半年,目前无药物治疗。发现“右侧颈动脉及右锁骨下动脉斑块”半年,目前无药物治疗。有“高尿酸血症”病史,目前无药物治疗。
影像展示与分析:
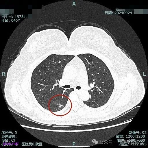
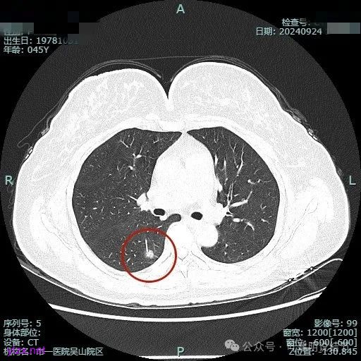
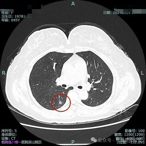
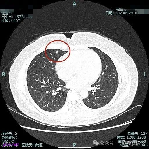
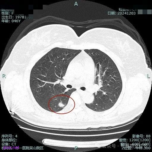
我们先来看2024年9月时的影像:
病灶1:

右下背段混合密度病灶,边上不太清爽,有片状淡磨玻璃影,实性部分密度较高。

感觉病灶有点晕征似的,表面不平,灶内不太致密。

有小血管进入,似有晕征。

离胸膜近但牵拉不明显,病灶边缘有细毛刺,较短且不太锐利。

边缘少许磨玻璃成分,血管进入明显。

瘤肺边界稍显不清。
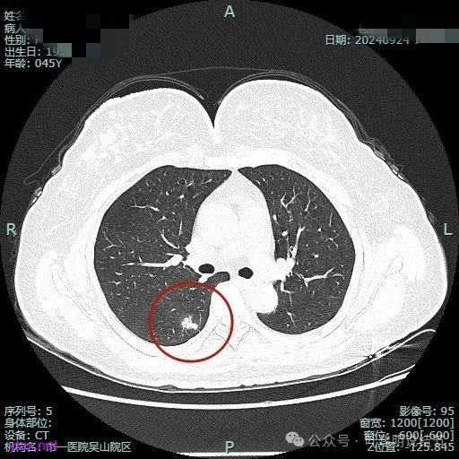
病灶2:

右中叶内侧段可见混合密度结节,大部分实性,形态与下叶背段的类似。
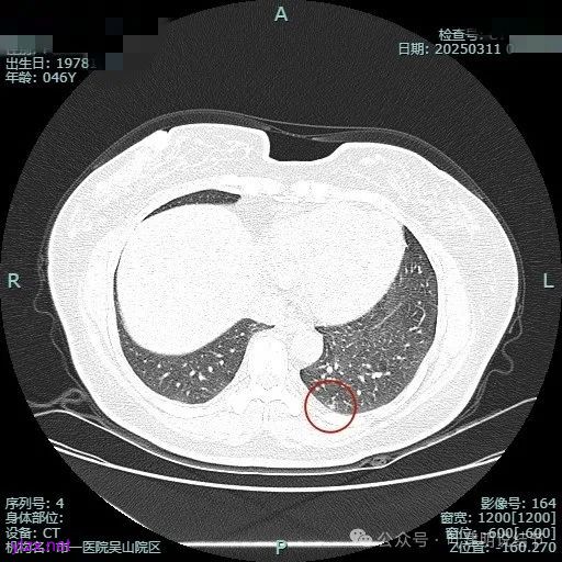
病灶3:

左下叶基底段微小结节,也是混合密度偏实性,瘤肺边界稍不清,与右侧的是类似形态的。
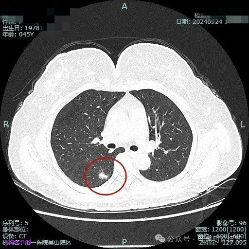
在门诊时我查了CT后认为大概率恶性,建议其入院手术,结友也办理了入院手续,准备接受手术治疗的。但入院后在术前我又仔细研究阅读她的影像,并分析靶重建图像,觉得右下背段病灶有的地方用恶性似乎不太好解释。
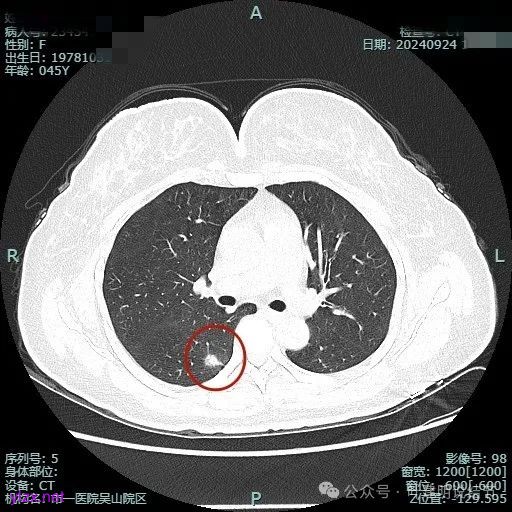
病灶3:

病灶混合密度,但瘤肺边界不够清楚,灶内也不太致密。

整个显得有点模糊,虽有血管进入,但血管说不上显著异常增粗,病灶边缘有细毛刺,贴胸膜近,但缺乏明显收缩力。

病灶显糊,轮廓较清但瘤肺边界欠清晰。

有血管进入,但病灶的感觉总好像缺乏收缩力,也聚拢性不太够。
病灶1:

病灶是混合密度,边缘少许淡磨玻璃,灶内不太致密,表面不平,血管征有,但说不上明显异常增粗。

病灶紧贴叶间裂,而且感觉跨过肺叶,部分影响到上叶了,病灶本身密度虽实性为主,但是不太致密,有点松散的感觉。

总体实性部分密度较高,而磨玻璃部分密度较低,且瘤肺边界欠清,关键是跨叶间裂生长,这与肿瘤似乎不容易解释些。

毛刺有但不太锐利,磨玻璃有但偏淡,实性为但不太致密,叶间裂与之关系密切,病灶跨叶生长。

上图显得与肿瘤较为符合,但跨叶生长的话,侵袭力应该较强,可她这病灶较刚发现时进展并不太明显。

上图层面也较符合恶性,血管进入明显,有浅分叶的样子,整体觉得有一定收缩力与膨胀感。

病灶表面不平,混合密度,磨玻璃成分较淡。
当时考虑:
这个病例我当时也很纠结,主要是有些层面是像恶性的,而且总体来讲更像恶性些,加上发现到来我这面诊时已经半年时间,病灶没有吸收好转。但有以下几点让我有些不太确定:1、半年来进展不明显;2、主病灶跨叶生长。按理说能跨叶生长若是恶性,应该侵袭性强,恶性程度高的,但若如此,怎么半年了没见明显进展呢;3、没有正规抗炎治疗过,也没有查过结核或隐球菌方面;4、多发病灶且均为偏实性的,用特殊感染更容易解释,而用多原发肺癌表现为混合密度偏实性的相对来说临床上不多见些,纯磨玻璃结节才多见。所以再三考虑并与患者沟通后,建议其完善结核与隐球菌方面的化验检查,并静脉抗炎10-12天,之后过三个月复查下看看有没有吸收好转再决定是否手术。结友接受建议并完善相关检查,未见结核或隐球菌方面的阳性结果。遂消炎治疗后出院休息,并预约三个月后复查CT。
复查情况:



到了2024年12月复查,发现三处病灶均无明显好转,但也说不上明显进展。不过抗炎无好转,结核与隐球菌方面又无依据,那是多原发肺癌的可能性就大为增加了,而且跨叶生长说明侵袭性不小的,建议尽快再办理住院手续接受手术治疗。结友说回去再商量考虑下,结果一去不返。
再见时如何:
时间很快到了2025年3月,结友又来我门诊复查,我还以为她在别处开了刀了呢,结果并没有,说是与家人商量后决定吃中药三个月看看能不能好。我们来看看再复查的情况,中药有没有起作用:



总体感觉三处病灶边缘的淡磨玻璃成分好转不太明显了,实性成分较前略显致密点,大小与形态是说不上显著变化的。所以有几点可以肯定:1、消炎没有效;2、中药没有用;3、考虑多原发肺癌,且为浸润性腺癌可能性大些,得手术!
最后结果:
结友办理入院手续,杭州市第一人民医院胸外科叶建明团队为其进行微创手术。术前我们讨论考虑手术方式时是这么想的:1、病灶从一年来的进展情况看,恶性程度不会很高,因为进展并不太显著,前9个月更是几乎没有变化,最后3个月似乎略显得致密了一点;2、年纪轻却已经是有三处病灶,均考虑原发的,而不是转移,说明体质上来说,以后再新检出新的肺癌的概率是高的;3、若主病灶下叶切除加上叶部分(受累部分)切除,中叶又有病灶2也得切,右侧损失肺功能较多,下次还得切左下的病灶,之后还得接受可能新检出来的病灶手术,那肺功能影响大,生活质量受影响;若主病灶行下叶背段切除加上叶部分切除(受累部分),再加中叶楔形,这倒也可能,但按我的理念,若事实上的真早期,主病灶此部位楔形切除与背段切除并无预后的不同,区别只在于肺段切除有第12组淋巴结的阴性或阳性依据而已,真阳性,那切肺段也不行,得切肺叶,虽然即使切肺叶也不是说就能根治;再就是下叶背段切除加上叶后段切除,我不主张采用的依据同前一条。所以与结友充分沟通后拟右侧两处病灶均楔形切除并淋巴结采样,二期再行左下叶楔形切除加淋巴结采样。这样肺功能的影像最小,切除的肺组织最少,而且效果与预后极可能是与更大范围切除一样的。

下叶主病灶剖面灰白,质较硬,受累上叶部分一并切除了。

右中叶结节也是切面灰白,质硬,像恶性的。

术中快速切片示右中叶腺癌,局灶浸润;右下叶浸润性腺癌。

常规病理示:右中叶浸润性腺癌,中分化,最大径0.8厘米,腺泡型60%,贴壁型40%;右下叶浸润性腺癌,高分化,最大径1.5厘米,贴壁型80%,腺泡型20%。淋巴结采样阴性。
感悟:
这个病例的分享我觉得比较有意义,至少有些感想也是经验的积累:1、多原发肺癌看来也不单集中在纯磨玻璃结节领域,实性为主的混合磨或实性结节也是要考虑的,而且同样面临着增多与常见化的形势;2、影像上来诊断恶性,确实与之前总结一样,有的层面较为典型恶性的话,就不能轻易否定;3、随访只要无吸收好转,影像又有恶性特征的,恶性概率就大为增加。当然风险的高低一看影像细节,二看随访有无进展;4、中药治疗肺癌仍有很长的路要走,若判断基本上为肺癌,定要试试中药不大可取,试也得磨玻璃为主的,风险小的,适当随访不影响预后的才可试试,已经实性成分为主浸润性癌的还是尽早手术才是上策;5、手术方式的选择不同医生可以完全不一样,或差别很大,个人总觉得以最小的创伤与代价解决问题,在多原发癌很常见的时代,追求所谓的不可预见的“可能”转移从而多切肺组织或许并不是最优的,因为真有转移,多切不代表就能治愈,而少切却肯定能多保留肺功能。

