中年男性,膀胱左侧壁结节,诊断考虑?
时间:2025-04-15 12:09:39 热度:37.1℃ 作者:网络
01 基本情况
【基本资料】男性,58岁
【简要病史】反复血尿半月余。CT盆腔平扫及增强提示:膀胱左侧壁结节。
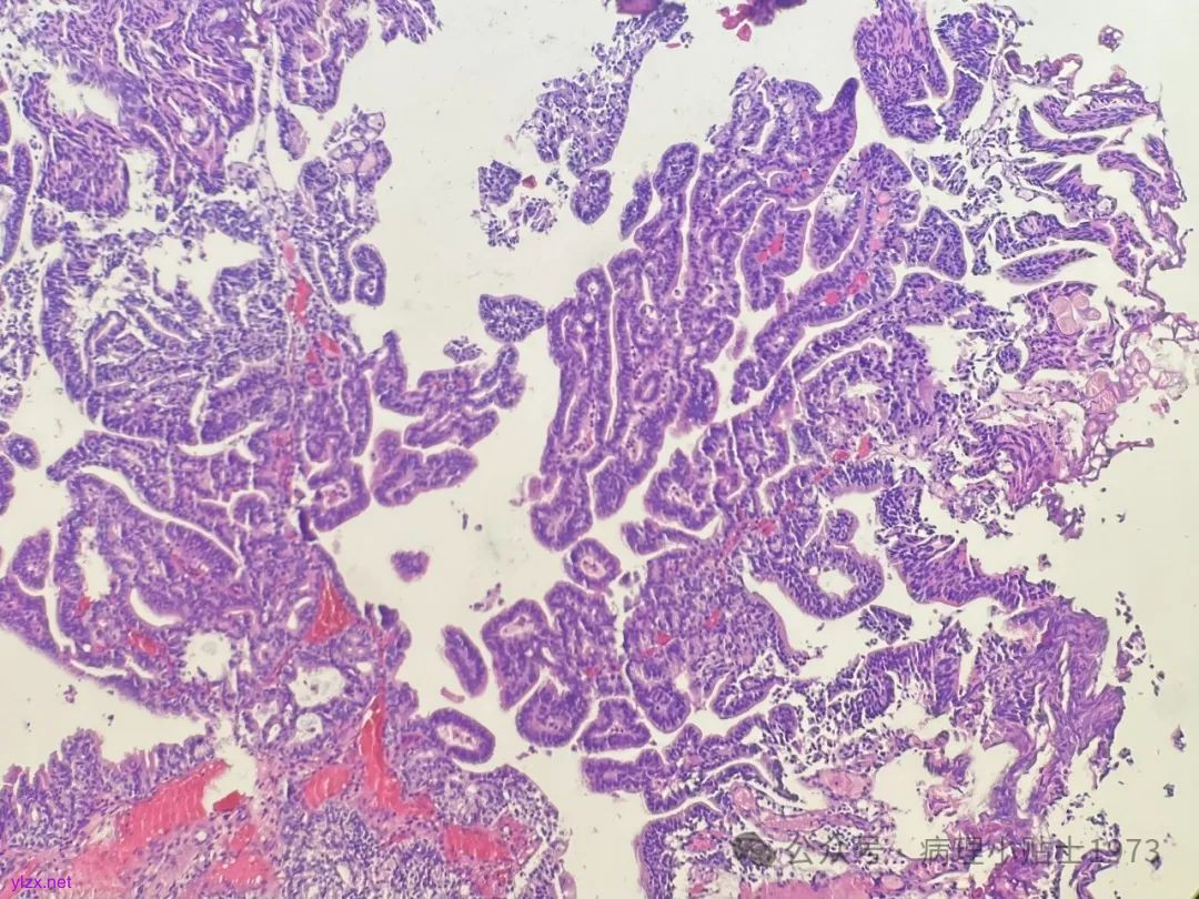
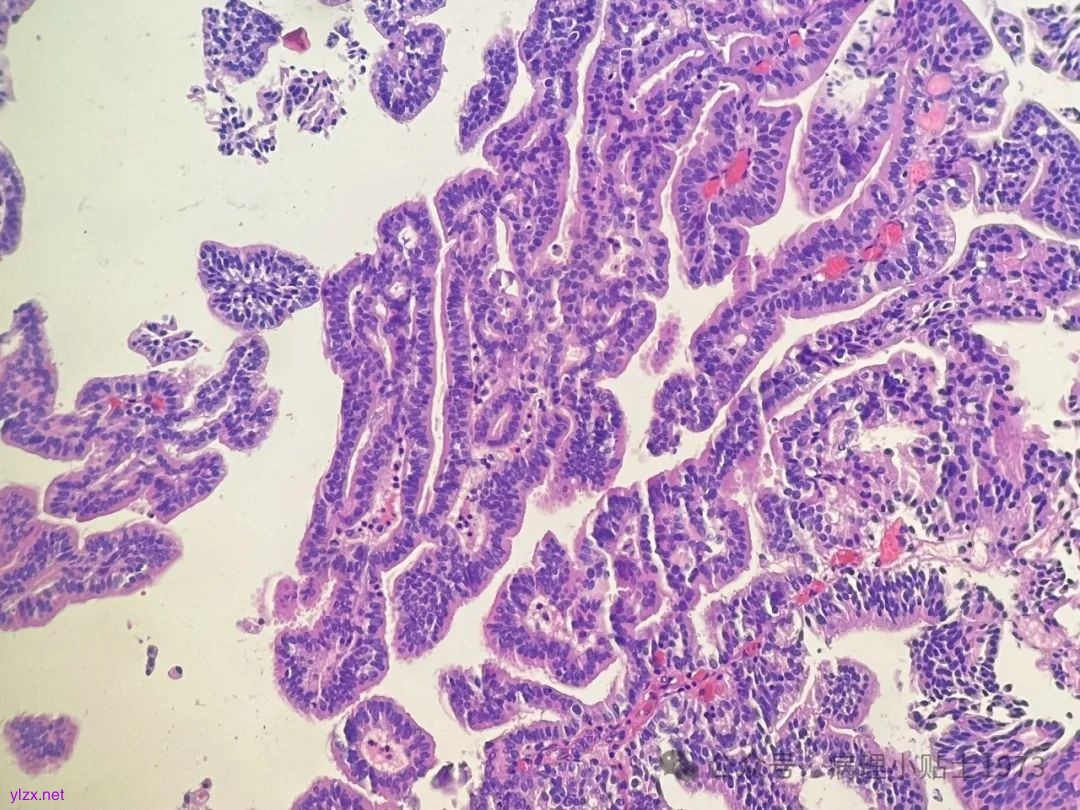
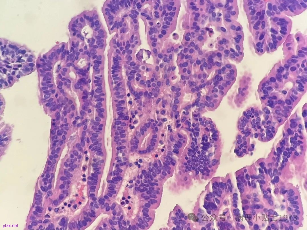
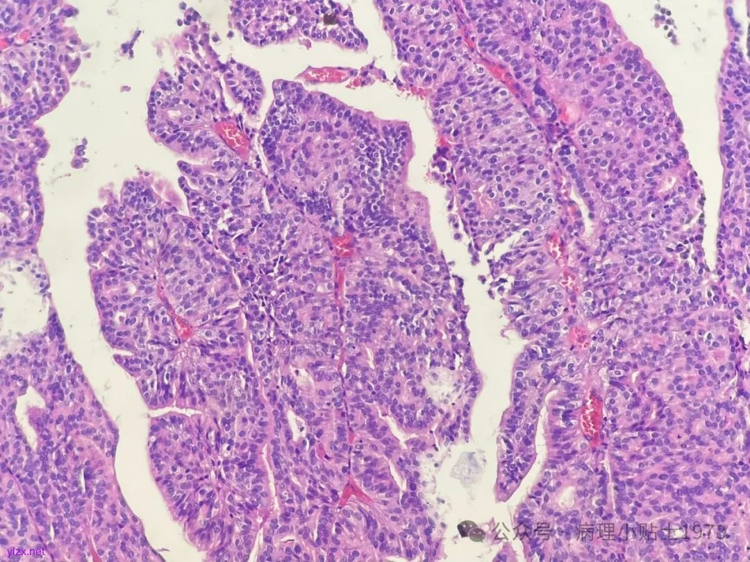
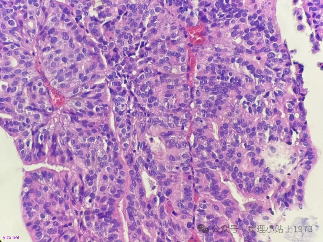
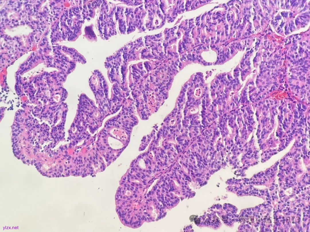
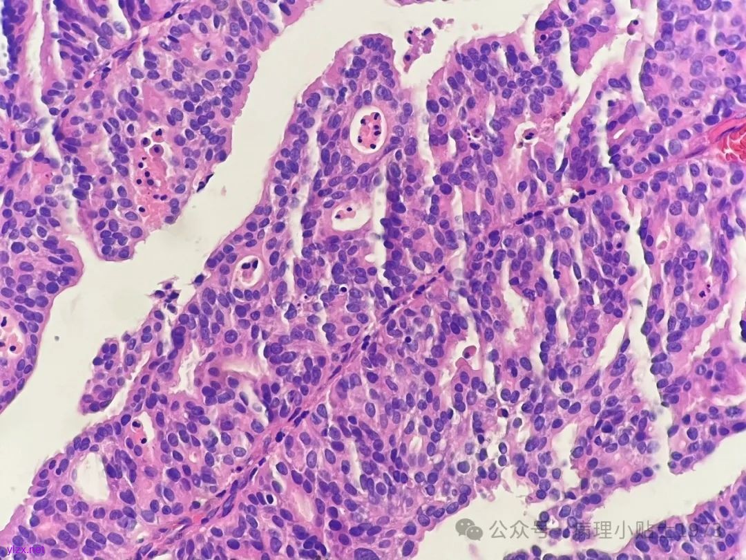
02 病例切片







03 问题思考
1.请问结合发病年龄、部位、大体和镜下所见,你的诊断是?
2.诊断要点或思路是什么?
04 参考答案
1.请问结合发病年龄、部位、大体和镜下所见,你的诊断是?
-
诊断:非浸润性乳头状尿路上皮癌伴显著腺性分化
2.诊断要点或思路是什么?
-
尿路上皮癌的诊断标准大家并不陌生,尿路上皮癌除了有很多组织学亚型,还可出现多种变异型(异向分化):包括伴鳞状分化、腺样分化、滋养细胞分化和苗勒型分化。
-
问题一:本病例出现了显著的腺性分化,不要误诊为单纯的腺癌。仔细寻找,仍然可以见到复层排列的经典尿路上皮癌成分。
-
问题二:本病例的肿瘤极性轻度紊乱,细胞核轻度到中度异型,部分可见清晰小核仁清晰,凋亡易见,免疫组化弥漫表达p16和CK20(弥漫阳性多见于高级别病变),ki67指数较高。到底该归入低级别还是高级别病变呢?
-
有研究指出:伴腺样分化的尿路上皮肿瘤常是高级别,低级别尿路上皮增生性病变伴腺样分化常常不是肿瘤,可能是腺性膀胱炎或旺炽性腺性囊性膀胱炎。
-
现在ISUP对于非浸润性乳头状尿路上皮癌有两种变化,现罗列如下供大家参考:
-
(1)ISUP提出一种针对非浸润性乳头状尿路上皮癌的新的3级分级系统,该系统整合WHO1973和WHO2004/2022的分级标准,将WHO 2004/2022的PUNLMP和低级别癌统称为非浸润性低级别乳头状尿路上皮癌(G1),将WHO 2004/2022的高级别癌再分为高级别非浸润性乳头状尿路上皮癌 (G2和G3)。
-
(2)WHO 2022以5%作为临界值,将非浸润性低级别癌伴有≥5%比例的高级别成分者直接归类为高级别,而对于伴有<5%比例的高级别成分者诊断为低级别伴有<5%的局灶性高级别成分。事实上,5%的阈值缺乏明确的循证医学证据,因此限制了其广泛的应用。ISUP共识意见建议对于高级别成分在5%~50%之间的病例,在报告中诊断为低级别非浸润性尿路上皮癌伴有高级别成分,并具体指明高级别成分所占的大致比例。而对于伴有≥50%比例的高级别成分者则应直接诊断为高级别。
-
所以,这个病例虽然形态上够不上WHO标准的高级别,但由于其广泛腺样分化,灶区核仁清晰,凋亡易见,弥漫表达p16 和CK20,ki67指数较高,不知能否将其归入高级别非浸润性乳头状尿路上皮癌 (G2)(ISUP分级)。
05 切片注解









