急性左主干闭塞开通顺利术后死亡!
时间:2025-04-15 12:08:56 热度:37.1℃ 作者:网络
病例资料
患者女性,53岁。因发现血糖升高10余年,控制不佳半月,咳嗽2天入住内科。
1周后因患者近期有活动性胸闷、心悸,心电图提示ST-T改变,请心内科第一次会诊,考虑冠心病。
第2天10:00左右,患者剑突下疼痛伴呕吐,心电图检查提示有ST-T改变,与前面心电图有动态变化,没有引起重视,于13:00许再次请心内科会诊,此时cTnI 1.46ng/ml,CK-MB>80ng/ml,Myo 115ng/ml,会诊医生请示上级医师后,发现aVR、aVL导联ST段抬高,其他导联ST段明显压低,考虑急性心肌梗死,左主干闭塞的可能性很大。立即启动胸痛中心救治流程。
心电图:




入院时的心脏彩超:

急诊造影


左冠脉造影发现左主干闭塞。
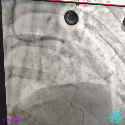
治疗过程
果断更换指引导管。

指引导管刚刚送到升主动脉,患者便发生抽搐、呼之不应,立即胸外按压几次后,患者清醒了,快速置入IABP。造影发现整个前壁不怎么搏动了。
血压低,去甲肾上腺素8mg,25ml/h微量泵入,血压高时可维持在140/80mmHg左右,一直到手术结束。


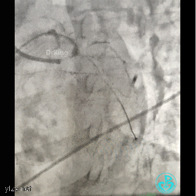
2.0×15mm球囊预扩张后。



植入4.0×13mm支架1枚。





交换导丝后扩支架网眼。


结束手术。
下台时血压127/78mmHg,心率75次/分。
病情变化
下午18:00复查超声:

凌晨03:00复查超声:

患者于凌晨02:20左右突发心脏骤停,心电监护呈等电位线。经抢救1小时无效死亡。
术者疑问
1. 心包积液的原因是什么:冠脉穿孔?急性心肌梗死早期心包炎?最后出现较大量的心包积液是心脏破裂吗?
2. 死亡原因:循环崩溃?心包填塞?机械并发症?
请各位老师不吝赐教!

