问诊分析:肺多发结节已经随访6年了,略有进展,该切了吗?
时间:2025-04-14 12:10:39 热度:37.1℃ 作者:网络
病史信息:
基本信息:
女性, 55岁。
疾病描述:
多发磨玻璃结节,2019年发现,已随访五年。以前在叶主任这儿问诊过,知道您是医者仁心医术精湛的好医生。今年再次复查CT,本地医生说,密度增高,浸润了,需要尽快手术。请叶主任帮忙比对,给出诊疗建议,谢谢! ①双肺结节大小、密度、性质变化情况?②左肺主病灶处于什么阶段?需要尽快手术吗?③左肺这几个结节的位置如何,可以一并切除吗?请主任帮忙给出手术方案的建议,楔切还是段切?
希望获得的帮助:
多发磨玻璃结节是否需要手术?
影像展示与分析:
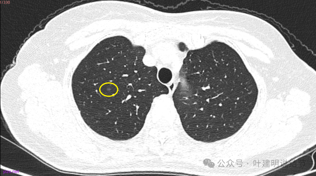
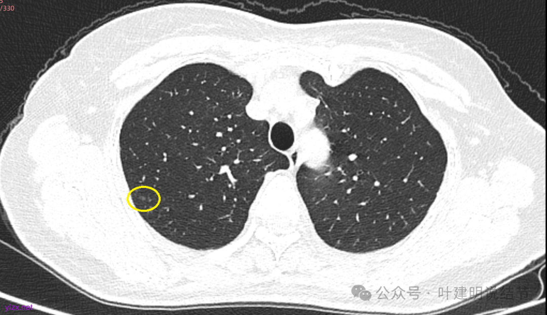
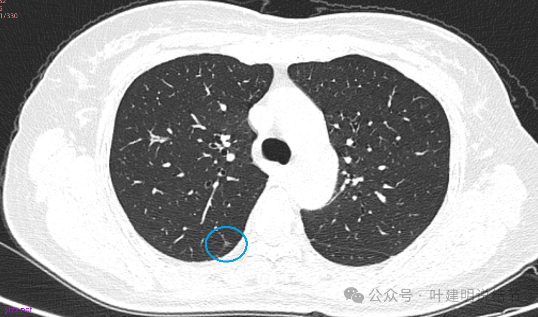
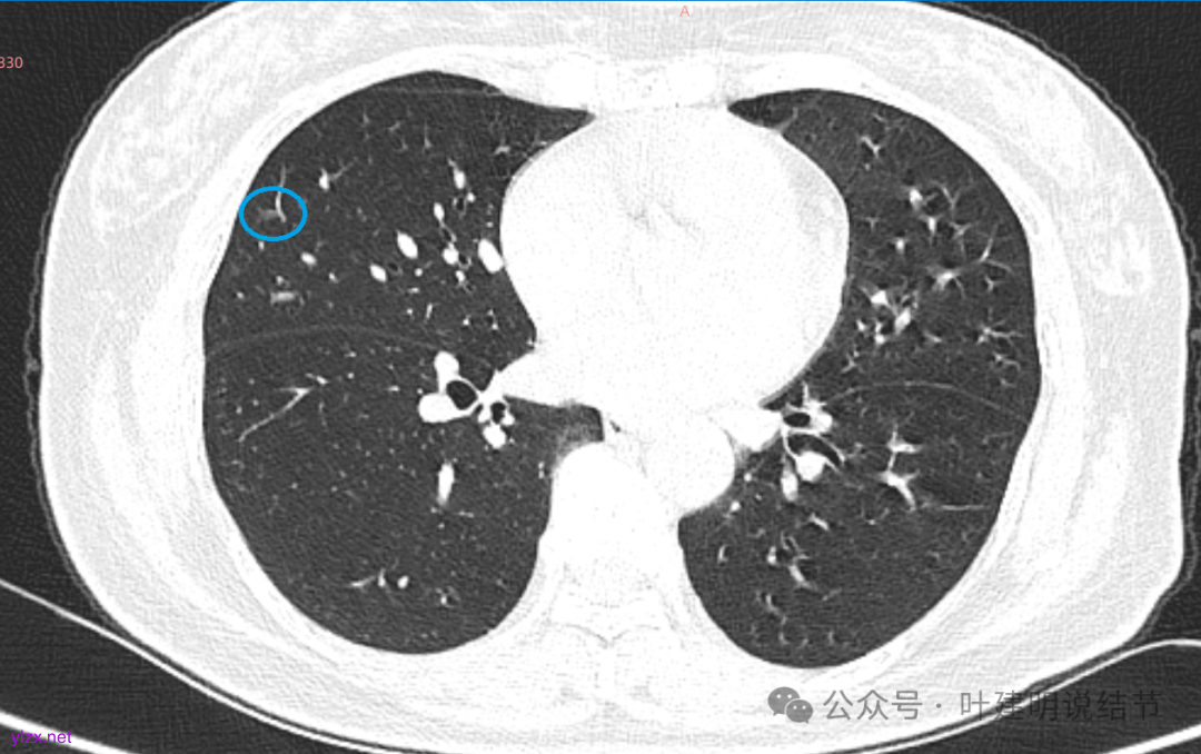
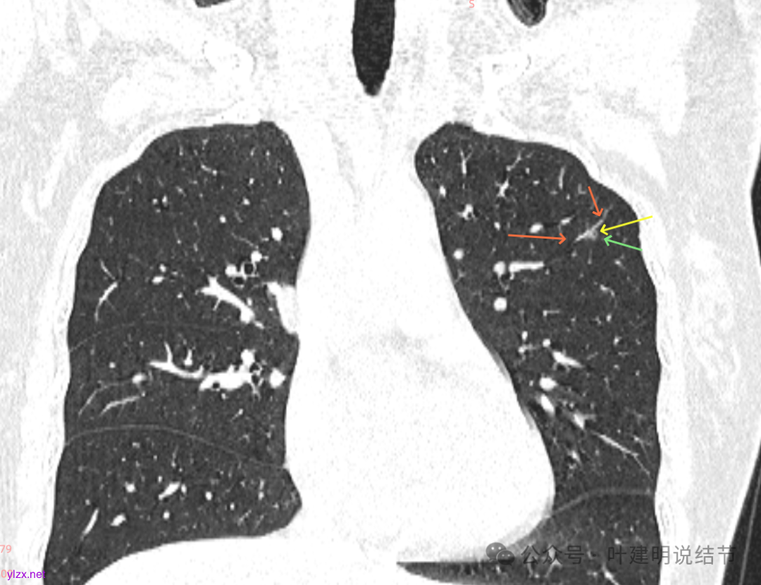
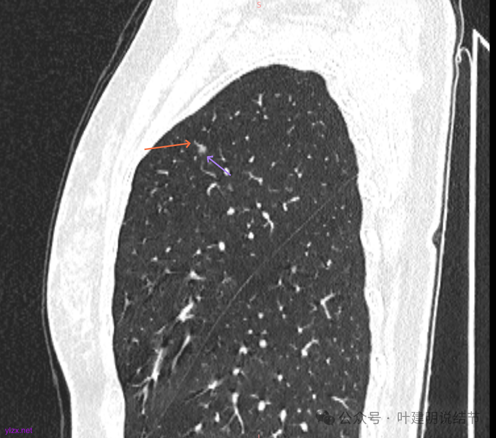
先来看2025年3月的影像:








主病灶矢状位有血管进入,边缘毛糙,密度不纯,倒是更像肿瘤些。
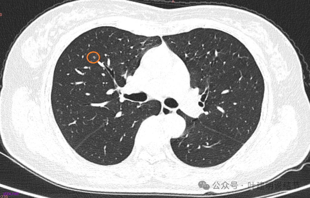
再看2020年5月时的主病灶以及两次对比的影像:


上图示对比,密度略有增加,但并不十分厉害。
我的回复:
两肺多发磨玻璃结节,我们主要看最主要的病灶有没有风险或者有没有进展就可以。我是先看2025年的,黄色的微小磨玻璃结节,密度很低,但是轮廓较为清楚,需要考虑肺泡上皮增生或者肺泡间隔增宽,严格意义上应该没有算肺癌,但是以后有可能会发展到不典型增生或者原位癌,当然也可能永远发展不到那个程度,所以目前不需要管;蓝色的到底是肺泡上皮增生还是少许慢性炎不太好确定,因为轮廓稍显模糊,但它又是磨玻璃密度,总归近期是能够随访的;橘色的密度比黄色的略高,有可能会使肺泡上皮增生或者不典型增生,目前也仍可以随访;粉色的是主病灶,位于左肺上叶,混合密度,表面毛糙,由小血管进入,单次看需要考虑微浸润性腺癌可能性较大。然后我们再来看2020年的影像,因为除了粉色的其他的都没有风险,所以不需要一一去找出来,重点关注粉色这处当时是怎样的。我们发现这个病灶5年前就有,也有小血管进入,也有表面毛糙,也是磨玻璃密度,但是当时磨玻璃当中没有实性的成分,是纯磨玻璃伴微小血管进入。对比起来看,这个病灶在5年当中略有进展,原来应该是腺体前驱病变,现在应该是原位癌或者微浸润性腺癌。那么是不是现在就到了一定得马上手术的程度呢?这个仍然可能是不同医生意见会有出入的。假如说从再随访是不是马上会转移来讲,这么小的肿瘤,发展这么慢,而且仍然含有磨玻璃成分,病理考虑与微浸润性腺癌可能性较大,应该仍然不至于说没有随访的空间。但是如果继续随反思想压力比较大,以及即便在随访后续仍然总得要开刀来说,加上病灶位置靠胸膜并不远,简单的单孔胸腔镜楔形切除就能解决问题,将有一定风险的这个病灶切了,同样是可行的。这需要你自己权衡决定。我没有办法100%给十分确切的意见。但是如果从倾向性来讲,由于是多发病灶,加上年纪还轻,风险还不是很大,稍微清一下雨6~9个月复查,有进展病风险再增加再考虑手术。意见供你参考!
感悟:
我总觉得现在的肺结节真的到了不应该采取“考虑恶性就尽早切除”的策略,而要真正从患者利弊角度考虑做到一人一策,要结合患者年纪、结节单发还是多发、影像特征、随访进展情况、心理承受压力能力、干预措施的创伤大小、手术切除的范围与风险、工作生活求职或生育等的影响这些方面综合评估考虑,并与患者及家属充分沟通,陈明不同选择的利弊与可能后果,协商来确定随访或干预的措施。这主要基于许多结友的病灶风险并不大,处理并不急,随访并不影响预后。而且更是由于致病因素不明、手术是否最优也不明、以后医学的发展与研究会不会保守治疗就可以也不明。所以在风险可控范围内能熬再熬一下或许是无耐之下更为稳妥的选择。当然目前的肺结节诊疗乱象根本原因有两处:一是指南的滞后性;二是医疗改革导致的医院扩张与追求业绩增长。需要反思的不单是医生,更包括广大结友,最重要的是决策管理部门。

