【衡道丨笔记】结直肠早癌病理诊断要点
时间:2025-04-14 12:09:36 热度:37.1℃ 作者:网络
肠道早癌诊断中一些基本问题
病理诊断术语——上皮内瘤变vs异型增生
上皮内瘤变的概念随着2010年第4版WHO的推广在国内开始广泛应用
2019年第5版WHO推荐在消化管道使用异型增生
结直肠癌前病变

WHO分类腺癌的定义
腺癌:2019WH0定义中仍然保留了侵破黏膜肌层,到达黏膜下层的描述。
具有腺癌形态,但仍局限黏膜层内的病变可能被归入高级别异型增生的范畴。
在日本,此类病变被诊断为黏膜内腺癌。
WHO vs Japanese classification


WHO classification:高级别异型增生/上皮内瘤变高级别
Japanese classification:黏膜内腺癌
主要差异
1.腺瘤:WHO分类将锯齿状腺瘤归入锯齿状病变,日本分类中仍将其作为腺瘤亚型
2.癌:
(1)分类依据:
-
WHO:形态学
-
日本分类:形态学十分化
(2)一致的类型:
-
黏液腺癌
-
印戒细胞癌
-
髓样癌
(3)不一致的类型:
-
WHO分类:非特殊型腺癌,腺瘤样腺癌,锯齿状腺癌,低粘附腺癌,微乳头腺癌
-
日本分类:管状腺癌,乳头状腺癌,低分化腺癌
消化道癌pT stage(NCCN)
结直肠
pTis:原位癌,黏膜内癌(黏膜层内浸润,未达黏膜下层)
pT1:浸润黏膜下层(不区分pT1a与pT1b)
早期肠癌ESD标本报告要求
1.大体类型
2.肿瘤大小
3.组织学分型(临床决策直接相关)
4.浸润深度(临床决策直接相关)
5.脉管侵犯(临床决策直接相关)
6.肿瘤出芽(临床决策直接相关)
7.切缘:水平切缘,垂直切缘(临床决策直接相关)
8.浸润模式
9.周围黏膜病变
肠道早期病变大体分型
肠道癌前病变形态多样,离体后形态会发生变化,且由于手术操作等影响因素可能导致病理巨检时准确判断大体分型困难。
在体状态下通过内镜观察的大体形态最为准确。

图左:早期胃癌大体分型(1962);右图:巴黎分型(2002)
肠道早期病变内镜大体分型

0-Ⅰ型指高出黏膜面2.5mm的病变
0-Ⅱa直径小于10mm,高度小于2.5mm
LST:侧向发育型肿瘤(Iaterally spreading tumor),直径超过10mm,沿结肠管腔蔓延而垂直浸润浅的结肠病变,隆起高度小于病变直径的1/2。
颗粒型LST:颗粒均一型,结节混合型
非颗粒型LST:平坦隆起型,假凹陷型
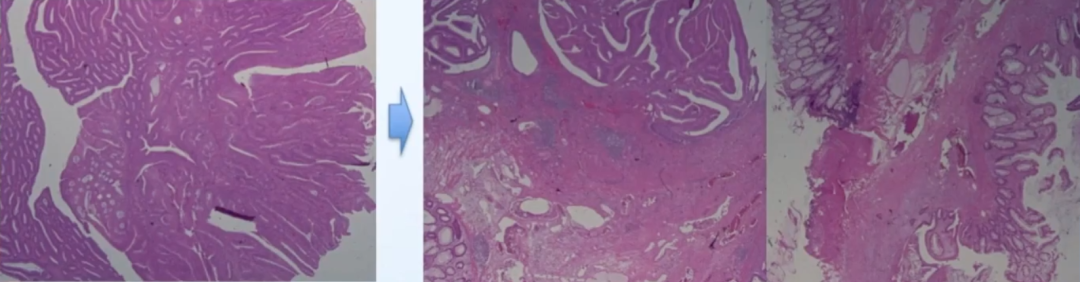
规范化取材是准确病理评估的前提

取材对有蒂病变病理评估的影响巨大

取材对有蒂病变病理评估的影响

左图:初次制片,包埋方向不佳,难以判断层次;右图:重新包埋制片,获得良好切面
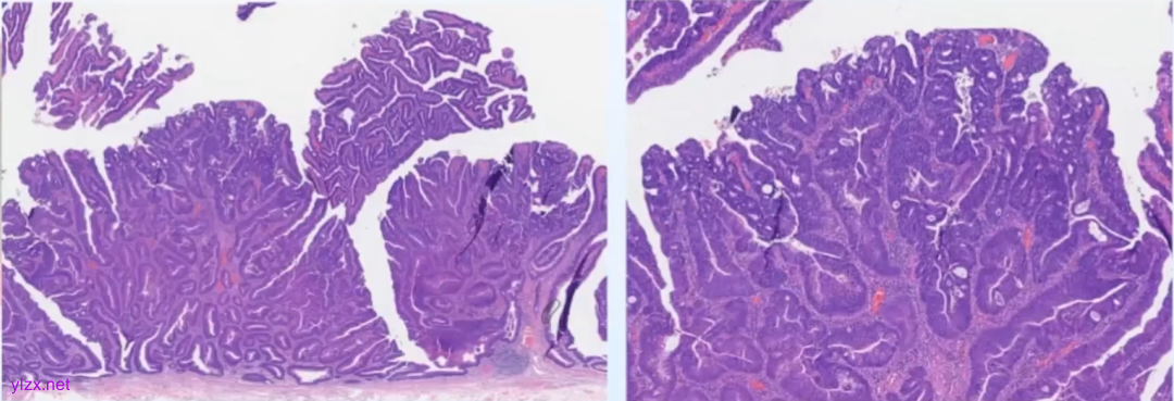
组织学类型

(红框为内镜适应症)
浸润深度评估
pT1a:局限于黏膜固有层、黏膜肌层,M
pT1b:侵犯黏膜下层
SM1:浸润深度<1000微米
SM2:浸润深度>1000微米
SM3:黏膜下层下1/3,仅在切除深度达固有肌层时使用
黏膜下层浸润深度测量方法(JSCCR)
经典方法:
黏膜肌层下缘至肿瘤组织浸润最深处的距离
适用于黏膜肌层完整/未完全破坏
替代方法:
1.以临近未受累黏膜肌下缘连线为起始点测量肿瘤浸润最深距离,适用于溃疡/瘢痕等破坏黏膜肌层时
2.以肿瘤表面为起始点测量至肿瘤浸润最深处,适用于肿瘤组织毁损性破坏黏膜肌层

黏膜肌完整——经典方法

毁损性浸润,黏膜肌层全部消失——替代方法
有蒂病变深度的测量常常产生争议

左图:有蒂病变,肿瘤内无残留平滑肌,深度从表面测量;
右图:有蒂病变,黏膜肌层紊乱,浸润深度从头、蒂交界处基线测量
头浸润(Head invasion)
适用条件
1.有蒂病变
2.肿瘤组织与平滑肌交叉卷杂,不能辨认黏膜肌层的位置
3.基线位置:两侧正常组织与肿瘤组织交界处连线
4.基线以上部分为头浸润,视为黏膜内病变
5.基线以下部分视为黏膜下层浸润,深度从基线测量起
头浸润被归入黏膜内病变,有较严格的应用条件

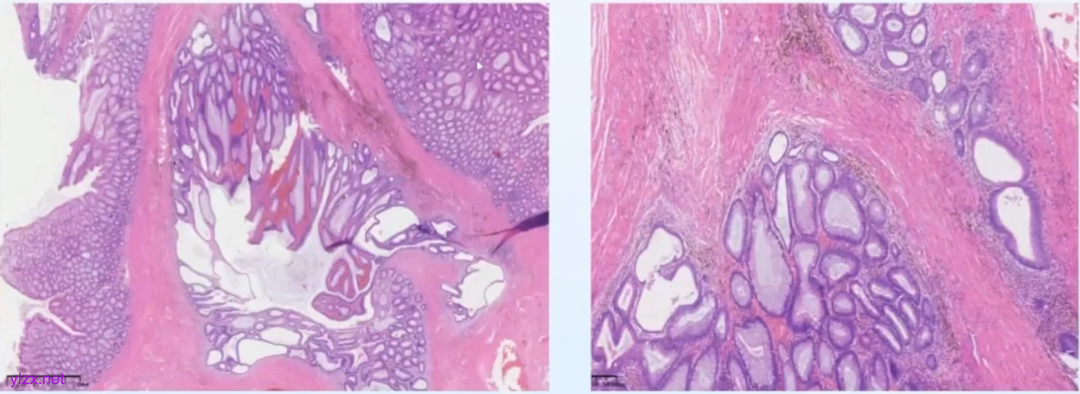
假浸润(Pseudoinvasion)
定义:腺瘤性腺体位于黏膜肌层下方模拟浸润
常见于大的有蒂息肉
最常发生于乙状结肠,直肠少见
可能因为蒂部扭曲导致腺瘤上皮疝入蒂部所致
容易过诊断

腺体形态和表面腺瘤区域形态相同
腺体周围为疏松结缔组织,与黏膜固有层间质类似
含铁血黄素细胞,提示有陈旧性出血
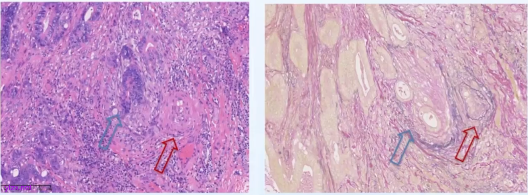
腺瘤累及淋巴腺复合体
少见情况下,腺瘤性息肉可以累及黏膜下层淋巴腺复合体
形成假浸润的组织学表现
可能成为诊断陷阱

淋巴腺复合体样癌
淋巴组织形成原因:原来存在的淋巴组织;肿瘤-宿主反应;或二者综合
鉴别诊断:腺瘤累及淋巴腺复合体;腺瘤假浸润

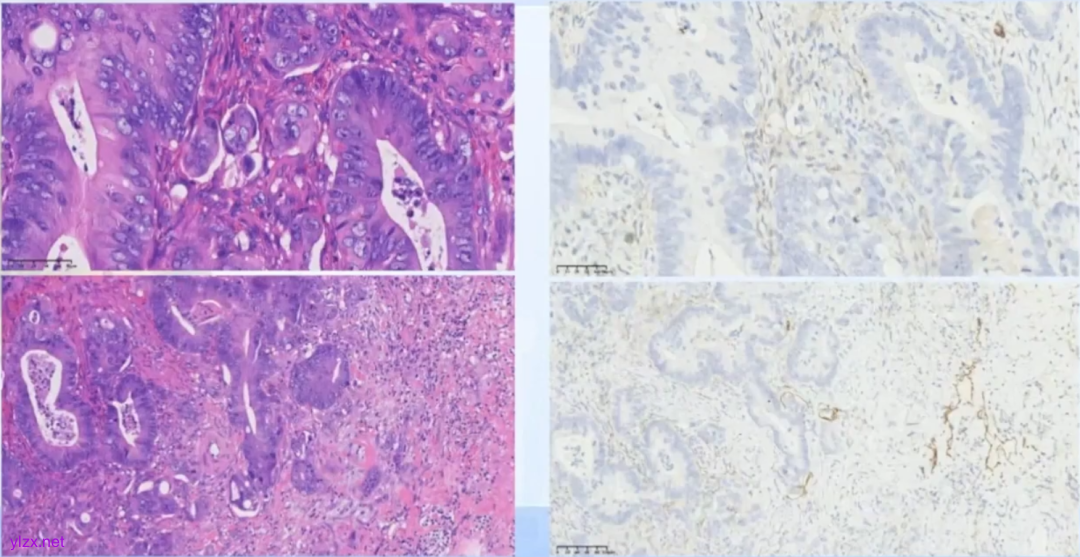
脉管侵犯
淋巴管侵犯(ly)
-
ESD标本:ly(+),ly(-)
-
手术标本:Iy0,ly1,Iy2,ly3
-
D2-40
静脉侵犯(V)
-
ESD标本:V(+),V(-)
-
手术标本:V0,V1,V2,V3
需要辅助检查确定脉管侵犯情况
脉管侵犯——淋巴管侵犯:

D2-40协助判断淋巴管侵犯或收缩裂隙
弹力染色在脉管侵犯判断中的价值:

静脉侵犯HE切片下常常不能准确判断
肿瘤出芽(tumor budding)
定义:肿瘤浸润前缘,少于5个肿瘤细胞,不形成腺管结构
评估:20倍物镜;HE切片观察;计数数量最多的区域
日本分级:
-
BDX:出芽不能评估
-
BD1:0-4
-
BD2:5-9
-
BD3:10或更多
ITBCC分级
-
低级别:0-4
-
中级别:5-9
-
高级别:10或更多

