病例分享:囊腔型肺癌又来了!此型肺癌较一般肺癌恶性程度更高?预后更差?
时间:2025-04-11 12:10:25 热度:37.1℃ 作者:网络
前言:以前文献都说囊腔型肺癌是少见的肺癌类型,相关的数据较少,也容易误诊漏诊。但其实现在临床上遇到的囊腔型肺癌感觉并不少见,当然这一是由于CT检查的普及,二是医生对此类型肺癌的认识更加深入,三是磨玻璃肺癌伴囊腔病灶的出现。在网络咨询或临床中,许多结友总觉得自己的病灶有空腔征,是不是恶性程度更高?是不是更容易转移或预后更差?今天分享的这个病例也是囊腔型病灶,我们来看看。
简要病史:
患者,女性,38岁,检查发现肺部结节入院,没有明显临床症状,肿瘤指标正常,相关特殊辅助检查也无异常。
影像展示与分析:

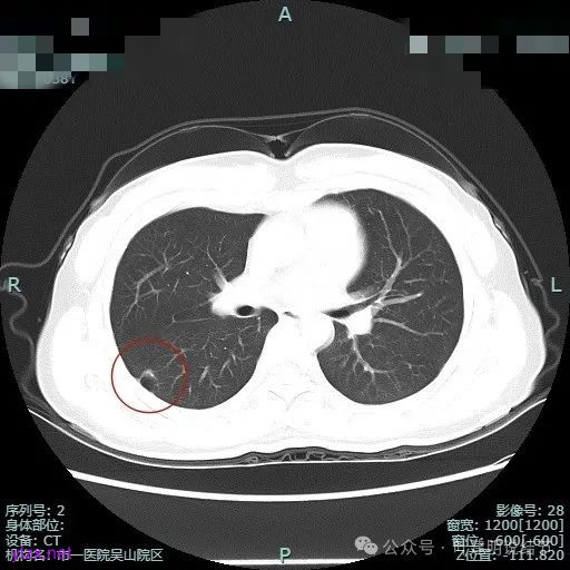
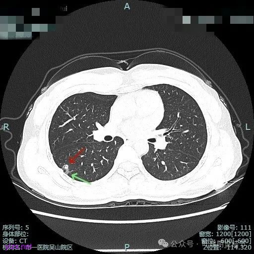
非薄层平扫上这个层面比较明显,似一囊腔,壁厚薄欠均匀。

薄层上看病灶贴着叶间裂与胸膜,此层囊壁薄,囊腔明显。

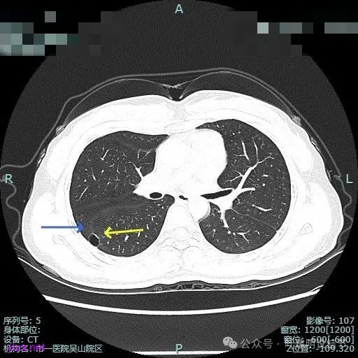
囊壁局部有增厚。

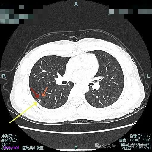
囊壁局部较厚,但囊壁内也是有小空泡的,病灶贴着胸膜。

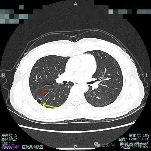
病灶部分囊壁是混合磨玻璃成分的,整体轮廓较清。

边缘区也有偏实性成分,磨玻璃成分也还是明显的,有微小血管进入。

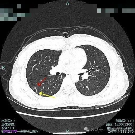
靶重建的影像上看,病灶的囊壁明显厚薄不均,有小血管进入,一侧的边似就是斜裂的样子。

囊壁有磨玻璃成分,边缘毛糙,有少许偏实性成分,仍有磨玻璃成分。

血管走向病灶,囊壁略不均。

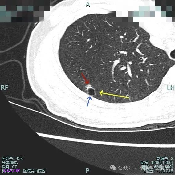
此层见囊壁有较明显实性成分,血管进入明显。叶间裂侧平直。

混合密度,收缩力不明显,血管进入明显。

囊壁混合密度,整体轮廓清。

表面不平,血管进入,囊壁厚薄不均,紧贴叶间裂。

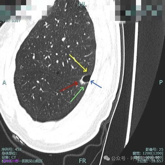
囊壁里面也有小空泡征。

混合密度但还是太致密,内壁毛糙不平。

病灶轮廓清楚,囊壁厚薄不均,贴着叶间裂与胸膜。
临床考虑:
1、诊断问题:这是很典型的囊腔型肺癌,符合我自己之前提出的囊腔型肺癌三要素:(1)囊壁厚薄不均;(2)血管进入囊壁;(3)囊腔内壁不光滑(或再加止整体轮廓与边界较清)。而且由于囊壁实性成分明显,所以是有风险的,要及时干预处理。
2、手术问题:患者才38岁,病灶位置在肺外周边缘位置,是否需要行肺叶切除?因为此灶囊腔型肺癌基本上是浸润性腺癌的,是否浸润性就切肺叶更稳妥?这或许没有定论的,不同医生理念会有不一致,而如果按我之前提出的“真伪早期”理论来说(点击阅读:个人观点(2024.12.12):肺癌的“真早期”与“伪早期”理论可解释几乎一切临床现象!),若病灶确实是早期,位置这么好,局部完整切除也就够了;如果病灶已经存在微转移,切多也不解决问题。所以我是倾向在充分告知与知情同意的前提下,由患者自行决定选择楔形切除加淋巴结采样还是肺叶切除加淋巴结采样或清扫。
最后结果:
在充分沟通与知情同意的情况下,结友选择楔形切除加淋巴结采样,以尽最大可能维护肺功能,少影响生活质量(因为切肺叶也只是名义上更放心,真血行微转移也不是说切了肺叶就能治愈,但肺功能影响更大确是实打实的。以确定性的更大创伤来预防或解决不确定的更晚分期显然并不总是最合理的)。

镜下见病灶位于叶间裂与胸肋面肺表面转角处。

局部看上去肺大泡。

剖面见病灶的囊壁较厚的部分是灰白质硬的。

病理报告示:浸润性腺癌,贴壁型与腺泡型,高分化。
感悟:
囊腔型肺癌现在不少见,但是否有囊腔就表示恶性程度高。我们来学习下《郑正有词话肺癌》中有关囊腔型肺癌的部分总结:2020年,在《肿瘤外科年鉴》期刊上,刊载了这么一项研究,探讨囊腔型肺癌的发展规律。研究纳入首尔大学医学院从2004年1月到2017年7月的诊疗资料,筛选影像学表现为囊腔型肺腺癌且接受根治性外科手术的患者,最终得到60例符合条件的入组患者,其中,有27名患者有多次CT的跟踪随访资料。作者基于这些密切随访的CT资料,将囊腔型肺癌的发展分为四个阶段:第一阶段:在磨玻璃病灶中间出现囊腔成分;第二阶段:囊腔成分扩大,而囊腔周围的磨玻璃成分因为扩大的囊腔而厚度不变/变薄;第三阶段:囊腔壁逐渐在磨玻璃的基础上衍生出实性成分;第四阶段:实性肺癌逐渐包围囊腔,伴随着厚度的增加,囊腔内的空间不断被填充。

此外目前学界认可度比较高的针对囊腔型肺癌的影像分类:Ⅰ型囊腔,薄壁囊腔,囊腔厚度不足2 mm;Ⅱ型囊腔,厚壁囊腔,囊腔厚度超过2 mm;Ⅲ型囊腔,疣状囊腔,即在囊腔壁上外生或内生,形成疣状赘生物;Ⅳ型囊腔,混合囊腔,即组织在囊腔内混杂生长,形成类似分割、散在分布的影像特点。总体上目前,关于囊腔型肺癌的研究较少,而且样本量普遍较小。即便是在复旦肿瘤/上海肺科这样的顶级平台,检索自身数据库总结发表的囊腔型肺癌相关报道,最大宗也不超过400例。在临床工作中,对于囊腔型肺癌,我的感想有以下几点:
1、磨玻璃密度伴空腔的几乎都是肺癌范畴的,而实性结节伴空腔的则并不一定;
2、囊腔型肺癌影像诊断的三要素(叶建明个人总结,仅供参考):囊壁厚薄不均、血管进入囊壁穿行、内壁不光滑(或再加上整体轮廓与边界清楚);
3、囊腔型肺癌的大小空腔部分算不算没有确切说法,但个人以为评估风险时不能把空腔算进去,毕竟只是含气囊腔,又不是肿瘤的有形成分,怎么能算它的直径算到肿瘤大小里面呢;
4、囊腔型肺癌的风险高低不在于有无囊腔,仍在于囊壁与肿瘤成分的密度,纯磨风险低,实性成分风险增加同样适用于囊腔型病灶;
5、从临床经验上来看,囊腔型病灶囊壁的实性成分容易是中低分化的亚型,差不多密度或大小的肿瘤有形成分,其风险可能高于非囊腔型肺癌。

