Crush双支架术式更适合高危复杂的左主干分叉病变
时间:2025-04-10 12:15:49 热度:37.1℃ 作者:网络
Crush双支架术式
病例资料
患者男性,81岁,因反复胸痛、胸闷1个月入院。当地医院就诊后坚决拒绝CABG,血压偏低。

肌钙蛋白T 2.34μg/L ↑
谷草转氨酶 139U/L ↑
肌酸激酶 151U/L
肌酸激酶同工酶 17U/L
尿素氮 19.56mmol/L ↑
葡萄糖 6.36mmol/L ↑
乳酸脱氢酶 317U/L ↑
肌酐 239μmol/L ↑
钙 2.19mmol/L
钾 5.23mmol/L
氯 99.3mmol/L
钠 136.4mmol/L
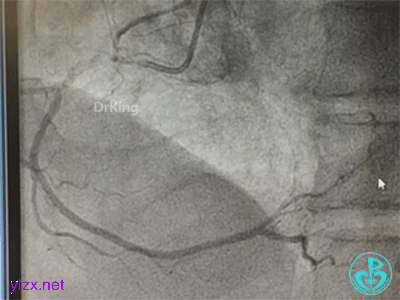
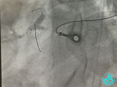
冠脉造影
右冠脉近中段不规则狭窄。短左主干中度狭窄,前降支开口严重狭窄,多功能造影导管推注造影剂时无反流,导管退出左主干开口造影发现左主干狭窄严重。




治疗过程
患者血压持续偏低,加快输液速度,IABP预备,去甲肾上腺素微量泵静脉输注提高血压。
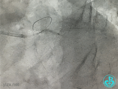
更换指引导管,导丝分别进入前降支和回旋支,球囊分别扩张前降支开口和回旋支开口,IVUS确认左主干及分支开口病变,前降支中段植入支架,对角支开口球囊扩张。
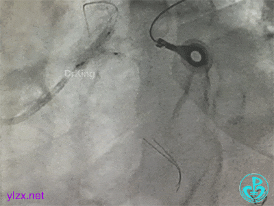
左主干分叉病变采取Crush双支架术式,回旋支开口植入支架,前降支开口球囊挤压后左主干到前降支植入支架(Crush双支架术式)。





导丝准备穿支架网眼Rewire回旋支时患者血压继续下降。去甲肾上腺素微量泵剂量逐渐增大至25ml/h,立即置入IABP,血压回升后再继续操作。


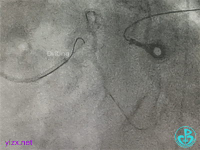
导丝Rewire回旋支,非顺应性球囊分别后扩张前降支和回旋支支架,对吻扩张。

患者术中血压偏低,一度出现烦躁。及时IABP置入是手术能顺利完成的保障。术前的准备很全面,造影结果如下。



