粗大右冠脉急性闭塞大量血栓溶栓成功后再闭塞
时间:2025-04-09 12:08:30 热度:37.1℃ 作者:网络
01 病例资料
患者男性,48岁,因反复胸闷胸痛3天入院。
无吸烟、饮酒嗜好。
既往史:高血压2年,高血脂症,糖耐量异常。
02 入院检查
血压100/73mmHg,口唇发绀,颈静脉无怒张,双下肺可闻及啰音,心界叩诊正常范围,心率110次/分,律齐,各瓣膜听诊区未闻及明显病理性杂音,肝脾未及,双下肢不肿。舌红苔白腻,舌底脉络迂曲,脉滑。
心电图示Ⅱ、Ⅲ、aVF、V₁~V₆导联抬高0.1~0.3mV。
TnI 0.049ng/ml、Myo及CK-MB正常。
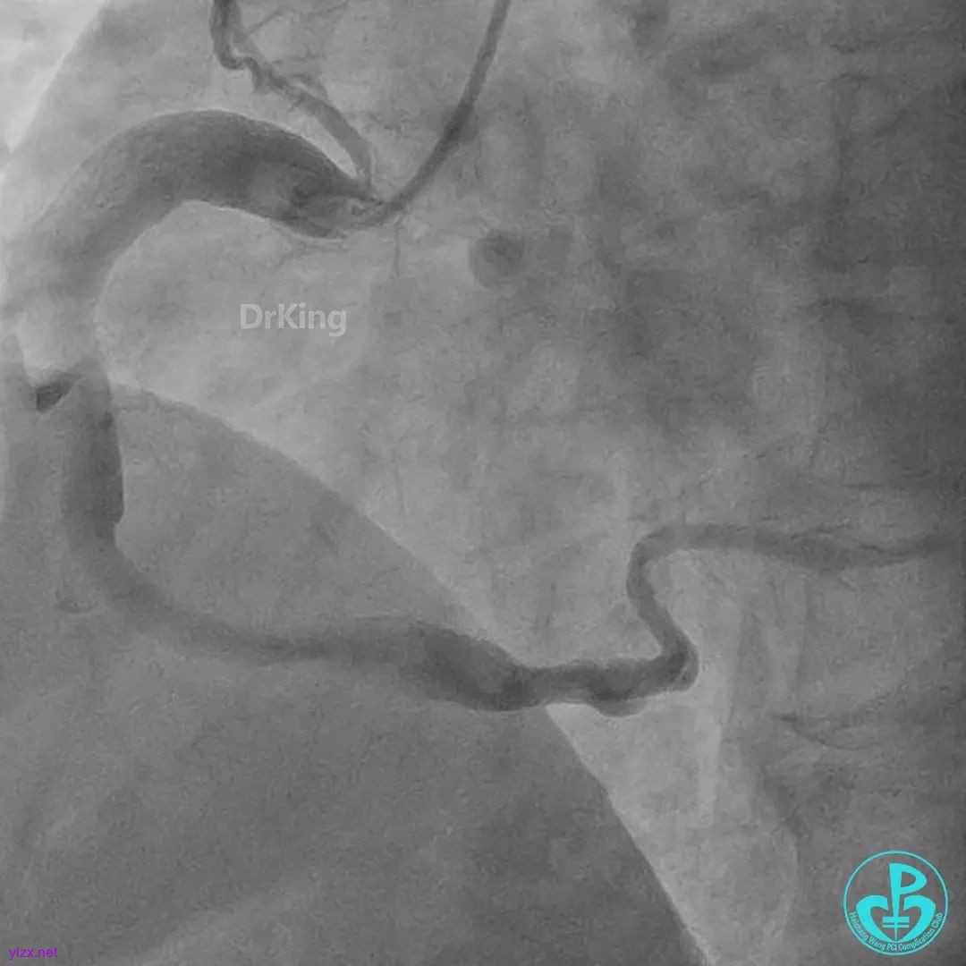
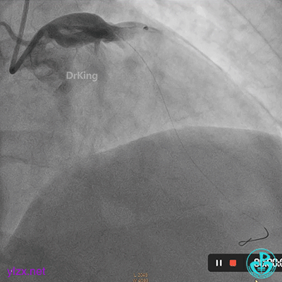
03 急诊冠脉造影
右冠脉粗大,近中段瘤样扩张明显,中段闭塞,局部可见大块血栓影。

前降支开口至近段明显瘤样扩张,中段闭塞,第一对角支粗大,无明显狭窄。

LCX发育小,内膜不光滑,血流3级。

04 治疗过程
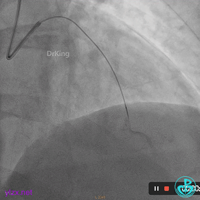
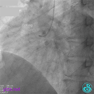
首选开通右冠脉,导丝到达闭塞段远端,球囊扩张后,可见大量血栓,抽吸导管反复抽吸出大量血栓。冠脉内推注尿激酶原20mg,复查造影提示右冠脉远端显影,调整导丝至远段。
球囊再次扩张闭塞段,并对后降支及左室后支开口行对吻球囊扩张,复查造影示血流3级,无夹层行成,右冠脉远段仍可见血栓影。




05 术后用药及检查
阿司匹林肠溶片+替格瑞洛片抗血小板聚集,普通肝素泵入抗凝。
厄贝沙坦片、瑞舒伐他汀钙片、琥珀酸美托洛尔缓释片。
泮托拉唑钠肠溶胶囊。




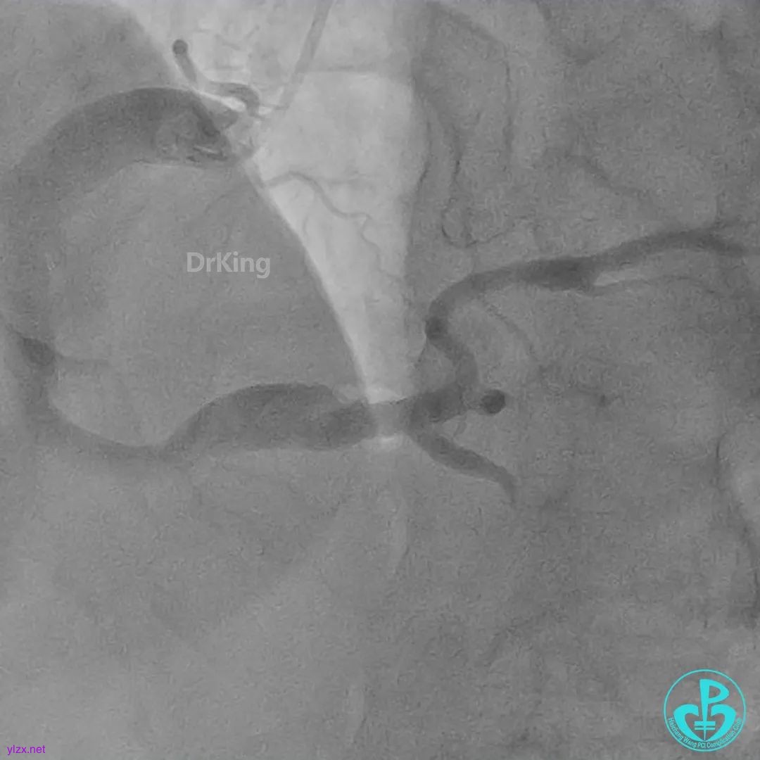
06 8天后复查冠脉造影
RCA粗大近中段瘤样扩张明显,中段血栓影消失,左室后支显影,后降支近段可见造影剂滞留, TIMI血流3-级。


出院治疗及随访计划:
阿司匹林肠溶片100mg qd
替格瑞洛片90mg bid
利伐沙班片10mg qd
沙库巴曲缬沙坦钠片50mg bid
琥珀酸美托洛尔缓释片95mg qd
瑞舒伐他汀钙片10mg qn
螺内酯片20mg qd
恩格列净片10mg qd
泮托拉唑钠肠溶胶囊20mg qd
1个月后复查冠脉造影及处理前降支病变。
07 2个月后再次造影



处理前降支病变,导丝Pilot 50通过LAD病变到达远段,沿导丝送入穿通导管至远段,回抽有血,造影提示在真腔。
PTCA球囊扩张后无前向血流,以硝普钠反复行冠脉内局部药物释放治疗术。
复查造影提示LAD血流恢复TIMI血流2-级。






调整治疗方案:
阿司匹林肠溶片100mg qd
硫酸氢氯吡格雷片75mg qd
利伐沙班片10mg qd
沙库巴曲缬沙坦钠片50mg bid
琥珀酸美托洛尔缓释片95mg qd
瑞舒伐他汀钙片10mg qn
依折麦布片10mg qd
尼可地尔片5mg tid
曲美他嗪片35mg bid
恩格列净片10mg qd
泮托拉唑钠肠溶胶囊20mg qd
说明:患者三联抗凝治疗,因出现鼻腔出血症状,停替格瑞洛片,改为氯吡格雷。LDL-C不达标,加用依折麦布。冠脉血流慢,加尼可地尔。
08 1个月后复查


RCA粗大全程瘤样扩张明显,自近段闭塞,TIMI血流0级;可见自身桥侧支逆供RCA远段。
LM未见明显狭窄,LAD开口至近段明显瘤样扩张,自近段闭塞,TIMI血流0级,D1瘤样扩张,TIMI血流2级;可见D1逆供LAD中远段及RCA中远段。
LCX发育小,内膜不光滑,TIMI血流3-级,逆供RCA中远段。
出院治疗:
阿司匹林肠溶片 100mg qd
硫酸氢氯吡格雷片75mg qd
华法林钠片3mg qd(循证证据更多)
沙库巴曲缬沙坦钠片50mg bid
琥珀酸美托洛尔缓释片95mg qd
瑞舒伐他汀钙片10mg qn
秋水仙碱片0.5mg qd(降低复合事件终点)
恩格列净片10mg qd
泮托拉唑钠肠溶胶囊20mg qd

