问诊分析:考虑囊腔型肺癌得手术但多次脑梗塞发作,怎么办?消融可否替代手术?
时间:2025-04-07 12:12:33 热度:37.1℃ 作者:网络
前言:检查出来的肺囊腔型病灶,随访过有所扩大,医生说怕是肺癌本拟手术,但偏偏又发生脑梗塞,手术被延误。能再随访吗?可否先消融治疗?还说对侧也有病灶,难道也是肺癌?要一起开刀切掉吗?真的生病了,许多问题与AB选会接踵而至,对于没有医学知识的普通百姓到底该如何选择,关键是医生也是意见不一致呀!有这样说,也有那样说,让患者及家属更是不知道该听谁。我们来看看前段时间有位问诊结友的情况。
病史信息:
基本信息:
男性, 73岁。
主诉:
发现肺部结节2年。
现病史:
患者2023年第一次脑梗,平时一直在服药;2025年初又发生第二次脑梗塞,自己没有明显症状。检查CT时发现肺部结节,医生说结节不太好需要手术。遂来就诊。患病过程中精神尚可,饮食睡眠可,大小便正常,体重未见明显变化。
患病时长:
2年
曾就诊医院:
某市人民医院,某工大学附属医院
希望获得的帮助:
请教主任以下问题?1、因刚脑梗过,说4月再手术,请问主任两边是不是可以一起做。2、手术过程中结节是否会破。3、术后再会不会再长。4、这种结节从开始有到恶性,大概周期是多久?5可以消融吗? 年初属于又一次急性脑梗,自己没有啥症状。三个月之后是不是可以做肺手术?
影像展示与分析:
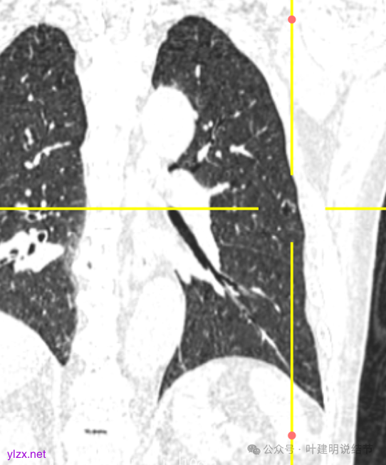
先来看2025年1月的影像:

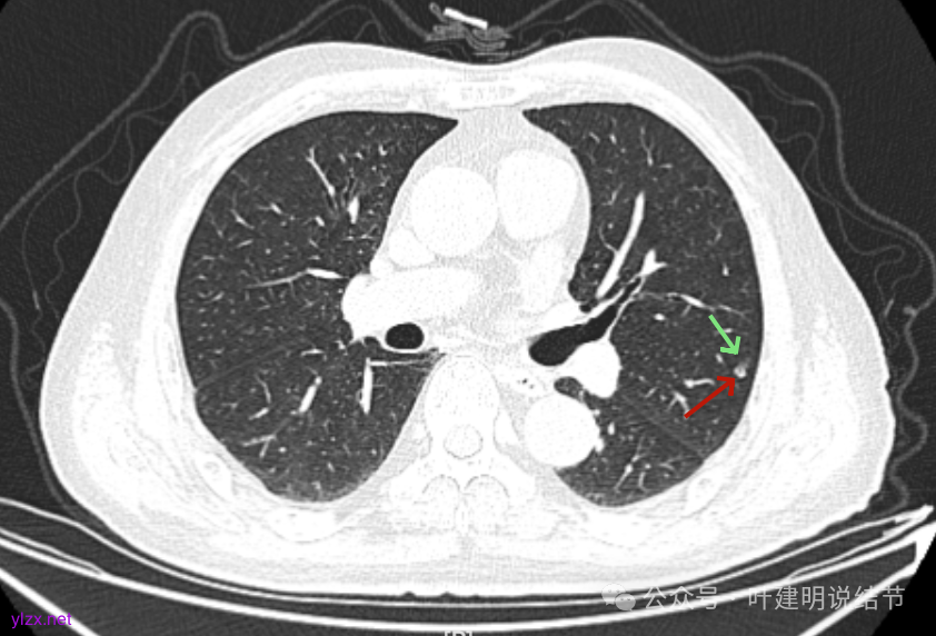
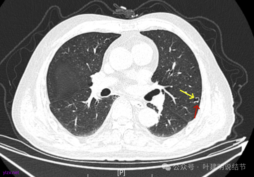
病灶出现,有少许磨玻璃成分,整体轮廓较清,实性部分较为光滑。

有囊腔,表面不平,部分囊壁是磨玻璃成分。

病灶囊壁稍不均,多密度较高,表面欠平。

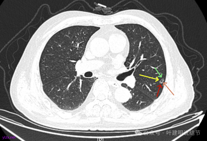
病灶整体的囊壁稍不均,靠内侧有磨玻璃成分。

囊壁不厚但密度较高。

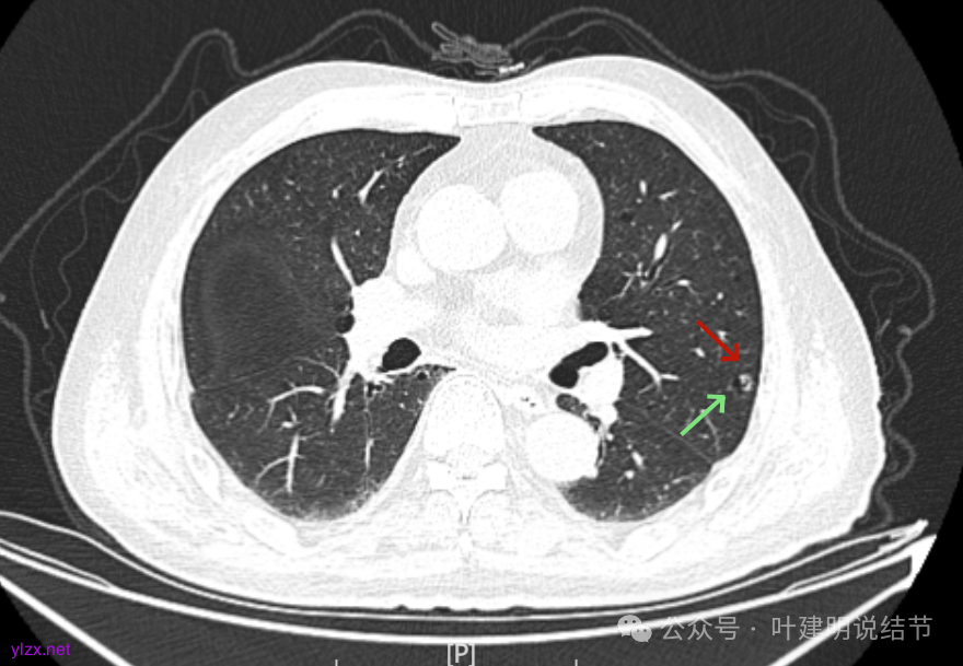
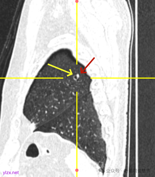
囊腔内壁稍显不光滑,有少许突起于囊腔内。

上图也见囊腔内壁有突起,此层囊壁大部分呈磨玻璃密度。

边缘区是淡磨,内壁少许突起。

冠状位见病灶囊壁不均,表面不光滑,囊腔内壁也不太平整。

矢状位见病灶囊壁有结节状高密度。

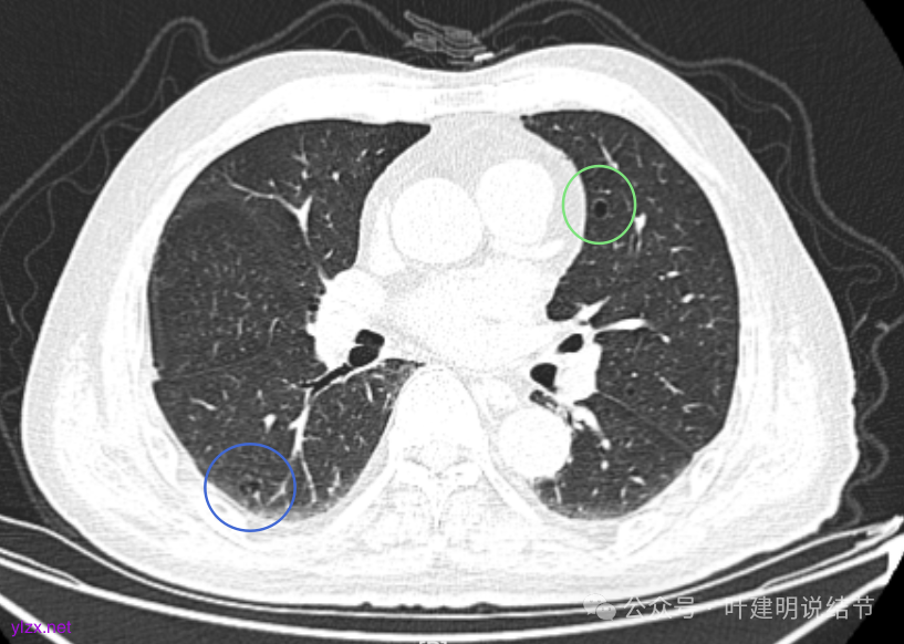
右下叶也有囊腔灶。

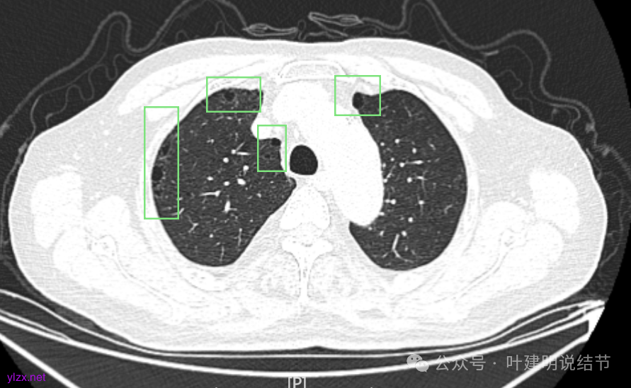
两肺其他地方多处肺大泡。
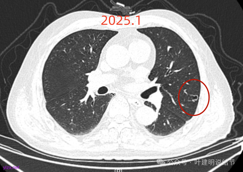
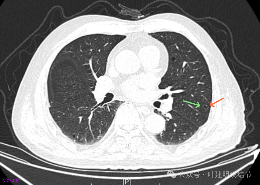
再看2023年时的影像主要层面:

左上当时也有,但囊壁明显是较现在薄的。
我的回复:
左肺上叶红色这处是囊腔型病灶,囊壁略不均,似有微小血管进入囊壁,对比2023年4月整个囊腔来讲有扩大,需要考虑囊腔型肺癌的可能性大。右侧蓝色的并不是典型囊腔型肺癌的表现,再加上两肺绿色这些慢支肺气肿与肺大泡的影像,右侧的就更加不确切,至少近期不能够考虑右侧也要开刀的事情。其实左侧的主病灶相对于其他表现更典型的囊腔型肺癌来说,由于囊壁密度偏高,也不是百分百必定是肺癌。我的想法还是先等脑梗情况稳定,并且间隔4~6个月复查病灶再有进展在考虑单孔胸腔镜下局部切除就可以。淋巴结可以考虑采样,但一般不至于阳性。破是不会切破的。消融不建议,囊腔灶更难通过穿刺获得病理依据,况且东西在边上,能局部楔切,当然首选手术。意见供参考!
感悟:
左侧这个病灶总体上看仍是囊腔型肺癌可能性大些,但因为其两肺存在多发肺大泡的基础,而且囊壁除了结节状高密度的以外,其他的部分虽欠均匀,但差别并不太大。所以100%恶性还是难以认定的。假如没有脑梗情况,位置在边上,早点切了明确并去除病灶当然是可行的。但在反复脑梗发作的情况下,本身要神经内科情况稳定再手术较为安全,加上无法确切认定必恶性,再适当的随访也不至于影响预后。所以仍是利弊权衡与如何平衡的事情。对于这种囊腔灶,或囊肿为表现的肺癌,其实穿刺不容易阳性,针越过组织的距离并不长,其内又是空的或是液体性质的。从临床经验来看,囊腔型肺癌若囊壁是实性的,确实低分化类型的更常见些,相对风险较高些。但若是囊壁磨玻璃成分的,则也仍是贴壁为主型多见。而且从大小来讲,个人总觉得囊腔部分不能算大小,肿瘤的有形成分应该是减去空腔部分的,所以不能认定CT上测量的包括囊腔部分的来算肿瘤大小的T值。

