MemoSorb®生物可降解ASD封堵器成功封堵近主动脉根部儿童房间隔缺损
时间:2025-04-07 12:09:46 热度:37.1℃ 作者:网络
1 病例分享
基本信息
患者男性,4岁。
超声报告
心脏位置及连接正常。各房室腔无明显增大,左室收缩活动可。主动脉三叶瓣,活动可。左右冠状动脉开口可见。肺动脉稍宽,瓣膜开放活动可。房室开放活动可;三尖轻度反流,反流速2.0m/s。房间隔缺损约5.4mm×5.2mm(继发型),近主动脉根部,缺损周围组织较薄软,距上腔静脉12.2mm,距右上肺静脉15.2mm,距二尖瓣环7.4mm,缺损下缘22.6mm,左向右分流为主,偶见右向左分流。沿室间隔未显示明显分流。
2 临床策略
选伞考量
(分型)继发孔型房间隔缺损,入院后术前测量房间隔缺损约5.4mm×5.2mm,考虑到缺损距主动脉根部较近,初步计划选择BDASD-Ⅱ 12封堵器进行封堵。
手术策略
选择BDASD-Ⅱ 12封堵器、14F可降解封堵器介入输送系统进行封堵,手术全程通过DSA引导进行,结合经食道超声与经胸超声判断封堵器形态。
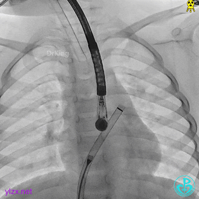
3 手术过程
DSA下建立轨道
导管送至左心房中部。

送入加硬导丝至左上肺静脉。

送入封堵器
鞘管沿着导丝送入左房。

前推钢缆,送入封堵器。

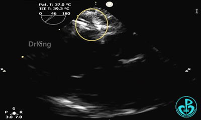
左盘展开
左盘展开,牵拉成型线,使左盘面成型。

右盘展开
右盘展开,牵拉成型线使得封堵器双盘扣合住间隔。

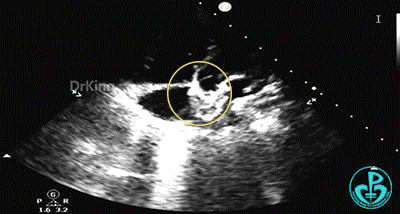
锁定前确认
牵拉试验,封堵器骑跨于缺损两侧。
封堵器整体稳定,仅右盘随钢缆牵拉移动。

封堵器锁定
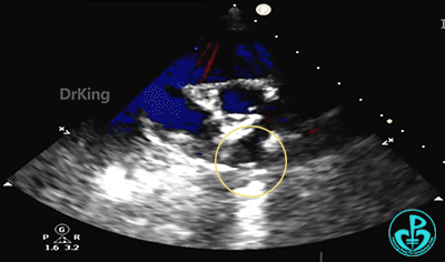
锁定后,主动脉短轴切面显示封堵器呈Y字型抱住主动脉根部。
牵拉稳定,锁定成功。
牵拉试验,封堵器位置固定,未见明显位移及形变。

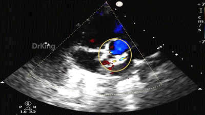
完全释放后超声下观察
主动脉短轴切面显示封堵器呈Y字型抱住主动脉根部,夹持稳定。

封堵器形态良好,未见分流,封堵成功。

4 病例小结
1. 本次采用可降解封堵器为一名4岁患儿成功实施了房间隔缺损封堵术。房间隔缺损(ASD)是临床上常见的先天性心脏畸形,多数患者在儿童期无明显症状,但随着年龄增长,可能出现心悸、气短、乏力等症状,甚至导致肺动脉高压、心力衰竭等严重并发症[1]。因此,一旦确诊,早期干预至关重要。
2. 该患儿缺损部位紧邻主动脉根部,使用金属封堵器进行封堵可能增加封堵器与主动脉根部之间的接触风险,对主动脉造成压迫,引发组织磨蚀、血栓等长期并发症。基于孩子远期健康的考量,本例患儿选择了可降解封堵器进行封堵。可降解房间隔缺损封堵器专利成型锁定设计,可确保封堵器稳定夹持主动脉根部;同时其贴壁、贴合效果好,锁定后封堵器紧密贴合于缺损部位利于内皮化,使其在封堵靠近主动脉根部等复杂房缺治疗中临床优势显著。
3. 生物可降解房间隔缺损封堵器作为组织自主修复的桥梁,植入1年左右可安全降解,最终分解成二氧化碳和水排出体外,不易磨损心脏正常组织,降低了金属封堵器永久留存体内带来远期并发症的风险,不影响患儿康复后的生活、学习,为儿童患者带来长远获益。
感谢上海儿童医学中心李奋教授团队的病例分享
[1]朱天雨, 韩波. 儿童房间隔缺损经皮介入封堵相关并发症防治进展 [J] . 国际儿科学杂志, 2024, 51(7) : 431-435

