可降解ASD封堵器成功治疗8月龄发育迟滞患儿:腋下经胸微创路径封堵房间隔缺损
时间:2025-04-05 12:08:20 热度:37.1℃ 作者:网络
1 病例分享
基本信息
患者男性,8个月,发现心脏异常8个月。
现病史:8个月前,患儿出生后因“感染”住院治疗,行心脏彩超示:房间隔缺损,未予特殊治疗,建议随诊观察。平素体弱,生长发育欠佳,易出汗。后来西安市儿童医院复查心脏彩超示:房间隔缺损,建议手术治疗。现为求进一步诊治来医院,门诊以“房间隔缺损”之诊断收治入院。
既往史:1个月前,患儿因“支气管肺炎”于外院住院治疗2周,期间发现“前囟早闭,甲状腺功能异常”。
个人史:足月剖宫产,出生时无窒息,生长发育较正常同龄儿稍差。现独坐不稳。医院儿保科评估为生长发育迟滞。
超声影像


超声描述:心脏位置及连接正常。右房右室扩大,左心内径正常。室壁厚度正常,运动正常。左室收缩功能正常范围。房间隔中部可见回声中断,范围约9.0×10.0mm。彩色多普勒显示:房水平左向右分流。室间隔连续完整。各瓣膜形态、结构、启闭运动未见明显异常。彩色多普勒显示:三尖瓣微量反流Vmax 279cm/s,PG 31mmHg,估测肺动脉收缩压36mmHg。大动脉关系及内径正常,左位主动脉弓,弓降部连续。心包腔未见异常。双冠脉起源及近端内径未见明显异常。
超声诊断:
① 继发孔型房间隔缺损(中央型)。
② 彩色多普勒显示:房水平左向右分流。
③ 三尖瓣微量反流。
2 临床策略
术中复测
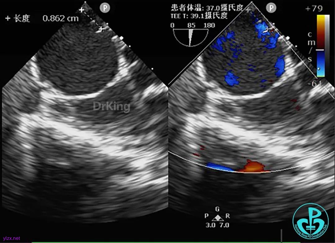
术中经食道超声复测缺损大小为8.62mm。
封堵策略
患儿年纪尚小,仅有8个月,考虑到美观度、安全性以及术后恢复速度,选用纯超声引导腋下经胸微创路径,故综合术中复测值与术前超声报告,选择BDASD-Ⅱ 14可降解ASD封堵器封堵缺损。

3 手术过程
展开左右盘面
先后展开左右盘面并前推钢缆辅助成型,而后确认封堵器位置是否合适并评估血流。
经评估,封堵器形态大小合适,彩超提示无血液分流。

成型锁定
钢缆和鞘管轻轻抵住房间隔,固定钢缆和鞘管并牵拉成型线锁定,超声下观察封堵器形态,封堵器呈工字形稳定骑跨于房间隔两侧,成型良好。

牵拉试验
牵拉试验时,封堵器形态稳定,形态未发生改变,判定锁定成功。

封堵成功
最后封堵器盘面稳定夹持房间隔,封堵器成型良好,未见分流,封堵成功。

术中风采



4 病例小结
1. 本例患者出生时因感染住院检查,超声发现有房间隔缺损。由于当时患者为新生儿,缺损有自愈可能,故予以处理后,出院并后续观察随访。术前1个月,患者再次因支气管肺炎住院,期间发现前囟早闭,甲状腺功能异常,提示患儿的发育受到影响。支气管肺炎治疗完成后,患者再次来院复查房间隔缺损,超声提示缺损范围为9mm×10mm,右心房心室增大,负荷加重,伴有轻度的肺动脉高压。此外,患儿不能独坐,运动功能明显落后于同龄水平,医院儿保科对其发育进行评估,诊断为发育迟滞。患者无其他可能导致发育迟滞的诱因,因此生长发育迟滞极有可能由房间隔缺损导致。患儿有右心室增大,且缺损大小超过8mm,后续自愈概率较低[1],因此需要进行干预。在常见先天性心脏病介入治疗专家共识中,小于3岁伴有右室压力增大为相对适应症[1]。心导管介入手术可以纠正先心病患儿生长发育滞后,并使其逐步恢复到正常水平[2],结合患者生长发育迟滞,免疫力下降,甲状腺功能异常,前囟早闭,肺动脉高压等情况,综合决定封堵房间隔缺损。
2. 患儿年纪不到1岁,为避免在成长过程中增添心理负担,选用可降解房缺封堵器。可降解封堵器实现1年左右降解为水和二氧化碳排出体外,实现自体组织替代修复。不仅大大减轻患儿的心理负担,且对患儿未来的学业事业无影响。患儿年纪小,血管较细,无法行经股入路,故行纯超声经胸小切口路径实施封堵。腋下经胸微创路径皮肤切口小,仅约1cm,伤口隐蔽,较为美观,术后对患儿心理健康及外貌影响较小,且能避免与胸骨或肋骨相关的并发症[3],更适合幼儿,因此选用腋下切口入路。同时,手术全程经食道超声引导监测,无需射线照射,避免了射线对患儿的潜在伤害。术中测量患者房缺大小,为8.62mm。最终选用无金属显影点的BDASD-Ⅱ 14可降解ASD封堵器进行封堵。
3. 此为可降解房缺封堵器首次应用于1岁以内婴儿。锁定伞盘后,牵拉试验显示封堵器稳定。释放后,封堵器稳定骑跨在房间隔两侧,呈现工字形,稳定夹持,无残余分流,封堵成功。
感谢西安市儿童医院郭建军教授的病例分享
[1]朱鲜阳. 常见先天性心脏病介入治疗中国专家共识 一、房间隔缺损介入治疗 [J]. 介入放射学杂志, 2011, 20 (01): 3-9.
[2]佘志军,辜和平,周少雄. 先天性心脏病导管介入治疗对小儿生长发育和内分泌功能的影响[J]. 中国实验诊断学,2004,8(4):359-361. DOI:10.3969/j.issn.1007-4287.2004.04.021.
[3]Gupta S, McEwen C, Eqbal A, Haller C. Minimally Invasive Surgery for Congenital Heart Disease. Ann Thorac Surg. 2024 Oct;118(4):953-962. doi: 10.1016/j.athoracsur.2023.11.032. Epub 2023 Dec 9. PMID: 38081499.

