问诊分析:这个右上肺空腔型占位性病变上海两大最大专科医院一说肺癌一说感染,而我说……
时间:2025-04-04 12:09:56 热度:37.1℃ 作者:网络
病史信息:
基本信息:
女性, 53岁。
主诉:
咳嗽近三周,CT检查提示右肺上叶空洞病变。
现病史:
3月初病毒感冒后持续咳嗽近三周,在本地某肿瘤医院拍胸部CT后疑似肺癌,遂到上海A医院和B医院看过(均是国内最著名的专科医院),一个主任说是恶性的要做pet和穿刺,一个主任说像是真菌感染,需要消炎两周一个月以后再复查CT,现在很崩溃不知道我到底是什么情况。
曾就诊医院:
某市第一医院、上海A医院、上海B医院。
希望获得的帮助:
希望叶医生帮忙确诊是否为恶性肿瘤。
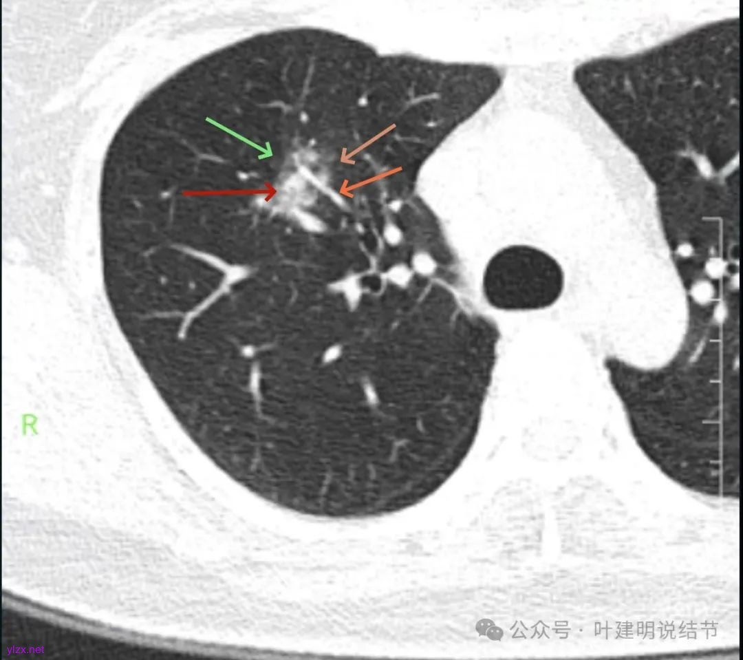
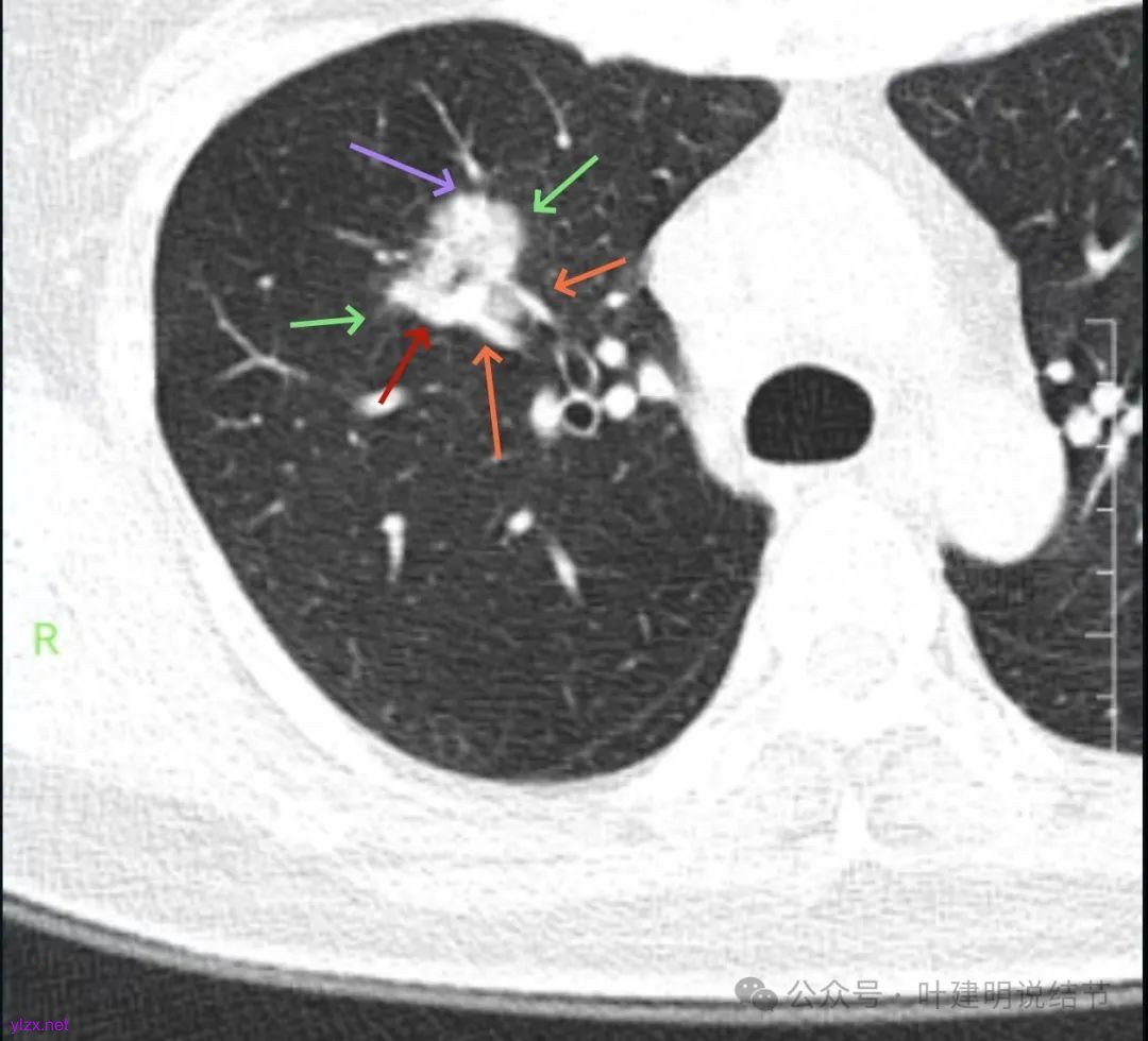
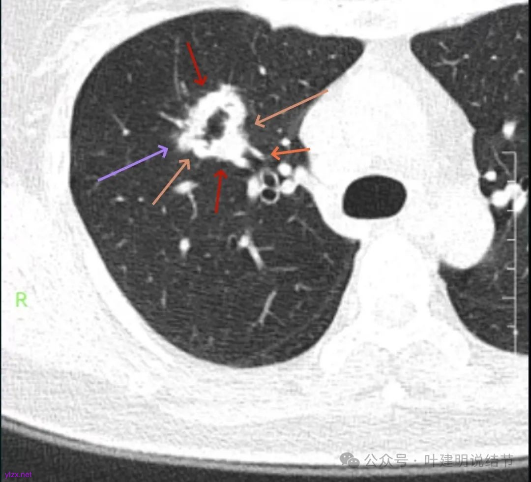
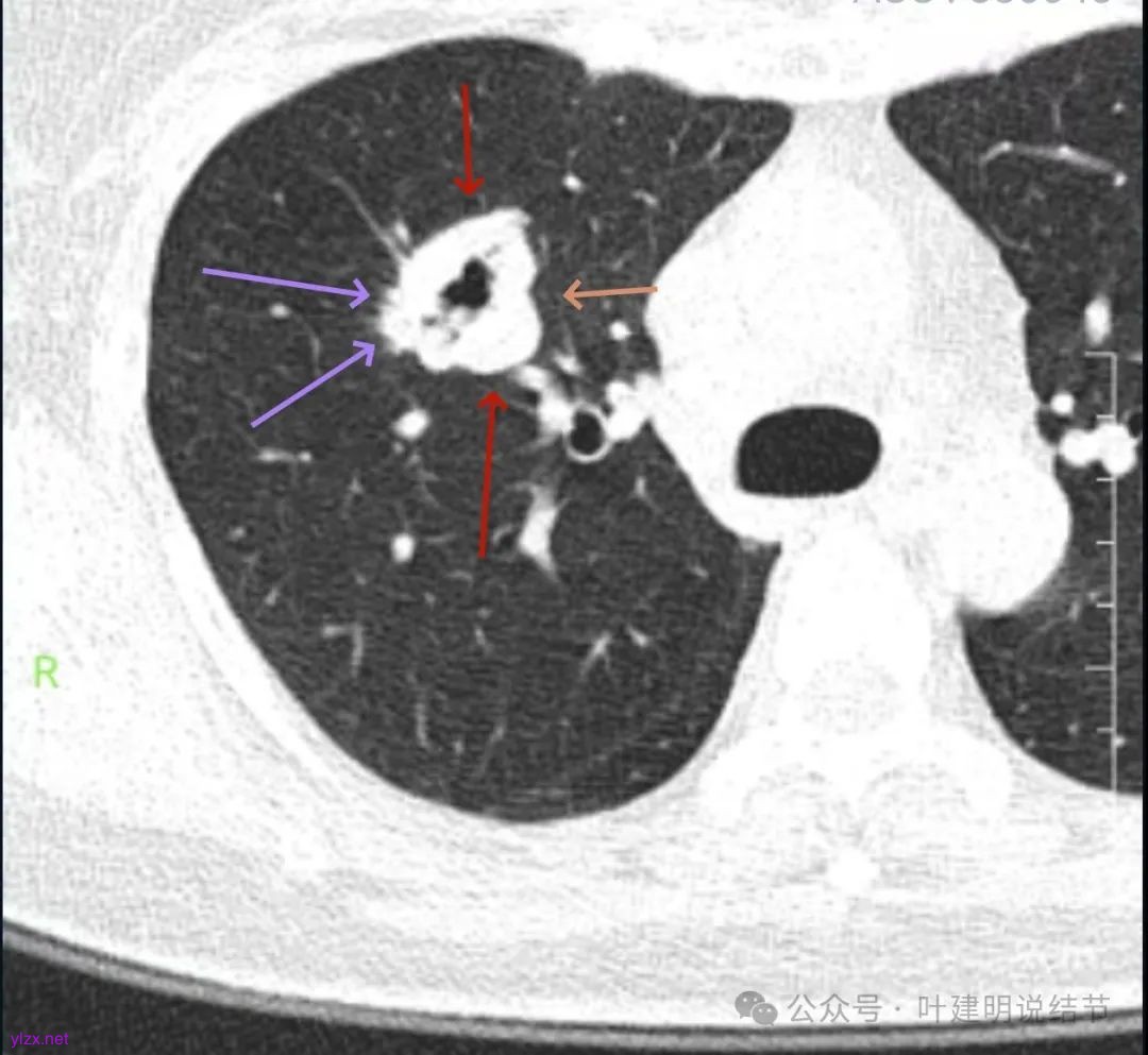
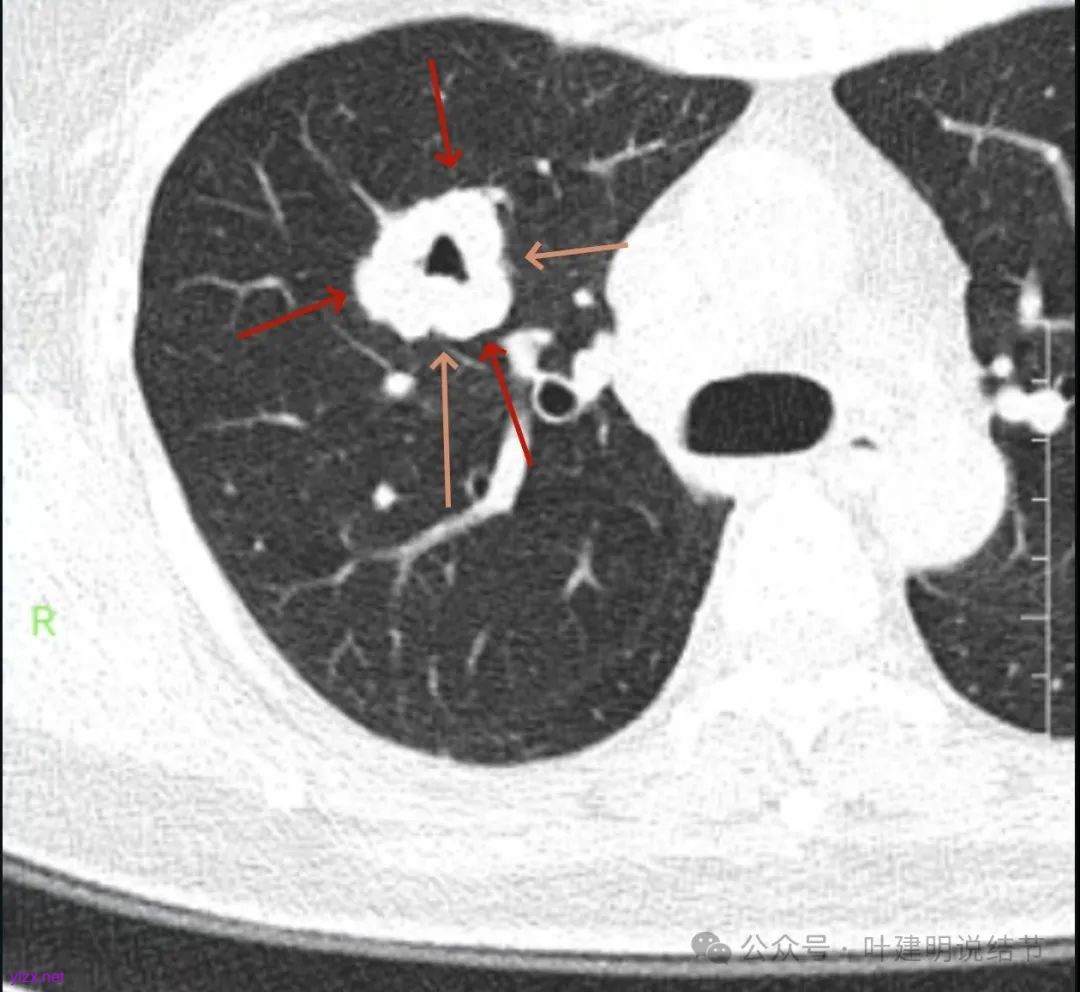
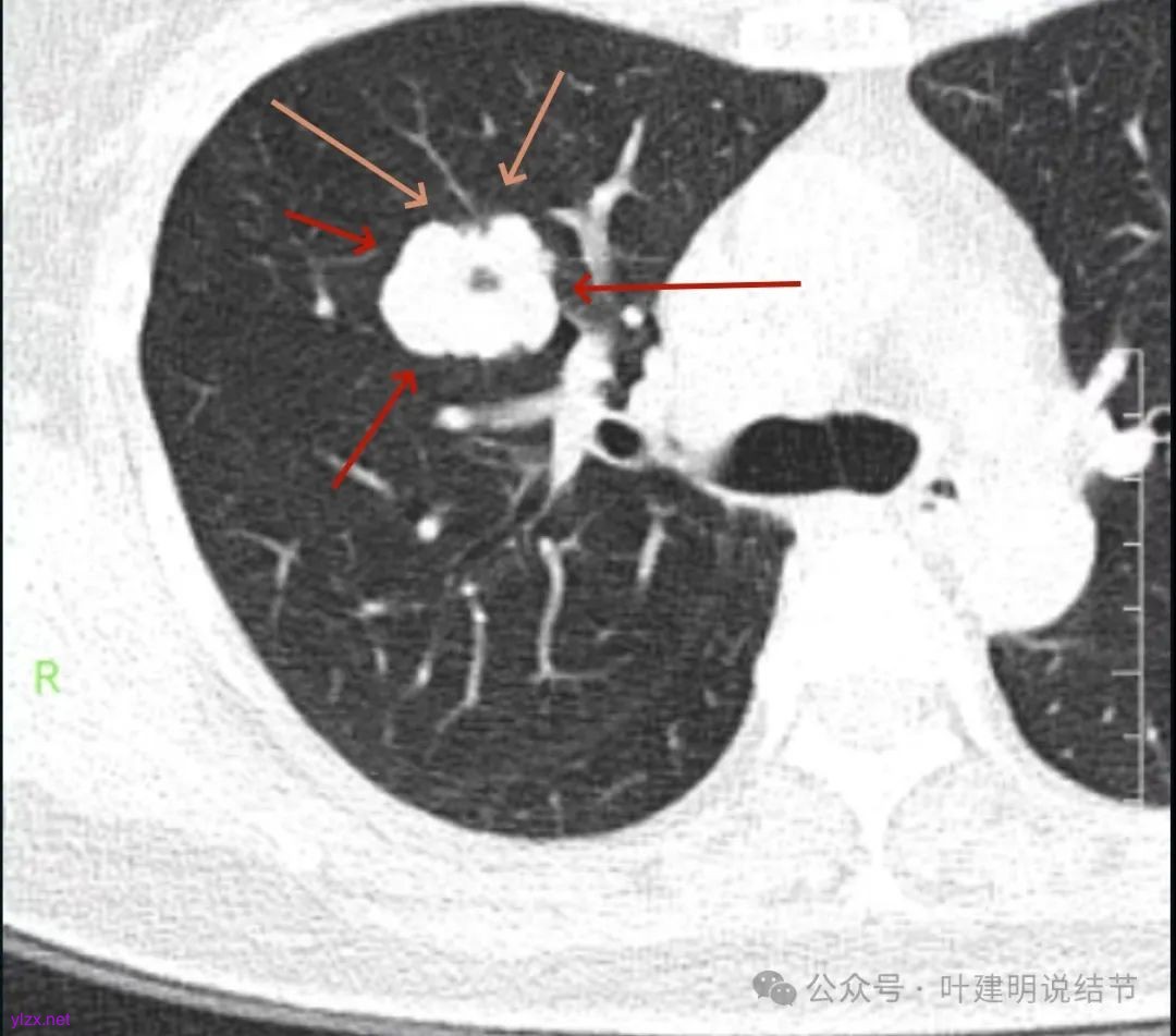
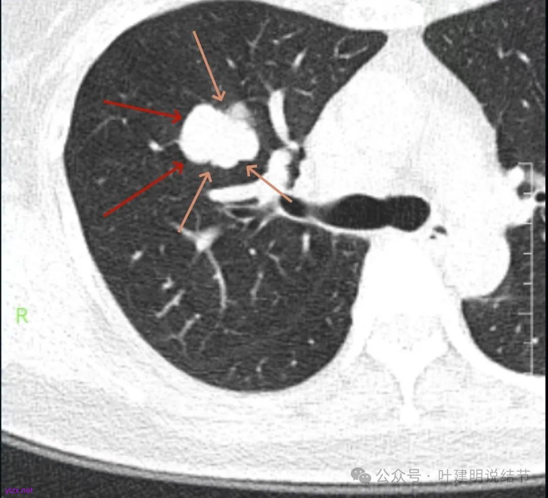
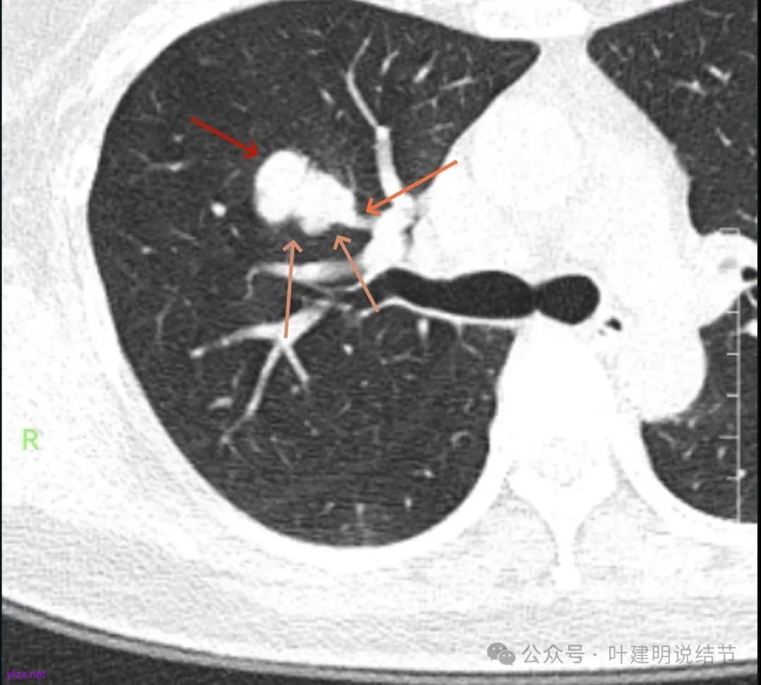
影像展示与分析:












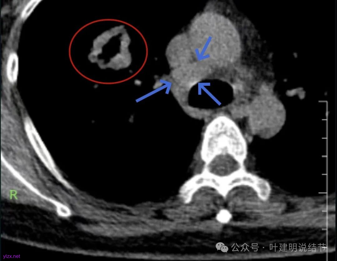
腔静脉旁明显肿大淋巴结。
我的意见:
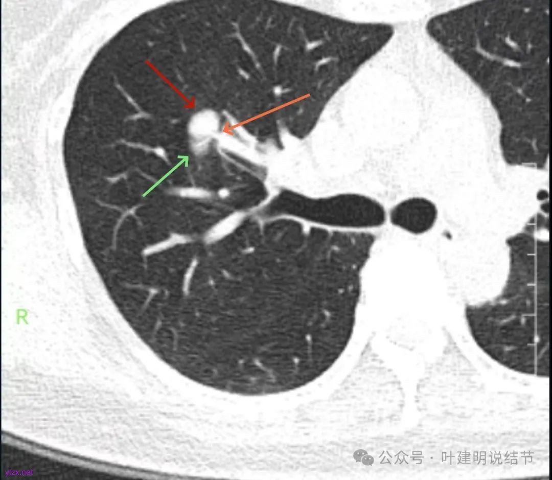
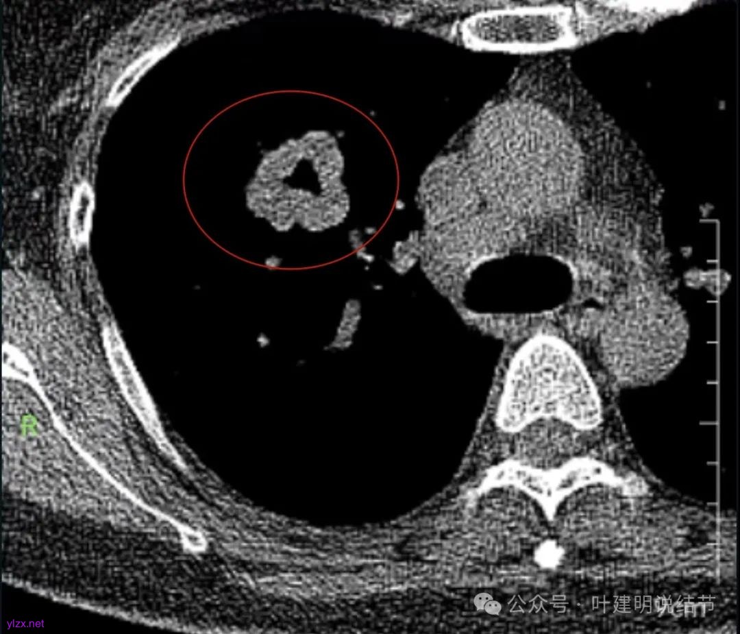
你的右上叶这个病灶基本上肯定是肺癌,要尽快处理。从影像上看有以下特点:1、整体轮廓清楚,不似普通炎症的周围有晕或阻塞性改变;2、边缘明显的浅分叶,总体上的感觉膨胀性明显,不管哪个层面看上去都是鼓鼓的;3、边缘区域有磨玻璃成分而且也是分叶状的;4、部分层面见血管进入;5、空腔病灶的壁厚薄不均,内壁不光滑。我考虑中低分化肺癌,由于腔静脉旁有明显肿大淋巴结,需要进一步完善增强CT以及PET-CT检查以明确有无远处转移,是否仍可手术治疗(从病灶本身来说是可以肺叶切除治疗的)。要尽快处理。意见供参考!
感悟:
这个病灶居然在国内顶级医院诊断为真菌感染?太意外了!有比这更典型的肺癌伴空洞的表现吗?给人的感觉肿瘤恨不得一夜之间占据整个上叶或胸腔的样子。我倒不担心诊断肺癌错了,而是怕恶性程度太高,还有没有手术机会,以及PET若没有远处转移仍能切除,切除后的远期效果会不会仍不好,大概率是低分化的病理类型。见识越多的病例,越发现一边是过度治疗盛行,一边是误诊也不鲜见,即便是大医院。

