胶片里的锐角和钝角
时间:2022-12-22 20:59:11 热度:37.1℃ 作者:网络
扁平足又称平足症,一种以足内侧纵弓塌陷为主要表现的足部畸形。很多平足者特别是儿童平足没有症状,也不需要治疗。少数畸形严重或症状明显者需保守或手术治疗。目前扁平足的X线测量使用不多,但是作为影像科医生,我们依然要了解掌握扁平足的X线测量方法,以备不时之需。应负重条件下摄足正侧位X线片,主要在足侧位片测量足弓的角度改变。
跟骨角
-
正常值:男性28°~40°,女性25°~42°
-
距跟后关节上缘和跟骨结节后上缘的连线与跟骨上关节面连线间的夹角
-
跟骨角变小,提示有扁平足或跟骨骨折;角度增大,提示弓形足
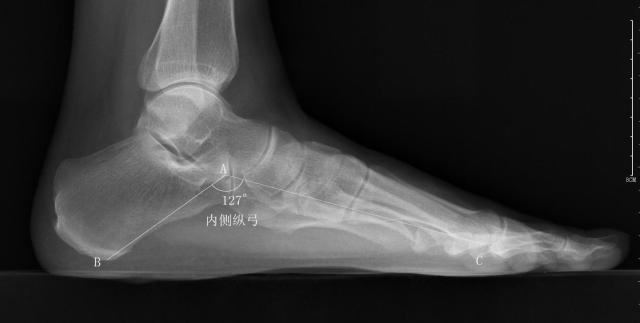
内侧纵弓
-
正常值:113°~130°
-
测量方法:从跟骨的最低点到距骨头的最低点作一条直线,再从距骨头的最低点到第1跖骨头最低点作一条直线,然后测量两条直线所构成的夹角
-
扁平足时内弓角增大,弓形足时相反
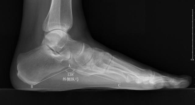
外侧纵弓
-
正常值:130°~150°
-
测量方法:从跟骨最低点到跟骰关节最低点作一条直线,再从跟骰关节最低点到第5跖骨头最低点作一条直线,然后测量两条直线构成的夹角
-
扁平足时外弓角增大,弓形足时相反
横弓--前弓角
-
正常值:>13°
-
测量方法:从第1跖跗关节最低点到第1跖骨头最低点作一条直线,再从第1跖骨头最低点到跟骨最低点作一条直线,然后测量两条直线所构成的夹角
-
扁平足时前弓角减小,弓形足时相反
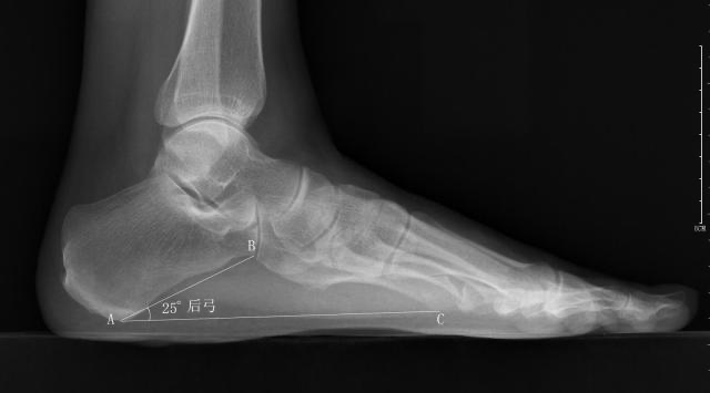
横弓--后弓角
-
正常值:>16°
-
测量方法:从跟骰关节最低点到跟骨最低点作一条直线,再从跟骨最低点到第5跖骨头最低点作一条直线,然后测量两条直线所构成的夹角
-
扁平足时后弓角减小,弓形足时相反


