支气管源性囊肿丨影像表现
时间:2022-11-18 20:53:51 热度:37.1℃ 作者:网络
支气管源性囊肿的CT诊断与误诊分析
罕少见丨腹膜后支气管源性囊肿
支气管源性囊肿
Bronchogenic Cyst
概述:
-
胚胎腹侧前肠出芽异常所致,大概发生在妊娠的第26-40天。
影像表现:
-
多位于中后纵隔(80%)
-
边界清楚、球形、单囊
-
薄壁,有强化、可见钙化
-
密度:从液体到软组织密度不等,可含钙乳
-
囊内容物无强化
-
MR T1WI上信号多种多样,T2WI呈高信号,与脑脊液相似
鉴别诊断
-
胸部先天性囊性病变:心包囊肿、胸腺囊肿、食管重复囊肿
-
纵隔囊性肿瘤:成熟性畸胎瘤、胸腺瘤、淋巴瘤
病理学:囊壁内衬呼吸道上皮,可见软骨、平滑肌、粘液腺

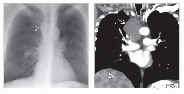
(左) 支气管型囊肿患者的PA胸片显示纵隔右上缘气管旁线异常增厚、凸起。
(右) 同一患者的冠状位CECT显示一个大的气管右旁支气管源性囊肿,均匀液性密度,另见多发无关的肝囊肿。
支气管性囊肿常表现为液体密度,可有难以察觉的囊壁(如本例),常邻近气管或隆突。

(左) 支气管源性囊肿,侧位胸片和轴位CECT图像显示其典型的影像学特征,病变表现为中后纵隔气管隆突下球状肿块,在CT上呈均匀水样密度。
(右) 图示支气管源性囊肿的经典形态学特征。为薄壁单房球形囊肿,隆突下是典型发病部位。

(左) 成人,有症状,支气管源性囊肿,X线片显示大的边界清楚的气管右旁肿块。
(右) 同一患者,NECT显示一个大的液体密度灶,扩展到隆突前方区域,可见双侧少量胸腔积液。
支气管源性囊肿可能完全无症状,但有症状的病变应行抽吸、消融或切除治疗。

(左) 无症状患者,支气管源性囊肿,NECT显示气管右旁水样密度灶。注意对邻近结构无占位效应。
(右) 吞咽困难患者,食管钡餐和CECT图像显示隆突后方球形囊肿,中段食管局部外压性改变。
(左) 慢性肾功能不全患者,轴位NECT表现为气管隆突下较大软组织密度肿块,奇静脉食管隐窝向外侧移位。
(右) 同一患者,T2WI显示病变为充满液体的囊肿,信号均匀。支气管源性囊肿的初步诊断可根据病变的部位、形态和MR表现而定。

