生物可降解ASD封堵器治疗头痛合并房性早搏房缺患者病例分享
时间:2025-04-14 12:08:24 热度:37.1℃ 作者:网络
1 病例分享
基本信息
患者女性,32岁。
主诉:反复头痛1年余,加重1个月。
现病史:患者1年前无明显诱因反复出现头痛不适,呈双侧颞部刺痛不适。1个月前头痛症状再发,动态心电图提示窦性心律不齐,频发房早、频发室早,心脏彩超提示房间隔缺损。
入院诊断:房间隔缺损(继发孔型);心律失常;房性期前收缩(房性早搏);室性期前收缩。
超声检查
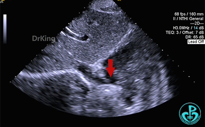
房间隔中部有回声中断,测ASD大小:8×8×9mm,CDFI探及左向右分流,距主动脉根部0mm,距二尖瓣环10mm,距房顶14mm,距上腔静脉13mm,距下腔静脉11mm。
心脏彩超提示:先天性心脏病:房间隔缺(继发孔型)。右室稍增大。左心室收缩及舒张功能正常。右心室收缩功能正常。下腔静脉瓣冗长。




2 临床策略
选伞考量
(分型)继发孔型房间隔缺损,入院后术前测量房间隔缺损大小:大动脉短轴切面约8mm,四腔心切面约8mm,剑突下切面约9mm,最终决定选择使用BDASD-Ⅰ 18封堵器进行封堵。
3 手术过程
左盘展开
左盘展开,牵拉成型线,使左盘面成型,后撤鞘管和钢缆,使封堵器左盘贴靠房间隔。

右盘展开
右盘展开,牵拉成型线使封堵器双盘更好的扣合于间隔上。

多切面观察封堵器位置形态,封堵器骑跨于缺损左右两侧。

准备锁定
锁定前,四腔心切面显示封堵器形态良好,牵拉试验,封堵器骑跨于缺损两侧,封堵器整体稳定,仅右盘随钢缆牵拉移动。

封堵器锁定
固定钢缆,前抵鞘管,牵拉成型线锁定(左),锁定后牵拉试验(右),封堵器位置固定,未见明显位移及形变。


剑下双房心、四腔心切面观察封堵器,位置正确、形态良好。


释放封堵器
主动脉短轴切面下观察,封堵器位置正确呈Y字形抱住主动脉根部,形态良好,未见残余分流。

剑下双房心切面显示封堵器呈夹持稳定。

完全释放后超声观察封堵器形态良好,未见分流,封堵成功。
4 病例小结
1. 房性早搏,是指起源于窦房结以外心房任何部位的过早搏动。健康成人进行24 h动态心电图检测,约60%的人有房性早搏发生[1],早搏及其他非持续性心律失常等均会引起房颤的发生[2] ,多项临床研究显示,单纯闭合ASD不减少房颤发生率,不能消除心房肌纤维化所致的电生理紊乱改变。 此外,房间隔缺损会导致血液逆流入左心房,引发肺循环淤血和体循环血量不足,进而造成大脑缺血、缺氧,从而诱发头痛,这一机制在缺损较大或合并肺动脉高压时更为明显。
2. 本病例患者术前心脏彩超确诊为继发孔型房间隔缺损,缺损最大径达9mm,距主动脉0mm,距二尖瓣环10mm,距房顶14mm,距上腔静脉13mm,距下腔静脉11mm,存在左向右分流。术前检查显示右心室已出现代偿性增大,提示血流动力学异常持续存在,及时干预具有必要性,考虑到患者后续可能有房颤消融需求,谨慎沟通后患者主动选择使用可降解封堵器。
3. 生物可降解封堵器作为组织自主修复的桥梁,植入1年左右可安全降解,最终分解成二氧化碳和水排出体外,不额外增加金属植入物,房间隔不会被完全阻挡,为后续经房间隔介入治疗预留路径,是中年ASD患者进行介入封堵的理想选择。本病例患者缺损紧邻主动脉根部,使用金属封堵器进行封堵可能增加封堵器与主动脉根部之间的接触风险,对主动脉造成压迫或损伤。可降解房间隔缺损封堵器专利成型锁定设计,可确保封堵器稳定夹持主动脉根部;同时其贴壁、贴合效果好,锁定后封堵器紧密贴合于缺损部位利于内皮化,使其在封堵靠近主动脉根部等复杂房缺治疗中临床优势显著。
感谢中山大学附属第一医院龙明教授团队的病例分享
参考文献:
[1].中华医学会,中华医学会杂志社,中华医学会全科医学分会,等. 早搏基层诊疗指南(2019年)[J]. 中华全科医师杂志,2020,19(7):561-566.
[2].中华医学会心血管病学分会,中国生物医学工程学会心律分会. 心房颤动诊断和治疗中国指南[J]. 中华心血管病杂志,2023,51(06):572-618.

