纵隔淋巴瘤(HL、NHL)丨影像表现
时间:2022-11-03 23:49:08 热度:37.1℃ 作者:网络
纵隔霍奇金淋巴瘤(HL)
Mediastinal Hodgkin Lymphoma
概述:
-
霍奇金淋巴瘤(HL)
-
起源于生发中心或后生发中心B细胞的淋巴样肿瘤
影像表现:
-
X线:分叶状纵隔肿块;块状肿大淋巴结,大于胸内直径的1/3
-
CT:累及多组淋巴结,血管前、气管旁、主肺动脉窗;无法在残留肿块中确定其有无活性
-
PET/CT:HL分期,对结外病变有较高的敏感性
鉴别诊断
-
生殖细胞肿瘤
-
胸腺恶性肿瘤
-
纵隔甲状腺肿

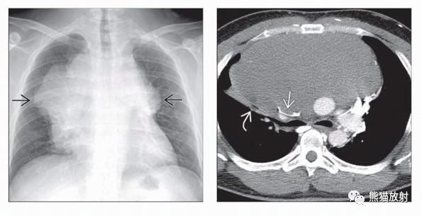
(左) HL,PA胸片显示纵隔增宽,直径大于胸部横径的1/3,与淋巴结肿大一致,提示预后不良。
(右) 同一患者,NECT(上)和PET/CT(下)显示前纵隔密度均匀肿块,FDG明显摄取,气管右旁淋巴结受累。

(左) 结节硬化型经典NL,PA胸片显示纵隔两侧分叶状扩大、增宽。
(右) 同一患者,CT显示前纵隔较大不均质肿块,低密度区常与囊变或坏死相关。然而,这一表现与疾病分期、分布或程度、细胞类型、块状肿大淋巴结的存在与否、预后无关。

(左) 结节硬化型HL,治疗前(左)和治疗后(右)PET/CT图像显示在治疗后尽管有残余纵隔增大淋巴结,但FDG活性明显改善。
(右) 结节硬化型HL,化疗前(左)和化疗后(右)的CECT和PET/CT显示广泛的前纵隔增大淋巴结,残余HL表现为局部的FDG摄取区。
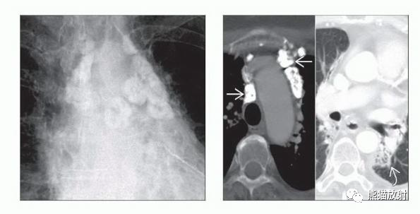
(左) 结节硬化型HL,X线片显示右前纵隔肿块,可见肺门重叠征。
(右) 同一患者,CT显示右前纵隔孤立性肿块,与肺紧邻,在这个特殊的情况下,很难判断肿块是起源于肺还是扩展到肺实质。纵隔切开术对于明确诊断和病灶的定位是必要的。

(左) 一例接受放疗的HL患者的PA胸片显示纵隔多发伴大量钙化的增大淋巴结。
(右) 同一患者,CT显示在放疗照射野内的纵隔淋巴结钙化和双肺下叶放射性纤维化。治疗后典型的HL淋巴结钙化表现为弥漫、不规则或蛋壳样。
纵隔非霍奇金淋巴瘤(NHL)
Mediastinal Hon-Hodgkin Lymphoma
概述:
一组来自B细胞、T细胞、NK细胞淋巴组织的恶性实性肿瘤:
-
全身弥漫性大B细胞非霍奇金淋巴瘤(NHL)伴纵隔受累
-
原发性纵隔大B细胞NHL
-
原发性纵隔T淋巴母细胞性NHL
影像表现:
-
纵隔淋巴结肿大:血管前性、气管旁、隆突下、后纵隔、椎旁/膈脚后、心旁淋巴结。
-
原发性纵隔大B细胞NHL:局限于纵隔而无胸外疾病
-
原发性纵隔T淋巴母细胞性NHL:颈、锁骨上、腋窝淋巴结肿大
-
PET/CT:分期,治疗评估,残余软组织病变的活性检测
鉴别诊断:
-
纵隔HL
-
胸腺瘤
-
生殖细胞瘤

(左) 原发性纵隔大B细胞NHL和上腔静脉综合征(SVC综合征),PA胸片显示纵隔弥漫性两侧增大伴边缘分叶。
(右) 同一患者,CECT显示前纵隔巨大肿块(>10cm),密度均匀,占位效应明显,上腔静脉呈裂隙样,肿瘤累及腔内(直箭),产生SVC综合征。尽管诊断时肿瘤体积较大,但这些肿瘤往往为早期疾病。

(左) PA胸片显示原发性纵隔大B细胞NHL表现为前纵隔较大肿块,边缘有分叶。
(右) 同一患者,PET/CT显示前纵隔肿块FDG显著摄取,可见中央坏死区,双侧锁骨上区淋巴结肿大。当邻近淋巴结受累时,远处淋巴结受累则提示纵隔大B细胞NHL是弥漫性而不是原发性。

(左) 滤泡性NHL,CECT显示纵隔软组织肿块,包围主动脉和邻近椎体,气管向前移位。(右) 同一患者,PET/CT显示FDG高度摄取。滤泡淋巴瘤是最常见的惰性NHL。尽管疾病广泛,但受累患者通常无症状。在10-70%的患者中,滤泡性淋巴瘤可进展为弥漫性大B细胞NHL。

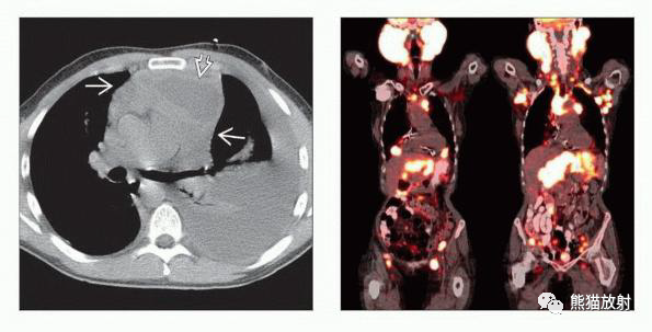
(左) 原发性纵隔T淋巴母细胞NHL,前纵隔巨大、不均质肿块,伴有中心坏死,左侧胸腔积液。
(右) 弥漫性大B细胞NHL伴纵隔受累,冠状PET/CT显示颈部、胸部、腹部和盆腔广泛的FDG明显摄取的肿大淋巴结。与原发性纵隔NHL相比,弥漫性NHL更有可能表现为广泛性疾病。

(左) 弥漫性大B细胞NHL纵隔受累,NECT可见血管前和左侧内乳淋巴结增大和左侧中度胸腔积液。
(右)同一患者,心旁间隙多发肿大淋巴结,双侧胸腔积液。注意,尽管病变广泛,但本病例的前纵隔病变不如原发性纵隔NHL明显。

